入れ歯を入れて数年後でも、インプラントに変えることができます
「以前、歯が抜けたときに入れ歯を選んだけど、やっぱりインプラントにしておけばよかった…」
「抜歯が嫌でしばらく様子を見てみたけど、もうインプラントはできないのかな…」
入れ歯を入れていて、ごはんがおいしく食べられない、痛みがある、生活に不自由が出る等があれば、その時にインプラントに変えることも可能です。また、どの治療にするか迷って(あるいは抜歯がこわくて)時間が経ってしまった場合でもインプラントは可能です。
今年の1月、70歳代女性のYさんが来院されました。
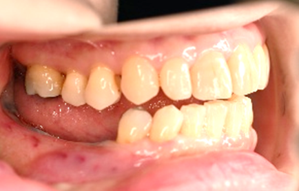
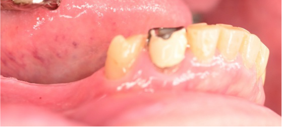
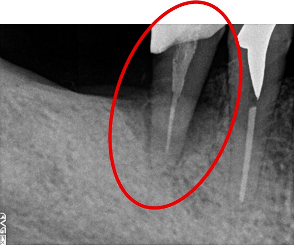
「右下の1番後ろの歯が浮いたような感じで、グラグラしていて噛むと痛みもあります。」とのこと。レントゲンで詳しく調べると、噛み合わせの問題と歯周病の進行が原因で、奥歯の周りの骨がなくなってしまっていました。この歯は残念ながら抜歯になることをYさんにお話しし、他の歯が多く残っているので、インプラント治療をおすすめしました。(インプラントは他の歯に負担をかけないので、残っている歯を守ることができます。)

この時はYさんはしばらく様子を見ることにされましたが、5月に再び来院され、「インプラントをお願いします」と決心してくださいました。合計2本のインプラントを入れ、Yさんは、「左右の歯で食べ物が噛めるようになり本当に良かったです。今後も歯を大切にしたいと思います。」と、とても嬉しそうにされていました。
ブリッジや入れ歯などの治療を選んだ数年後に、「インプラントにしてみたい」と、再度思い立って行うことは可能です。
入れ歯になじめない、入れ歯の支えになっている歯がグラグラする、何年か前にブリッジにしたところが噛むと痛い、などお困りの症状がある方、気になることがある方、お気軽にご相談ください。
女性Nさん 60代(インプラント)
主訴
右上の歯がないところに、歯を入れたい。
治療内容
インプラントを右上第一大臼歯部に1本埋入しました。
所感
右上の欠損を補う方法は、部分入れ歯かインプラントです。もし部分入れ歯を選択されていたら、使わない入れ歯になっていたことが予想されます。インプラントにして正解だと考えます。
インプラント1本:¥363,000(税込)
Before
After
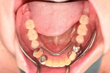
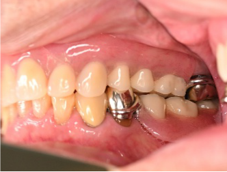
男性Kさん 60代(インプラント)
主訴
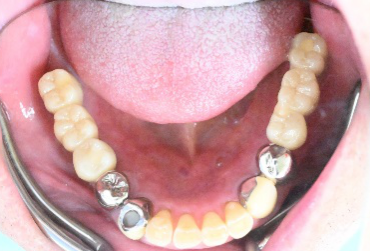
下の左右歯がないところに歯を入れたい。
治療内容
左右それぞれ3本歯がないところに2本ずつインプラントを埋入しました。
所感
上と下の歯の咬合接触がないすれ違い咬合です。上下義歯で対応するには最も難しいタイプの欠損状況です。治療開始前は、上下部分入れ歯が入っていましたが、入れ歯の安定が悪く、あちこちの歯茎に入れ歯が当たって痛く、満足に噛める状態ではありませんでした。上顎は、残ってる歯を活用するマグネット式総義歯を、下顎はインプラントを提案しました。上顎は、現在残っている歯の根管治療中です。上顎にマグネット式総義歯がはいれば、何でも食べられるようになります。
インプラント4本:¥363,000×4本=¥1,452,000(税込)
ポンティック2本:¥115,500×2本=¥231,000(税込)
合計:¥1,683,000(税込)
Before
▼初診時に使用していた部分入れ歯を装着したところ
▼インプラント埋入前
After
▼インプラント埋入後
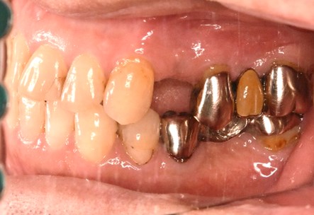
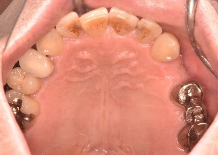
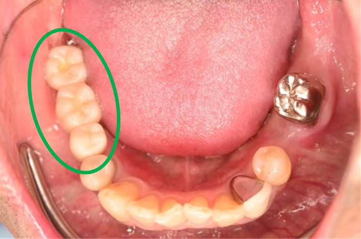
男性Nさん 70代(インプラント)
主訴
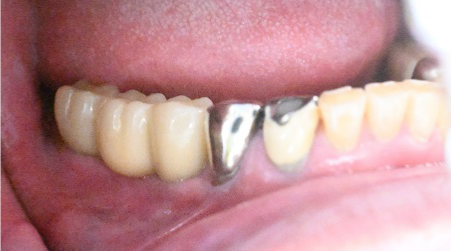
右下奥の歯が、グラグラして噛むと痛い。
治療内容
歯根の周りの骨が全く無い状態でしたので、保存することができず抜歯しました。3本歯がないところに2本インプラントを埋入しました。
所感
抜歯後、歯がなくなったところを補う方法には、部分入れ歯とインプラントがあります。この症例の場合、右下以外ほとんど歯が残っていますので、もし部分入れ歯にした場合、入れ歯のところで他のところと同じ感覚で噛むことができないので、慣れることが大変です。また部分入れ歯の支えになっている歯に負担がかかりますので、今後さらに歯を失う可能性が大きくなります。インプラントは、自分の歯と同じ感覚で噛むことができ、単独で植立していますので他の歯に負担がかかることがありませんので、更に歯を失うことを防ぎます。
インプラント2本:¥363,000✕2本=¥726,000(税込)
ポンティック1本:¥115,500(税込)
合計:¥841,500(税込)
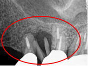
Before
※赤丸を抜歯しました。
After
男性Eさん 80代(インプラント)
主訴
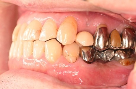
左上2本が動いていて、噛むと痛みがある。歯がないところに歯を入れたい。
治療内容
左上第二小臼歯と第一大臼歯の歯根が破折していたため、保存することができず抜歯しました。第一小臼歯は、すでにありませんでしたので、2本抜歯後3本欠損のところにインプラントを2本埋入しました。
所感
2006年10月に右下と左下の欠損部分にインプラント治療をしました。今回も左上の歯を失ったところは、インプラント治療を希望されました。
インプラント2本:¥363,000✕2本=¥726,000(税込)
ポンティック1本:¥115,500(税込)
合計:¥841,500(税込)
Before
※赤丸は、歯根が破折していたため抜歯しました
※黄色丸は、2006年10月に埋入したインプラント
After
※緑丸は、今回埋入したインプラント
※黄色丸は、2006年10月に埋入したインプラント
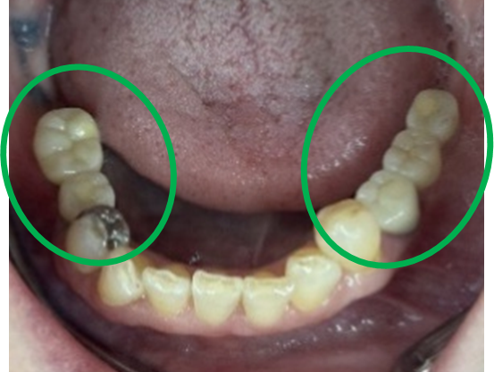
男性Kさん 60代(インプラント)
主訴
左上、歯が割れて抜歯しました。その後何も入れていません。このままでいいのでしょうか?
治療内容
インプラントを埋入しました。
所感
歯がなくなったところは、このままにしておきますと、時間とともに歯が移動して歯並びが乱れますので、補うものを入れる必要があります。治療方法について説明しました。
(1)取り外しのバネ式部分入れ歯
(2)歯がないところの両側を削ってつなげるブリッジ
(3)インプラント(それ自身単独で植立し他の歯に負担がかからないし、自分の歯と同じ感覚で噛むことができる)
患者さんは、インプラントを選択されました。インプラントは、他の歯に負担がかからないので、更に歯を失う可能性が低くなりますので、最も良い選択だと考えます。
インプラント1本:¥363,000(税込)
Before
After
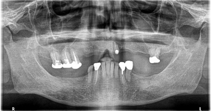
女性Cさん 60代(インプラント)
主訴
左下がぐらついて、噛むと痛い。歯がないところに以前部分入れ歯を入れたが、思うように使えなかったので、インプラントを入れたい。
治療内容
レントゲンで詳しく診てみると、左下の動いている歯、右下の一番奥は、保存することができず、抜歯しました。左下の抜歯したところは、骨造成後、左に2本、右に2本インプラントを埋入しました。
所感
左下の抜歯したところは、大きく骨が欠損していましたので、骨造成をしました。5か月間待ってからインプラントを埋入しました。骨をきちんと作ってから埋入して、正解でした。今回もX-Guideを使った埋入で、安心安全に行うことできました。
骨造成:¥55,000(税込)
インプラント4本:¥363,000×4本=¥1,452,000(税込)
ポンティック1本:¥115,500(税込)
合計:¥1,622,500(税込)
Before
赤丸は抜歯しました
【抜歯後】
【骨造成前】
【骨造成後】
After
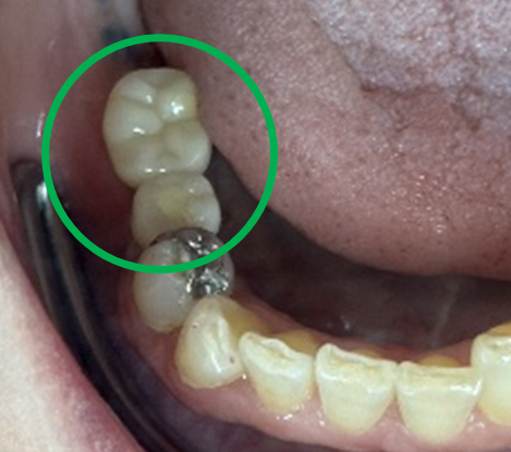
男性Uさん 50代(インプラント)
主訴
左下一番奥が動いて気になる。
治療内容
レントゲンで詳しく診てみると、第二大臼歯の歯根が真っ二つに割れていることがわかりました。保存することができず抜歯しました。抜歯後、骨造成し、インプラントを埋入しました。
所感
抜歯後、歯がなくなったところの対処法として
(1)取り外しの部分入れ歯
(2)インプラント
(3)何も入れない
という3つの選択があります。
(1)の部分入れ歯は、一番奥1本だけの入れ歯です。他の歯がほとんど残っている、かつ一番咬合力がかかるところですので、作ったとしても使わない入れ歯になってしまいます。
また(3)の何も入れないという選択は、対合歯(上の噛みあう歯)が、すぐにではありませんが、時間の経過とともに、挺出(ていしゅつ:歯が下のほうに移動してくる)して歯並びがみだれてきます。
自分の歯と同じ感覚で食事できるインプラントにして正解だと考えます。
今回もX-Guideを使った埋入で、安心安全に行うことできました。
骨造成:¥55,000(税込)
インプラント1本:¥363,000(税込)
合計:¥418,000(税込)
Before
After