なしき歯科医院

患者様の声【スマートデンチャー】

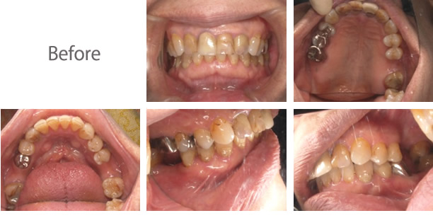
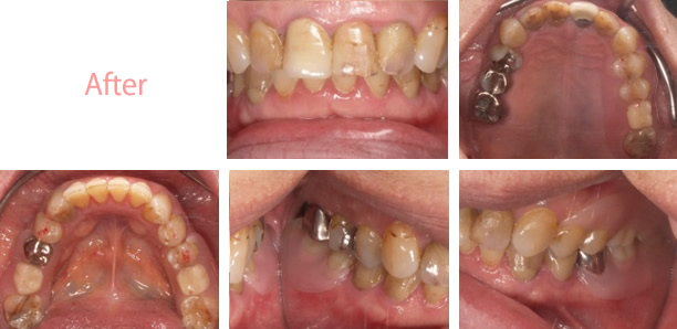
男性Yさん 60代(スマートデンチャー)

主訴

左下奥の歯がないところに入れ歯をいれたい。

治療内容

スマートデンチャー(ノンクラスプ義歯)をいれました。

所感

金属アレルギーの疑いがある方です。金属を使わない入れ歯を希望されましたので、スマートデンチャーを入れました。
スマートデンチャー:¥92,400(税込)

治療前後

男性Kさん 60代(スマートデンチャー)

主訴

右下奥の歯がないところに入歯をいれたい。

治療内容

スマートデンチャー(ノンクラスプ義歯)をいれました。

所感

治療法についてインプラント、ブリッジ、部分入れ歯の3つの説明をしました。今回は、部分入れ歯を選択され、金属のバネがない入れ歯を希望されましたので、スマートデンチャーを入れました。
スマートデンチャー:¥92,400(税込)

治療前後

女性Kさん 70代(スマートデンチャー)

主訴

上前の歯がないところに入れ歯をいれたい。

治療内容

スマートデンチャー(ノンクラスプ義歯)をいれました。

所感

金属のバネが見えない入れ歯を希望されましたので、スマートデンチャーを入れました。治療後「以前は金属バネの入れ歯をいれていました。今回の入れ歯は、バネがないので、自然に見えてとても良いです。」と、とても喜んでくださいました。
スマートデンチャー:¥92,400(税込)

治療前後

女性Tさん 60代(スマートデンチャー)

主訴

右上の犬歯のところの歯肉が腫れて、噛むと痛い。

治療内容

ブリッジの支台になっていた犬歯が、歯根の破折を起こしていたため、抜歯しました。抜歯後、歯がなくなったところにスマートデンチャーをいれました。

所感

金属のバネが見えない入れ歯を希望されましたので、スマートデンチャーを入れました。治療後「治療の痛みもなく、きれいにしていただき、義歯の違和感もなく、おいしく食べることもでき、安心しました。先生、みなさん、ありがとうございます。」と、ありがたいお言葉を頂きました。
スマートデンチャー:¥92,400(税込)

治療前後

女性Sさん 70代(スマートデンチャー)

主訴

右上の歯ぐきが腫れて、その歯で噛むと痛い。

治療内容

歯根が破折していましたので、抜歯しました。その後、1本歯がないところに、スマートデンチャーをいれました。

所感

金属アレルギーの可能性があるということで、金属を使わない義歯を希望されました。他にも金属の被せ物があるので、徐々に取り除いてノンメタルの被せ物にすることをお勧めしました。
スマートデンチャー:¥92,400(税込み)

治療前後

男性Uさん 60代(スマートデンチャー)

主訴

上の前歯が、噛むと痛い。

治療内容

誤ってフォークを嚙んでしまったそうです。歯根が破折していましたので、抜歯しました。歯がなくなったところは、スマートデンチャーをいれました。

所感

抜歯後、抜いたところが落ち着くまで、バネが付いた入れ歯を入れてもらいました。その後スマートデンチャーを入れたところ、「バネの付いた部分入れ歯に比べ、スマートデンチャーは、とても使い心地がいい。」と、喜んでくださいました。
スマートデンチャー:¥84,000(税別)

治療前後

女性Sさん 60代(スマートデンチャー)

主訴

右上の歯がないところに、入れ歯を入れたい。

治療内容

患者さんは、金属のバネが見えるのが気になるので、スマートデンチャーを入れました。

所感

患者さんは、笑った時に金属のバネが見えるのを気にしておられました。スマートデンチャーにしたところ、とても気に入ってくださいました。
スマートデンチャー (チタン床付き): ¥270,000(税別)

治療前後

女性Sさん 70代(スマートデンチャー)

主訴

右上の奥と下の左右1本づつ歯がないところに、入れ歯を作りたい。

治療内容

患者さんは、金属のバネがない入れ歯を希望されましたので、3か所にスマートデンチャーを入れました。

所感

「金属のバネが見えないので、自然でとてもいいです。」と、喜んでくださいました。
スマートデンチャー3か所:¥84,000×3つ=¥252,000(税別)

治療前後

男性Mさん 50代(スマートデンチャー)

主訴

下の義歯の金具が目立って気になるので、新しく作りたい

治療内容

スマートデンチャーを製作しました。

所感

「下の部分入れ歯のバネが、気になる。」という事でしたので、スマートデンチャーを説明したところ、「やってみたい。」という事になりました。治療後、「歯にかかっていた金具が、目立って気になっていましたが、新しい入れ歯は金具が見えないので、自然でとてもいいです。」と、喜んでくださいました。
スマートデンチャー(チタン床付き)¥270,000(税別)

治療前後

男性Yさん 50代(スマートデンチャー)

主訴

上の左右歯がないところに入れ歯を入れたい。

治療内容

スマートデンチャーを作りました。

所感

患者さんは、金属のバネが目立たない義歯を希望されましたので、スマートデンチャーを作りました。
治療後、「支える歯に負担が少ないので良いです。」と、喜んでくださいました。
スマートデンチャー(チタン床付き)¥270,000(税別)

治療前後

男性Mさん 60代(スマートデンチャー)

主訴

上の前の歯がないところにバネが見えない入れ歯を入れたい。

治療内容

スマートデンチャーを作りました。

所感

以前他の医院で上の前歯に6本つないだ大きなブリッジをいれたそうです 。しかし、何度も取れては、つけることを繰り返していたそうです。この症例の場合、ブリッジでは長持ちしないことを説明し、部分入れ歯かインプラントの説明をしたところ、バネが見えない部分入れ歯にしたいという事になり、スマートデンチャーを製作しました。
スマートデンチャー¥270,000(税別)

治療前後

女性Nさん 60代(スマートデンチャー)

主訴

右上の歯のないところに入歯をいれたい。

治療内容

患者さんは、金属のバネが見えないものを希望されましたので、スマートデンチャーをいれました。

所感

「金属のバネが見えないので、とても自然です」。と、とても喜んでくださいました。
スマートデンチャー¥84,000(税別)

治療前後

女性Tさん 50代(スマートデンチャー)

主訴

右上のブリッジの所と前歯がグラグラして、噛むと痛い。
抜いた後、歯がないところに入れ歯をいれたい。

治療内容

レントゲンを撮ってみると、歯周病が進み残すことが出来ず、残念でしたが抜歯になりました。
患者さんは、金属バネが見えない入れ歯を希望されましたので、スマートデンチャーをいれました。

所感

「金具が付いていないので、見た目きれいです。付けた時のフィット感が良いです。」と、とても喜んでくださいました。
スマートデンチャー¥291,600

治療前後

女性Kさん 60代(スマートデンチャー)

主訴

入歯が合わなくて、使っていませんでした。下の歯がないところに新しく入れ歯をいれたい。

治療内容

患者さんは、金属のバネが見えない入れ歯を希望されましたので、スマートデンチャーをいれました。

所感

見た目が自然なので「口元を気にせず、他の人と話すことが出来る」と、とても喜んでくださいました。
スマートデンチャー¥291,600

治療前後

女性Sさん 50代(スマートデンチャー)

主訴

左上の歯がないところに歯をいれたい

治療内容

患者さんは、バネが見えない入れ歯を希望されましたので、スマートデンチャーをいれました。

所感

インプラント治療の選択もありましたが、CTを撮ったところ骨の量がとても少なく、インプラントをやるとなると、骨を作る治療が必要なことをお話ししました。患者さんと相談したところ、部分入れ歯の治療をすることになりました。
合計¥291,600

治療前後

女性Iさん 60代(スマートデンチャー)

主訴

上顎の歯がないところに、入れ歯をいれたい。

治療内容

患者さんは、金属のバネが見えないものにしたいという事でしたので、スマートデンチャーをいれました。

所感

左右にわたる欠損でしたので、チタン床付きスマートデンチャーにしました。
スマートデンチャーは、笑った時に金属製のバネが見えないので、見た目がとても自然です。
合計¥291,600

治療前後

女性Yさん 60代(スマートデンチャー)

主訴

右上、噛んだ時に違和感がある

治療内容

右上、「噛んだ時に違和感がある」という事で、被せものを外してみました。
歯根が、破折して保存できる状態ではありませんでしたので、残念ですが抜歯しました。
抜歯後、歯のないところを補う方法として、インプラント、両側の歯を削って橋渡しをするブリッジ、1本の義歯について説明しました。
金属のバネがある入れ歯ではなく、ノンクラスプデンチャーを希望されましたので、1本のスマートデンチャーをいれました。

所感

「入れているのを忘れるくらいです。」と、喜んでくださいました。
合計¥90,720

治療前後

女性Tさん 80代(スマートデンチャー)

主訴

右下1本歯がないところを何とかしたい。

治療内容

スマートデンチャーをいれました。

所感

「入れ歯なのに、違和感がない」と、喜んでくださいました。
合計¥90,720

治療前後

女性Tさん 60代(スマートデンチャー)

主訴

下の前歯の歯のないところを何とかしたい。

治療内容

スマートデンチャーをいれました。

所感

患者さんは、入れ歯のバネが見えることを気にしておられたので、スマートデンチャーで対応しました。
スマートデンチャーは、歯に金属製のバネではなくて、歯肉の色をした樹脂製のものをかけるので、見た目がとても自然です。
合計¥90,720

治療前後

女性Sさん 60代(スマートデンチャー)

主訴

上の右と下の左右の歯がないところを何とかしたい

治療内容

右上6番と下の左右6番をスマートデンチャーにて補綴

所感

インプラントによる治療が一番だと思いましたが、患者さんがなるべく侵襲の少ない治療を望まれましたので、3か所にスマートデンチャーを装着しました。
(上顎…少数歯¥90,720 下顎…少数歯2箇所¥90,720×2床=¥181,440)合計¥272,160

治療前

治療後

«
callTEL
calendar_monthネット予約
mailメール相談