プラークや細菌が付きにくい『オールセラミック』
年をとったら歯が抜けていくのは仕方のないこと…と思っていませんか?
歯を失う原因の74%が「虫歯」と「歯周病」で、これらは『細菌』による感染症です。…ということは、
原因となる細菌をお口の中から減らせば、虫歯や歯周病になるリスク、歯を失うリスクを減らすことができます!
虫歯の治療をするときに、銀歯や白いかぶせ物をすることがありますが、細菌がつきやすい素材とつきにくい素材があることをご存知ですか?患者さんのお口の中を見ますと、銀歯や保険のプラスチック製の白いかぶせ物にはプラーク(歯垢:細菌のかたまり)がたくさんついていますが、陶器製の『オールセラミック』の被せものには、プラークがほとんどついていません。
銀歯やプラスチックは、お口の中で酸化、劣化したり細かい傷がついたりして、表面にプラークがつきやすくなります。プラークの中に棲みついている虫歯菌は虫歯の再発(2次カリエス)を引き起こし、歯周病菌は歯ぐきに炎症を起こして歯周病を引き起こします。
一方、オールセラミックはほとんど劣化しませんし、表面に傷もつきにくいので、プラークがつきにくい状態が保てます。虫歯の再発や歯周病になるリスクも、その分減ります。
オールセラミックは他にも、白くて見た目がきれい、金属アレルギーにならない、歯ぐきに黒いしみ(メタルタトゥー)ができない、口臭がしにくいというメリットもあります。歯を良い状態で長持ちさせるためには、オールセラミックは他の材料よりも優れていると思います。
今入れているかぶせ物が気になる方、これからどんな素材のものを選ぼうか考え中の方、その他、気になることがある方、お気軽にご相談ください!
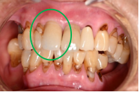
女性Aさん 50代(オールセラミック冠)
主訴
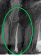
色が変わった上前歯をきれいにしたい。
治療内容
根管治療をし、オールセラミック冠を被せました。
所感
神経が取り除かれ、大きく詰め物がされていました。詰め物及び歯自体が変色し、虫歯になっていました。根管治療をし、ファイバーコアを入れ、オールセラミック冠を被せました。自分の歯は、捻転していましたが、被せ物により歯並びを改善することができました。
オールセラミック冠1本:¥104,500(税込)
Before
After
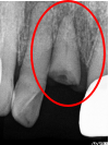
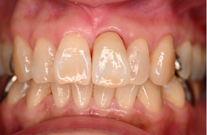
女性Yさん 60代(オールセラミック冠)
主訴
以前治療した右下の犬歯が、虫歯になり色が変わってきているので、治したい。
治療内容
根管治療をし、オールセラミック冠を被せました。
所感
神経が取り除かれ、歯自体が変色し、虫歯になっていました。根管治療をし、ファイバーコアを入れ、オールセラミック冠を被せました。
オールセラミック冠(失活歯)1本:¥104,500(税込)
Before
After
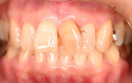
女性Sさん 50代(オールセラミック冠)
主訴
左上の差し歯がとれたままになっている。
治療内容
レントゲンを撮り詳しく診てみると、歯根が破折して保存することができず、抜歯する必要があることがわかりました。抜歯後、オールセラミックブリッジで補綴(欠損した部分を人工物で補う)しました。ブリッジの支台になっている後方の歯は、根尖性歯周炎(根の先端で問題を起こしている)でしたので、根管治療をしています。
所感
抜歯後、欠損部分を補う方法には、1本だけの部分入れ歯、ブリッジ、インプラントの3つの方法があります。この患者さんは、ブリッジを選択されました。メタルフリーの治療を希望されましたので、土台をファイバーコアにし、オールセラミックのブリッジをかぶせました。患者さんは、お口の中の金属を徐々に減らしていきたいということです。体全体の健康のことを考えると正しいことです。
オールセラミック冠(失活歯)1本:¥104,500(税込)
オールセラミック冠(生活歯)1本:¥93,500(税込)
ポンティック1本:¥93,500(税込)
合計:¥291,500(税込)
Before
After
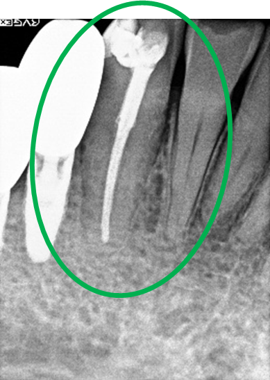
女性Hさん 60代(オールセラミック冠・インプラント)
主訴
右下のブリッジがゆらゆら動く。
治療内容
ブリッジの支台になっている奥の歯が、被せ物の中で虫歯になり、支台の役割を果たさず、前方の歯のみで支えられていました。前方の歯をそのままにして、後方の部分を切り離すと、そのまま取れてきました。中は、虫歯で歯根しか残っていない状況でした。この歯は、根管治療後、単独でオールセラミック冠を被せ、歯のないところにインプラントを埋入しました。
所感
今回の治療法には、次の3つの方法があります。
(1)虫歯になっていた歯の根管治療をし、土台を入れ、また再びブリッジにする。しかし、虫歯になっていたほうの歯は、ブリッジの支台として使うには、心もとなく長持ちしない可能性が高く、今度問題が生じたときには抜歯になる。
(2)虫歯になっていた歯に、単独で被せ物をし、歯のないところに1本だけの部分入れ歯を入れる。取り外しの入れ歯なので、自分の歯のような感覚で噛むことはできない。この方法も歯のない部分の負担を欠損の両側の歯に負担してもらうため、長持ちしない可能性が高い。
(3)虫歯になっていた歯に、単独で被せ物をし、歯のないところにインプラントを埋入する。欠損している部分の負担を前後の歯に負担させないので、歯を守ることができる。また、自分の歯と同じ感覚で食事をすることができる。
患者さんは、3つ目の方法を選択されました。一番長持ちし、これ以上歯を失わないためには、最良の方法だと考えます。
オールセラミック冠(失活歯):¥104,500(税込)
インプラント:¥363,000(税込)
合計:¥467,500(税込)
Before

冠の中で大きな虫歯になり支台の役割を果たしていませんでした。
【インプラント埋入前】

冠はブリッジを切断しただけで取れてきました。軟化象牙質を取り除いたところ、歯根しか残っていない状況で保存できるかどうかのぎりぎりのところでした。
After
男性Mさん 50代(オールセラミック冠)
主訴
右上奥歯が、冷たいものにしみる。
治療内容
歯髄(神経および血管)まで到達する大きな虫歯でしたので、抜髄(歯髄を取り除く)をし、ファイバーコアをいれ、オールセラミック冠を被せました。
所感
現在、保険治療において、限定的ではありますが、大臼歯にも白い被せ物(プラスチック冠)ができるようになりました。しかし、実感としてプラスチック冠は、
- すり減りやすい。割れることがある。
- バイオフィルム(細菌およびそれから産生される副産物の塊)が付着しやすいので、歯周病および2次カリエス(被せ物と自分の歯の境目から再度虫歯になる)になるリスクが高い。
- 変色する。
という点を感じます。白い被せ物が保険の治療でできるという理由で、安易にプラスチック冠を選択し、割れたりすり減ったり、変色したらもう一度被せなおせばいいと考えるのであれば、一度立ち止まって考えてみてください。歯の量は、治療するたびに薄く少なくなり、歯根破折のリスクが高まります。もし大きな虫歯になってしまったら、最高レベルの根管治療をし、最良の被せ物であるオールセラミック冠を被せ、定期的にお口の中のクリーニングをし、同じ歯を2度と治療しないことが、歯を長持ちさせる最良の方法だと考えます。
オールセラミック冠(失活歯):¥104,500(税込)
Before
劣化したプラスチック冠
After
女性Mさん 70代(オールセラミック冠)
主訴
右前歯が動く。
治療内容
水平に破折していました。破折していた部分を取り除き、根管治療をし、ファイバーコアをいれ、オールセラミック冠を被せました。
所感
今まで、他の歯を治療した時は、すべてメタルフリーの治療をされていて、オールセラミック冠の良さを実感されていましたので、今回もオールセラミックを選択されました。
オールセラミック冠(失活歯):¥104,500(税込)
Before
破折した部分を取り除いたところ
After

根管治療後
女性Mさん 40代(オールセラミック冠)
主訴
上の前歯をきれいにしたい。
治療内容
前歯4本を根管治療をし、オールセラミック冠を被せました。
所感
右の1本は、被せ物をしていましたが、すり減り形が変わり、変色もしていました。他の3本はすでに神経がない状態で、詰め物をしていましたが、詰め物及び歯自体も変色し、詰め物と自分の歯の境目のところからむし歯になっていました。治療後「きれいになって嬉しいです。治療して本当に良かったです。」と、とても喜んでくださいました。
オールセラミック冠4本:¥104,500×4本=¥418,000(税込)
Before
After
女性Mさん 50代(オールセラミック冠)
主訴
上の前歯をきれいにしたい。
治療内容
前歯3本にオールセラミック冠を被せて、歯並び及びすり減った歯を審美的に回復しました。歯ぎしりが強くあることがわかりましたので、マウスピースを使ってもらう事にしました。
所感
一番オススメな方法は、矯正をし、歯並びを整えた後、すり減って形が変わってしまった歯に被せ物をすることをお話ししました。患者さんは、3本に被せ物をすることにより歯並びをきれいにすることを希望されました。
治療後、「曲った前歯が長年コンプレックスでした。セラミックの歯の色合いや形が自然な仕上がりで、相談して本当に良かったです!神経を抜くこともなく治療ができ、予定よりも低料金にしてもらえたのがありがたかった。先生も、歯科衛生士さんも事務の人も皆、優しく寄り添った対応をしてくれました。ありがとうございました!」と、とても嬉しいお話しをしてくださいました。
オールセラミック冠3本:¥93,500(生活歯)×3本=¥280,500(税込)
Before

After


女性Sさん 60代(オールセラミック冠)
主訴
上の前歯の被せ物が古くなり、色が変わったので、きれいにしたい。
治療内容
根管治療後、ファイバーコアを入れ、オールセラミック冠を被せました。
所感
レントゲンを撮り詳しく診てみると、根管治療をする必要があることがわかりました。保険の被せ物を取り除き、根管治療後、メタルフリーの治療を希望されましたので、ファイバーコアを入れ、オールセラミック冠を被せました。
オールセラミック冠2本:¥104,500×2本=¥209,000(税込)
Before
After
女性Mさん 40代(オールセラミック冠)
主訴
上の前歯が欠けた。
治療内容
神経をとる治療をし、根管治療後、ファイバーコアを入れ、オールセラミック冠を被せました。
所感
右前歯がむし歯で大きくかけていました。レントゲンを撮り詳しく診てみると、むし歯が深く、神経をとる治療が必要なことがわかりました。被せ物は、メタルフリーの治療を希望されましたので、ファイバーコアを入れオールセラミック冠を被せました。右上にむし歯があります。今後、そこの部分に取り組んでいきます。
オールセラミック冠1本:¥104,500(税込)
Before

むし歯が深く、神経に到達するむし歯でしたので、根管治療をしました。
After

根管治療終了後
女性Sさん 60代(オールセラミック冠)
主訴
上の前歯2本が動く。何度も取れてはつけ直している。
治療内容
前歯2本が動いていましたが、取れてきていない状態でした。被せ物を削って取り除き、根管治療をし直し、ファイバーコアを入れオールセラミック冠を被せました。
所感
メタルフリーの治療を希望されましたので、ファイバーコアを入れオールセラミック冠を被せました。歯ぎしりが強くあるというお話でしたので、今まで何度も取れている原因の一つに歯ぎしりもあると考え、オールセラミック冠セット時にマウスピースをお渡しし、使ってもらう事にしました。
オールセラミック冠2本:¥104,500×2本=¥209,000(税込)
女性Uさん 70代(オールセラミック冠・オールセラミックブリッジ)
主訴
右下のブリッジの奥の方の歯が、噛むと痛い。
治療内容
被せ物の中で大きな虫歯になっていました。被せ物を取り除き、神経をとる治療をしました。メタルフリーの治療を希望されましたので、オールセラミックのブリッジを装着しました。
所感
金属を使わない治療を希望されました。体全体の健康のことを考えると、徐々に口の中の金属を減らしていくことは、とても良い事だと考えます。
オールセラミック冠(失活歯)1本:¥104,500×1本=¥104,500(税込)
オールセラミック冠(生活歯)1本:¥93,500×1本=¥93,500(税込)
オールセラミックのポンティック:¥93,500(税込)
合計:¥291,500(税込)
女性Fさん 60代(オールセラミック冠・オールセラミックブリッジ)
主訴
右前歯の差し歯のところの歯茎が腫れて、噛むと痛みがある。
治療内容
歯根が破折していました(歯根が割れている)ので抜歯することになりました。抜歯後、傷が治るのを待ち、オールセラミックのブリッジを装着しました。
所感
抜歯後、歯がないところを補う方法として、1) インプラントを1本入れる、2)両側の歯を削り ブリッジをいれる、3)1本の 部分入れ歯を入れる という3つの方法があります。患者さんは、ブリッジを選択されました。
オールセラミック冠2本:¥93,500(生活歯)×2本=¥187,000(税込)
オールセラミックのポンティック:¥93,500(税込)
合計:¥280,500(税込)
男性Uさん 60代(オールセラミック冠)
主訴
左下、歯がないところに歯をいれたい。
治療内容
残根のところは、根管治療をし、オールセラミック冠を被せました。歯がないところに1本インプラントを埋入しました。
所感
インプラントは、上の歯との噛み合わせの関係から、2本歯がないところに1本だけ埋入しました。
この症例は、3Dダイナミックナビゲーションシステム「Xガイド」を使った初めての症例です。当たり前のことですが、コンピューター上で立てた治療計画がそのまま再現され、とても気持ちが良かったです。
Xガイドは、CTスキャンの画像をもとに顎骨の形態や質、神経の位置などを把握しながら事前に立てた治療計画を正確に手術に再現できるようにサポートするナビゲーションシステムです。インプラントの埋入位置と角度は、「Xガイド」の3Dナビゲーションによって正確に把握されます。骨の中の神経や血管の位置をリアルタイムに確認しながら手術を実行できるため、より安全で精度の高いインプラント手術をすることができます。
オールセラミック冠1本:¥104,500×1本=¥104,500(税込)
インプラント1本:¥363,000×1本=¥363,000(税込)
女性Aさん 50代(オールセラミック冠)
主訴
前歯の被せ物をきれいにしたい。
治療内容
保険の被せ物を取り除き、根管治療をして、オールセラミック冠をいれました。
所感
患者さんは、前歯の保険の被せ物が変色し擦り減っていたので、きれいにしたいというご希望でした。メタルフリーの治療を希望されましたので、ファイバーコアを入れ、オールセラミック冠を被せました。お口の中の金属を徐々に取り除くことを希望され、今回は前歯3本をセラミックに替え、ノンメタルにしました。体全体の健康を考えると正しい選択だと思います。
オールセラミック冠3本:¥104,500×3本=¥313,500(税込)
女性Kさん 30代(オールセラミック冠・オールセラミックブリッジ)
主訴
上前歯をきちんときれいに治したい。(仮歯のままのところもあります)
治療内容
4本の歯、すべて根管治療をし、オールセラミックのブリッジとオールセラミック冠を被せました。
所感
患者さんは、前の医院に不満を抱き、転院されてきました。前の先生の意図を理解できませんが、いろいろな歯の治療が中途半端な状態でした。根管治療が不備な歯があり、根尖に病巣を作っていましたので、一つ一つ根管治療をしていきました。完成の前の試適の時に、技工士さんに来ていただきました。色および形を患者さんに見ていただき、希望を十分にお聞きし、患者さん・私・技工士さん3人の目で見てバランスよく仕上げて完成にしました。
オールセラミック冠4本:¥104,500×4本=¥418,000(税込)
オールセラミックポンティック:¥93,500×1本=¥93,500(税込)
合計:¥511,500(税込)