なしき歯科医院

患者様の声【スマートデンチャー】

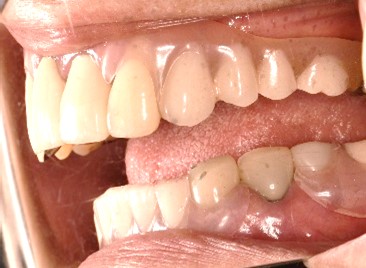
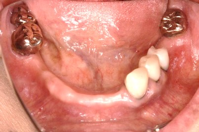
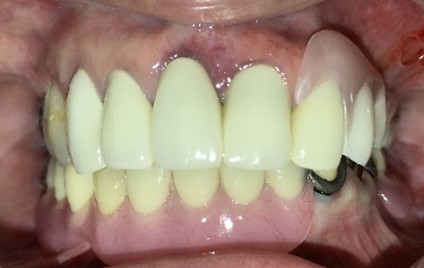
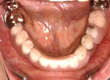
女性Tさん 60代(スマートデンチャー)

主訴

下の義歯が合わなくなったので、新しく作りたい。

治療内容

スマートデンチャーを入れました。

所感

金属のバネがない入れ歯を希望されましたので、スマートデンチャーを入れました。以前(2023年8月)に上に入れ歯を作ったとき、スマートデンチャーを入れました。今回もこれを選択されました。治療後「笑った時に金属のバネが見えないので、とてもうれしいです。」と、喜んでくださいました。
スマートデンチャー:¥322,000(税込)

Before

【義歯を外したところ】

スマートデンチャー
スマートデンチャー
スマートデンチャー
スマートデンチャー

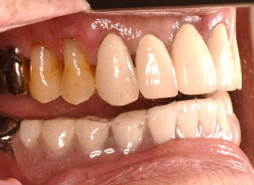
After

【義歯を装着したところ】

スマートデンチャー
スマートデンチャー
スマートデンチャー
スマートデンチャー

【スマートデンチャー】

スマートデンチャー
スマートデンチャー

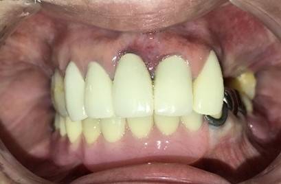
女性Tさん 60代(スマートデンチャー)

主訴

上の歯がないところに入れ歯をいれたい。

治療内容

スマートデンチャーをいれました。

所感

金属のバネがない入れ歯を希望されましたので、スマートデンチャーをいれました。以前使っていた義歯を紛失してしまったので、新義歯作成を希望されました。治療後「笑った時に金属のバネが見えないので、とてもうれしいです。」と、喜んでくださいました。
スマートデンチャー:¥322,000(税込)

Before

【義歯を外したところ】

スマートデンチャー
スマートデンチャー

After

【義歯を装着したところ】

スマートデンチャー
スマートデンチャー

【スマートデンチャー】

スマートデンチャー
スマートデンチャー

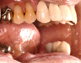
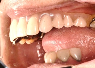
女性Kさん 60代(スマートデンチャー)

主訴

上前歯の被せ物がとれて、歯茎が腫れている。

治療内容

歯根が破折していましたので、抜歯しました。抜歯後、金属のバネが見えない入れ歯を希望されましたので、スマートデンチャーをいれました。腫れている歯の隣、ブリッジになっているところの歯のつけ根のところが茶色くなっているのできれいにしたいというお話でしたので、ブリッジを取り除き新しいものを被せなおしました。

所感

治療後「口元がきれいになり、とても嬉しいです。」と、とても喜んでくださいました。
スマートデンチャー:¥92,400(税込)

治療前後

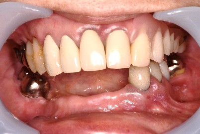
女性Hさん 70代(スマートデンチャー)

主訴

下の歯がないところに入れ歯をいれたい。

治療内容

スマートデンチャーをいれました。

所感

金属のバネがない入れ歯を希望されましたので、スマートデンチャーをいれました。以前使っていた義歯は、合わなくなったので、新義歯作成を希望されました。治療後「金属のバネが見えないので、とても自然でいいです。」と、喜んでくださいました。
スマートデンチャー:¥322,000(税込)

治療前後

女性Tさん 60代(スマートデンチャー)

主訴

下の歯がないところに入れ歯をいれたい。

治療内容

スマートデンチャーをいれました。2本の残根状態の歯を利用し、マグネットを組み込みました。

所感

金属のバネがない入れ歯を希望されましたので、スマートデンチャーをいれました。2本の残根状態の歯は、入れ歯の支台として使うには、負担が重すぎると判断しマグネットのキーパーに利用しました。マグネット義歯は、非常に安定がいい義歯です。義歯の鉤歯(支えになる歯)として使うには不安がある時には、その歯を効果的に使うことができるとても良い方法だと考えます。
治療終了後、「昨年まで、保険の義歯を使用していましたが、今回、上下ともにスマートデンチャーに替えたことで、今まで食べられなかったものを食べられるようになったり、マグネットがあることで、はずれる事もなく、見た目もきれいで、とても満足しております。特に下義歯のバネの部分が金具ではない為、入れ歯とは思えないほど美しい出来上がりです。スマートデンチャーを提案していただきありがとうございました。30年くらい前より治療していただいている梨木先生、スタッフ皆さんのやさしい説明や声掛けに安心して治療を受けることができました。今後もよろしくお願いいたします。」という、とても嬉しいお言葉を頂きました。自分を含めスタッフ一同、とても励みになりました。
スマートデンチャー:¥322,000(税込)
マグネット2個:¥70,000×2本=¥140,000(税込)
合計:¥462,000(税込)

治療前後

女性Mさん 70代 (チタン製義歯・スマートデンチャー)

主訴

上下、入れ歯をいれたい。

治療内容

上顎は、チタン製の総入れ歯、下顎は、スマートデンチャー(チタン床付き)をいれました。

所感

上顎は、口蓋の部分が薄い入れ歯を希望されましたのでチタン製の総入れ歯を、下顎は、金属のバネが見えない入れ歯を希望されましたので、スマートデンチャーを入れました。スマートデンチャーは、1~2歯の中間歯欠損の場合は、金属床(チタン床)は必要ありませんが、3歯以上の欠損・後ろに歯がない欠損の場合は、必要になってきます。チタンの骨組みをしないと入れ歯が噛むたびにたわみ沈み込むため、よく噛める入れ歯にはなりません。
上顎:チタン製総入れ歯:¥286,000(税込)
下顎:スマートデンチャー(チタン床付き):¥322,000(税込)
合計:¥608,000(税込)

治療前後

女性Tさん 50代(スマートデンチャー)

主訴

左下奥の歯がないところに入れ歯をいれたい。

治療内容

スマートデンチャー(チタン床付き)をいれました。

所感

笑った時に金属のバネが見えない入れ歯(バネが見えない入れ歯)を希望されましたので、スマートデンチャーを入れました。スマートデンチャーは、1~2歯の中間歯欠損の場合は、金属床(チタン床)は必要ありませんが、後ろに歯がない欠損の場合は、必要になってきます。(チタンの骨組みをしないと入れ歯が噛むたびにたわみ沈み込むため、よく噛める入れ歯にはなりません。)
この症例は、左下3歯欠損でしたので、金属床(チタン床)付きで設計しました。
スマートデンチャー(チタン床付き):¥322,000(税込)

治療前後

男性Hさん 60代(スマートデンチャー)

主訴

上の前の歯がないところに入れ歯をいれたい。

治療内容

スマートデンチャーをいれました。

所感

前歯にバネがかからない入れ歯(金属バネが見えない入れ歯)を希望されましたので、スマートデンチャーを入れました。スマートデンチャーは、1~2歯の中間歯欠損の場合は、金属床(チタン床)は必要ありませんが、それ以上の欠損で両側にわたる場合は、必要になってきます。(チタンの骨組みをしないと入れ歯が噛むたびにたわむため、よく噛める入れ歯にはなりません)
この症例は、金属床は必要ありませんでした。
スマートデンチャー(チタン床なし):¥92,400(税込)

治療前後

男性Iさん 50代(スマートデンチャー)

主訴

上の歯がないところに入れ歯をいれたい。

治療内容

スマートデンチャー(チタン床付き)をいれました。

所感

前歯にバネがかからない入れ歯(バネが見えない入れ歯)を希望されましたので、スマートデンチャーを入れました。スマートデンチャーは、1~2歯の中間歯欠損の場合は、金属床(チタン床)は必要ありませんが、それ以上の欠損で両側にわたる場合は、必要になってきます。(チタンの骨組みをしないと入れ歯が噛むたびに「たわむ」ため、よく噛める入れ歯にはなりません)この症例は、右上3歯、前歯4歯欠損でしたので、金属床(チタン床)付きで設計しました。治療後、「スマートデンチャーは、入れ歯の1種ですが、物を嚙むことへのストレス(違和感)は殆んど無く、大好物のナマコ、アワビもゴリゴリ噛んで食事を楽しんでいます。」と、うれしい感想を頂きました。
スマートデンチャー(チタン床付き):¥322,000(税込)

治療前後

女性Aさん 50代(スマートデンチャー)

主訴

下の歯のないところに、バネが目立たない入れ歯をいれたい。

治療内容

下の入れ歯の金属のバネが見えるのを気にしておられましたので、スマートデンチャーをいれました。

所感

治療後「スマートデンチャーにしてもらいました。バネが目立たなくて、見た目もキレイなのでうれしいです。ありがとうございました。」と、とても喜んでくださいました。
スマートデンチャー(チタン床付き):¥322,000(税込)

治療前後

»
callTEL
calendar_monthネット予約
mailメール相談