『外れない・横揺れしない・沈み込まない』
歯が抜けた所に『保険の部分入れ歯』を入れた方のお悩みとしてよくお聞きするのが、『入れ歯が外れる』『噛んだ時に横に動いて食べづらい』『食べ物を噛む時に歯ぐきが痛む』の3つです。
なぜ保険の入れ歯にはこのような不具合が起きるのでしょうか?
快適な入れ歯のポイントは、
●入れ歯が外れてこないように『維持』する力があるもの。
●入れ歯の横揺れを防ぐ『把持』の力があるもの。
●噛んだ時に力をしっかり受け止め入れ歯の沈み込みを防ぐ『支持』の力がある。
この3つです。

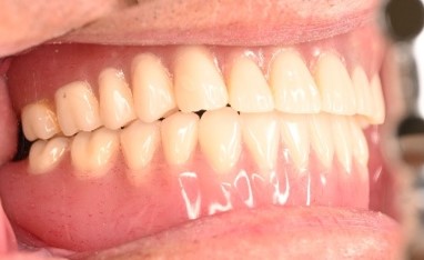
保険の入れ歯はこの3つの要素が不十分なため、不具合が生じやすいのです。入れ歯が嫌なら…と、一足飛びにインプラントをすすめる歯科医院も多いようですが、実は、磁力で歯と入れ歯を支える「マグネット式部分入れ歯」は『維持・把持・支持』の3つの要素を兼ね備えており、快適に使えるようになったというお声をよくいただいています。
保険の部分入れ歯を入れると痛みや吐き気があり、10年以上、不具合と使いづらさを感じていたSさんが、先日当院で「マグネット式部分入れ歯」を作られました。Sさんは、「入れ歯の上あごの部分が小さく薄いので、異物感がほとんどなく、吐き気をもよおすこともありません。食事の時に入れ歯が全く動かず、よく噛めるので何でも食べられるようになりました!」と、とても喜んでくださいました。

マグネット式入れ歯は、残っている歯にバネをかけないので、見た目が自然なのも喜んでいただけるポイントの一つだと思います。部分入れ歯がはずれやすい、痛いところがある、入れ歯でしっかり力を入れて噛めない…など、その他にも気になることがある方、お気軽にご相談ください!
少数残っている歯を有効活用するマグネット式入れ歯で快適人生
「上の前歯のブリッジが取れてしまいました。」とHさん(60歳代男性)が来院されました。お口の中を見ると、ブリッジを支える歯がすべてひどいむし歯になっており、ブリッジをセメントで簡単に付け直すことができるような状態ではありませんでした。
こうなってしまうと、もうブリッジはできません。選択肢は、
①金属バネが目立つ保険の入れ歯
②インプラント
③磁石でくっつける入れ歯(マグネット式入れ歯)
の3種類になります。Hさんは嘔吐反射が出やすいので、保険の入れ歯は避けたいとのこと。インプラントは高額で手術にも少し不安があるご様子だったので、マグネット式入れ歯をご説明しました。
マグネット式入れ歯のメリットは、
・磁力でピッタリくっつくので安定が良い
・上の入れ歯は口蓋をくり抜けるので嘔吐反射が出にくい
・噛む力が取り戻せるので、ほとんどのものを食べられる
・残っている歯への負担が少ないので、歯が長持ちする
などがあります。

Hさんは最終的に、マグネット式入れ歯を選択されました。
治療後、「入れ歯を作るとき、とても細かい治療や検査をしていただいたおかげで、ぴったりの入れ歯になったように思います。ありがとうございます。」と、とても喜んでくださいました。マグネット式入れ歯になって、何でも食べられるようになったそうです。
もし保険の入れ歯を選んだら、入れ歯のバネをかける歯から順に抜けていき、最終的には総入れ歯になってしまう可能性が高かったと思います。また、Hさんの場合は、インプラント治療の3分の1ほどの費用で済んだため、費用面での負担も抑えられたと思います。マグネット式入れ歯は、残りの歯が少なくなった時に有効な治療法です。
歯を失ってお困りの方、現在の入れ歯がしっくりこない方、「マグネット式入れ歯の話を聞きたい」とスタッフにお声掛けください。
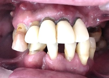
男性Iさん 50代(マグネット式入れ歯)
主訴
グラグラしている歯がある。歯並びをきれいにし、しっかり噛めるようになりたい。
治療内容
歯周病が進行し深刻な状態でした。保存することができない歯が上4本、下3本ありましたので、抜歯し、残った歯上4本、下7本の歯周病治療を徹底的にし、それらの歯を活用し上下マグネット式総入れ歯を入れました。
所感
治療前は、歯周病が進行し、重度に動揺している歯が4本あり、満足に食事ができない状況でした。マグネット式総入れ歯を装着後は、「なんでも思い通り噛むことができるだけでなく、歯並びもきれいになり、とても幸せです。」と、とても喜んでくださいました。
費用
上顎:チタン製総義歯 ¥286,000(税込)
マグネット4個 ¥70,000×4本=¥280,000(税込)
下顎:チタン製総義歯 ¥286,000(税込)
マグネット4個 ¥70,000×4本=¥280,000(税込)
合計:¥1,132,000(税込)
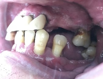
Before
赤丸は抜歯しました。上4本、下3本
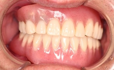
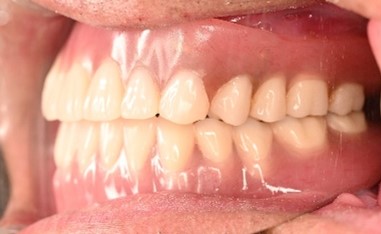
After
【義歯を装着したところ】
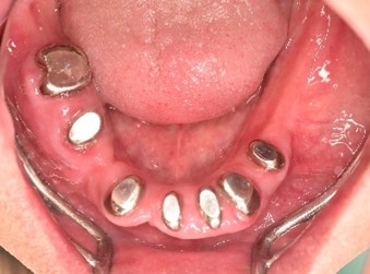
【義歯を外したところ】
【マグネット式総入れ歯】
上顎
下顎
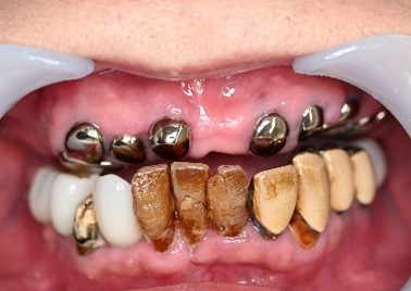
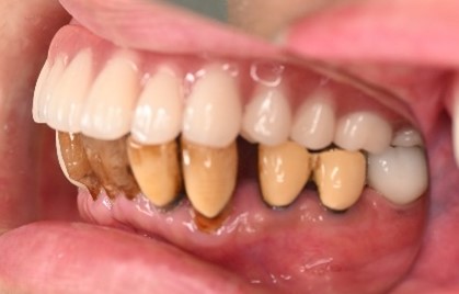
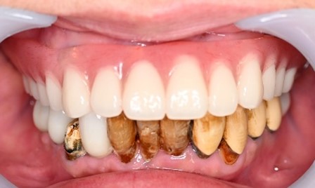
女性Iさん 60代(マグネット式入れ歯)
主訴
歯茎が腫れて、血が出ます。歯周病の治療をしてほしい。また歯をきれいにしてほしい。
治療内容
歯周病が重度に進行していました。保存することができない2本の歯を抜歯しました。歯周病の治療を徹底的にし、保存可能な9本の歯の根管治療をし、それらの歯を活用しマグネット式総入れ歯を入れました。
所感
通常の部分入れ歯にすると、入れ歯の支台になる歯は、早期に失われる可能性が高かったです。マグネット式総入れ歯は、支台になる歯に側方への力がかからないため、歯周病が進み歯の周りの骨が少なくなっている歯も効果的に活用できますし、かつ残っている歯を長持ちさせることができます。残っている歯が少なくなってきて、入れ歯で対応する場合は、マグネット式総義歯はとても良い治療法だと考えます。下顎の歯もすべて治療希望で、現在治療中です。下顎については、治療完了後に、あらためてご報告いたします。
費用
上顎:チタン製総義歯 ¥286,000(税込)
マグネット4個 ¥70,000×4本=¥280,000(税込)
合計:¥566,000(税込)
Before
After
【義歯を装着したところ】
【義歯を外したところ】
マグネット式総入れ歯
緑丸は組み込まれたマグネット
通常の総入れ歯
女性Tさん 50代(マグネット式入れ歯)
主訴
左上の犬歯が、グラグラして痛い
治療内容
他の歯も歯周病が進行していました。保存することができない歯が3本ありましたので、抜歯し、残った歯6本の歯周病治療をし、それらの歯を活用しマグネット式総入れ歯を入れました。
所感
マグネット式総入れ歯を活用し、もともとは反対交合でしたが、正常交合に改善することができました。
費用
上顎:チタン製総義歯 ¥286,000(税込)
マグネット4個 ¥70,000×4本=¥280,000(税込)
合計:¥566,000(税込)
Before
赤丸は抜歯しました
After
【義歯を装着したところ】
【義歯を外したところ】
マグネット義歯
緑丸は組み込まれたマグネット
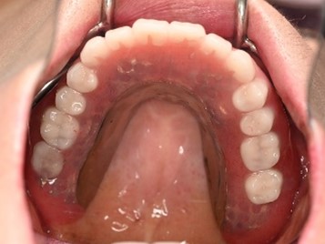
女性Tさん 80代(マグネット式入れ歯)
主訴
歯が抜けたところがある。きちんと治したい。
治療内容
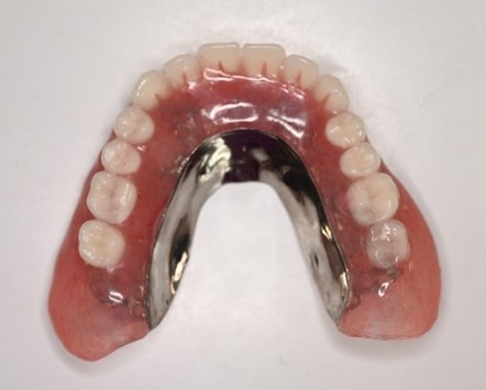
下顎2本残っている歯を活用してマグネット義歯を入れました。
所感
長い間、歯医者さんに行っておらず、下顎の前歯が4本抜けていました。幸い2本の犬歯を保存することができましたので、2本を活用しマグネット義歯を入れました。マグネットを義歯に組み込んだことにより、動かない、痛くない、とてもよく嚙むことができる総義歯になり患者さんは大満足でした。
費用
下顎:チタン製総義歯 ¥286,000(税込)
マグネット2個 ¥70,000×2本=¥140,000(税込)
合計:¥426,000(税込)
Before
After
【義歯を装着したところ】
【義歯を外したところ】
マグネット義歯
緑丸は組み込まれたマグネット
男性Fさん 60代(マグネット式入れ歯・チタン製義歯)
主訴
上下義歯が外れやすく、合わない。左下奥歯と右下の1本がグラグラして、噛むと痛い。新しい義歯を作って欲しい。
治療内容
右下の1本と左下奥歯は、保存することができず抜歯。下顎は、残り2本を活用したマグネット義歯、上顎はチタン製の総義歯にすることにしました。
所感
治療後「義歯が全く動かないので、よく噛んでおいしく食事ができ、とても良いです。」と、とても喜んでくださいました。マグネット義歯は、残っている歯が少なくなってきた時、それらの歯を効果的に使うとてもいい方法です。私は、残存歯が少なくなってきた時、義歯で対応する場合は、マグネット義歯を第一選択としてオススメしています。
費用
上顎:チタン製総義歯 ¥286,000(税込)
下顎:チタン製総義歯 ¥286,000(税込)
マグネット2個 ¥70,000×2本=¥140,000(税込)
合計:¥712,000(税込)
Before

After
【義歯を外したところ】

【義歯を装着したところ】

上顎チタン製総義歯

下顎マグネット義歯

男性Sさん 70代(マグネット式入れ歯)
主訴
入れ歯を支える歯が抜けて、食事が不自由。
治療内容
上顎2本の歯は、保存することができず抜歯。残り5本の歯を活用しマグネット義歯をいれました。
所感
9年ぶりの来院でした。むし歯および歯周病のため2本は保存することができませんでした。残り5本の歯を使ってマグネット義歯にしました。マグネット義歯にできる最後のチャンスをものにすることができた症例です。マグネットが離れた位置に配置できましたので、とても安定の良い馬蹄形の義歯にすることができました。
費用
上顎:チタン製総義歯 ¥286,000(税込)
マグネット4個 ¥70,000×4本=¥280,000(税込)
合計:¥566,000(税込)
Before

赤丸は抜歯になりました
右上2本抜歯後
After
【義歯を外したところ】
【義歯を装着したところ】
マグネット義歯
通常の総入れ歯
女性Sさん 70代(マグネット式入れ歯)
主訴
右の前歯がぐらぐらする。
治療内容
右前歯は残すことができず、抜歯しました。上顎残り5本の歯のうち4本を利用しマグネット義歯を装着しました。
所感
マグネット義歯は、非常に安定がいい義歯です。残っている歯が少なくなってきた時には、それらの歯を効果的に利用することができるとても良い方法だと考えます。口蓋隆起がありましたので、それを避けて馬蹄形のかたちの義歯にしました。マグネット義歯の場合、これが可能になります。通常の総義歯であると、この形にしますと安定が悪くなりますので出来ません。
費用
上顎:チタン製総義歯 ¥286,000(税込)
マグネット4個 ¥70,000×4本=¥280,000(税込)
合計:¥556,000(税込)
女性Tさん 50代(マグネット式入れ歯)
主訴
上の入れ歯を新しくしたい。
治療内容
上顎は、3本の歯が残っており、歯の上に総入れ歯が入っていました。残っている歯を利用してマグネット義歯を入れました。
所感
マグネット義歯は、非常に安定がいい義歯です。残っている歯が少なくなってきた時には、それらの歯を効果的に利用することができるとても良い方法だと考えます。
費用
上顎:チタン製総義歯 ¥286,000(税込)
マグネット3個 ¥70,000×3本=¥210,000(税込)
合計:¥496,000(税込)
女性Kさん 80代(マグネット式入れ歯・コンフォート義歯)
主訴
上下総入れ歯です。痛いところがあちこちあり、おいしくご飯が食べられない。
治療内容
上顎は、4本の歯が残っており、歯の上に総入れ歯が入っていました。下顎は、1本も歯は残っておらず総入れ歯。上顎は、嘔吐反射が強かったため4本の歯を利用した馬蹄形のマグネット義歯、下顎は、顎堤が乏しかったため義歯の安定が悪かったので、義歯の粘膜面側にシリコンを貼り付けるコンフォート義歯にしました。コンフォート義歯はクッション効果と義歯の安定が良くなるため、痛みが、普通のプラスチックの入れ歯に比べ、ほとんどありません。
所感
治療後「私はいろいろな歯医者さんに通いましたが、しっくりいかず困っていました。広告を見てなしき歯科医院さんに思い切って決め、本当に良かったです。先生も皆さんも、とても親切で安心して治療してもらえる場所です。自分の納得の歯が入り本当に嬉しく思います。ありがとうございました。これからもよろしくお願い致します。今まで一度も病院からは新聞など届いた事もなく、なしき歯科医院新聞が家に届き、本当にビックリしました。楽しみの1つになり、大切に保存しております。」と、とても喜んでいただき、スタッフ一同、嬉しくなりました。
費用
上顎:チタン製総義歯 ¥286,000(税込)
マグネット4個 ¥70,000×4本=¥280,000(税込)
下顎:コンフォート総義歯 ¥396,000(税込)
合計:¥962,000(税込)
女性Kさん 60代(マグネット式入れ歯)
主訴
2、3か所、歯が抜けた。動いている歯もある。しっかりした入れ歯をいれて、おいしく食事をしたい。
治療内容
歯周病が進行していました。下の歯3本は、保存することが出来ず、抜歯しました。残っている歯は歯周病の治療をしました。残っている上4本、下4本を利用し、総義歯タイプのマグネット式入れ歯を入れました。
所感
歯周病が進行し、残っている歯が、すべて健康な状態ではありませんでした。こういう時に残っている歯を効果的に活用できるのが、マグネット式入れ歯です。治療後「入れ歯がピタッとして動かず、何でも食べられるようになり、すごく良かったです。残っている歯を大事にして歯みがきを頑張っていきたいと思います。ありがとうございました。」と、とても喜んでくださいました。マグネット式入れ歯は、残っている歯が少なくなってきた時にとても有効な方法です。入れ歯(義歯)が、ほとんど動かないので、噛み心地も通常の総入れ歯に比べると、格段に良いです。
費用
上顎:チタン製総義歯 ¥286,000(税込)
マグネット4個 ¥70,000×4本=¥280,000(税込)
下顎:チタン製総義歯 ¥286,000(税込)
マグネット4個 ¥70,000×4本=¥280,000(税込)
合計:¥1,132,000(税込)
女性Kさん 50代(マグネット式入れ歯)
主訴
上の前歯の差し歯が、1ヵ月前から痛い。他の歯も歯周病だと思うので全体的に治したい。
治療内容
歯周病が進行していましたので、歯周病の治療をしました。残っている歯が頑丈な状態ではなく、噛み合わせが悪くなっておりましたので、残っている歯を効果的に利用し、かつ噛み合わせを改善できるマグネット式入れ歯を装着しました。上の残っている11本の歯のうち4本をマグネット式入れ歯のために利用しました。
所感
歯周病が進行し、残っている歯が、すべてがっちりとした状態ではありませんでした。また、歯 がないところを長い間何も入れていない状態で放置していたため、歯が移動し噛み合わせが悪く なっていました。こういう状況で、残っている歯を効果的に活用し、噛み合わせを改善するのに 有効な方法の一つにマグネットを利用した総義歯があります。患者さんにマグネット式入れ歯を説明 したところ、マグネット式入れ歯でお願いしますという事になりました。
費用
上顎:チタン製総義歯 ¥286,000(税込)
マグネット4個 ¥70,000×4本=¥280,000(税込)
合計:¥566,000(税込)
女性Tさん 60代(マグネット式入れ歯)
主訴
歯周病やむし歯の悪いところは、全部治したい。
治療内容
上1本、下1本は、歯周病が進行し保存することが出来ず抜歯。残っていた全部の歯に被せものがしてあり、そのほとんどが2次カリエスになっていました。上6本のうち4本、下7本のうち4本を利用し、マグネット式入れ歯を装着しました。
所感
残っている歯が、すべて頑丈な状態ではありませんでした。また、嘔吐反射が激しかったので、口蓋の床を短くしてほしいという要望がありました。こういう時に最も効果的な方法の一つにマグネットを利用した総義歯があります。患者さんにマグネット式入れ歯をお勧めしたところ、是非、マグネット式入れ歯でお願いしますという事になりました。治療後「入れ歯の密着度がよく、自分の歯のように使いこなしたいと思います。仕上がりがすごくきれいで気に入ってます。先生も衛生士の方も説明がわかりやすくて良かったです。」というお話を頂き、スタッフ一同とても嬉しくなりました。
費用
上顎:チタン製総義歯 ¥286,000(税込)
マグネット4個 ¥70,000×4本=¥280,000(税込)
下顎:チタン製総義歯 ¥286,000(税込)
マグネット4個 ¥70,000×4本=¥280,000(税込)
合計:¥1,132,000(税込)
女性Oさん 60代(マグネット式入れ歯)
主訴
歯がないところに、歯を作りたい。(入れ歯かその他かは話を聴いてから考えたい)
治療内容
下顎の2本は残すことが出来ず、抜歯しました。歯周病が進んでいましたので、徹底的に歯周病治療をし、上顎5本のうち4本を、下顎6本のうち4本を利用し、上下マグネット総義歯にしました。
所感
残っている歯が、少なくなってきていましたし頑丈な状態ではなかったので、残存歯を効果的に活用し長持ちさせることが出来るマグネット式総入れ歯を提案しました。
当初、残っている上顎5本、下顎6本にオールセラミック冠を被せてきれいにし、上下奥歯の歯がないところは、チタン製の部分入れ歯を希望されました。
- ・残っている歯は、歯周病が進んでいること
- ・残っている歯にバネをかけた場合、将来その歯を失う可能性が高いこと
- ・費用は上下合わせて11本にオールセラミック冠を被せ、上下チタン製の部分入れ歯を入れるよりも
・安い費用であること(オールセラミック冠11本:¥88,000×11本=¥880,000、上下チタン製の
・部分入れ歯:¥286,000×2=¥572,000 合計¥1,452,000(税込)) - ・見た目もバネが見えないのできれいに仕上がること
を説明したところ、上下マグネット総義歯で治療を進めることになりました。
上の総義歯は、マグネットが前歯部に偏っていることを考慮し、力配分のことを考え、馬蹄形にはせず、通常のかたちにしました。
治療後「はじめは、前歯上下の差し歯の作り替えの希望で来ましたが、奥歯がない為、思い切ってマグネット式の入れ歯にしました。出来あがるまでには、けっこう月日もかかりましたが、不安に思ったことなど訊くと、先生も衛生士さんも丁寧に受け答えしてくれて、とても信頼出来ました。出来あがりもピッタリきれいで、とても気に入っています。本当にありがとうございました。とにかく衛生士さんが話しやすい。なんでも聞きやすい。今までありがとうございます。」という、とてもありがたいお言葉を頂きました。
費用
チタン製総入れ歯:¥264,000×2=¥528,000(税込み)
マグネット8個:¥56,100×8本=¥448,800(税込み)
合計:¥976,800 (税込み)
男性Uさん 70代(マグネット式入れ歯)
主訴
上の入れ歯のバネが折れた。
治療内容
残っている5本のうち4本を利用してマグネット式入れ歯にしました。
所感
「残りの歯が5本である事。今までと同じようにバネの付いた部分入れ歯にすると、残りの歯が徐々に失われ、近い将来、総入れ歯になること。今であれば、残っている5本の歯を効果的に活用して、マグネット式入れ歯にできること。」を説明しましたところ、マグネット式入れ歯で進めることになりました。治療後、「前の入れ歯より、入れ歯が外れることもなく、マグネット入れ歯にして大変良かったです。前より食べ物がおいしく感じるようになりました。ありがとうございます。」という感想を頂き、この上ない喜びでした。
費用
チタン製入れ歯:¥264,000(税込み)
マグネット4個:¥56,100×4=¥224,000(税込み)
合計:¥488,000(税込み)
男性Hさん 60代(マグネット式入れ歯)
主訴
下の入れ歯が合わなくなってきたので、新しく入れたい。
治療内容
3本の歯を利用したマグネット式部分入れ歯を入れました。
所感
治療後「入れ歯が動かないので、食事がとてもおいしく食べられます。以前の入れ歯は、歯ごたえのある物をかむと、歯茎が痛くなり、硬い食べ物は控えていました。マグネット式部分入れ歯にして本当に良かったです。」と、喜んでくださいました。
費用
チタン製部分入れ歯:¥260,000(税別)
マグネット3個:¥51,000×3=¥153,000(税別)
合計:¥413,000(税別)
女性Sさん 80代(マグネット式入れ歯)
主訴
上に義歯を入れたい。
治療内容
残っている5本の歯を利用して、マグネット式入れ歯を入れました。
所感
残っている歯にバネをかける部分入れ歯という選択もありましたが、残っている歯を効果的に使い、見た目も綺麗で、残っている歯が長持ちするマグネット式入れ歯を説明したところ、「マグネット式入れ歯でお願いします。」とおっしゃられました。
治療後、「ありがとうございます。食べ物もとてもおいしくて嬉しいです。これからも大事に使いたいと思います。」と、とても喜んでくださいました。
費用
チタン製総入れ歯:¥240,000(税別)
マグネット4個:¥51,000×4=¥204,000(税別)
合計:¥444,000(税別)