男性Fさん 60代(マグネット式入れ歯・チタン製義歯)
主訴
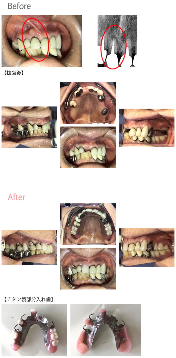
上下義歯が外れやすく、合わない。左下奥歯と右下の1本がグラグラして、噛むと痛い。新しい義歯を作って欲しい。
治療内容
右下の1本と左下奥歯は、保存することができず抜歯。下顎は、残り2本を活用したマグネット義歯、上顎はチタン製の総義歯にすることにしました。
所感
治療後「義歯が全く動かないので、よく噛んでおいしく食事ができ、とても良いです。」と、とても喜んでくださいました。マグネット義歯は、残っている歯が少なくなってきた時、それらの歯を効果的に使うとてもいい方法です。私は、残存歯が少なくなってきた時、義歯で対応する場合は、マグネット義歯を第一選択としてオススメしています。
費用
上顎:チタン製総義歯 ¥286,000(税込)
下顎:チタン製総義歯 ¥286,000(税込)
マグネット2個 ¥70,000×2本=¥140,000(税込)
合計:¥712,000(税込)
Before

After
【義歯を外したところ】

【義歯を装着したところ】

上顎チタン製総義歯

下顎マグネット義歯

女性Mさん 70代(チタン製義歯・スマートデンチャー)
主訴
上下、入れ歯をいれたい。
治療内容
上顎は、チタン製の総入れ歯、下顎は、スマートデンチャー(チタン床付き)をいれました。
所感
上顎は、口蓋の部分が薄い入れ歯を希望されましたのでチタン製の総入れ歯を、下顎は、金属のバネが見えない入れ歯を希望されましたので、スマートデンチャーを入れました。スマートデンチャーは、1~2歯の中間歯欠損の場合は、金属床(チタン床)は必要ありませんが、3歯以上の欠損・後ろに歯がない欠損の場合は、必要になってきます。チタンの骨組みをしないと入れ歯が噛むたびにたわみ沈み込むため、よく噛める入れ歯にはなりません。
上顎:チタン製総入れ歯:¥286,000(税込)
下顎:スマートデンチャー(チタン床付き):¥322,000(税込)
合計:¥608,000(税込)
男性 Kさん 60代(チタン製義歯)
主訴
歯がないところに入れ歯をいれたい。
治療内容
チタン製の部分入れ歯を入れました。
所感
以前、他の医院で保険の部分入れ歯を入れたことがあるそうですが、痛くて使えなかったそうです。今回は、チタン製の部分入れ歯を希望されました。チタン製の部分入れ歯は、保険の部分入れ歯に比べ、構造が頑丈にできているため、噛んだ時に入れ歯のゆがみが少ないため、歯茎にあたっていたいという事が少ないです。部分入れ歯を選択する場合は、チタン製の部分入れ歯を選択されるのが最良だと思います。
チタン製部分入れ歯:¥297,000(税込)
女性 Tさん 70代(チタン製義歯)
主訴
上の入れ歯を新しくしたい。
治療内容
チタン製の総入れ歯を入れました。
所感
11年前、チタン製の総入れ歯を入れました。長い年月が経過し、入れ歯のいたるところが劣化したため、新しく入れ歯を作り替えました。前回の入れ歯を11年間快適に使用できたので、今回もチタン製の総入れ歯を希望されました。
チタン製総入れ歯:¥286,000(税込)
女性 Iさん 60代(チタン製義歯)
主訴
上の歯がないところに、入れ歯を入れたい。
治療内容
以前は、保険のプラスチック製の義歯を使用していましたが、今回は、チタン製の部分入れ歯を入れました。
所感
「口蓋のところの入れ歯の厚みが薄いので、使い心地がとても良い。」と、喜んでくださいました。
チタン製部分入れ歯:¥286,000(税込み)
女性 Tさん 70代(チタン製義歯)
主訴
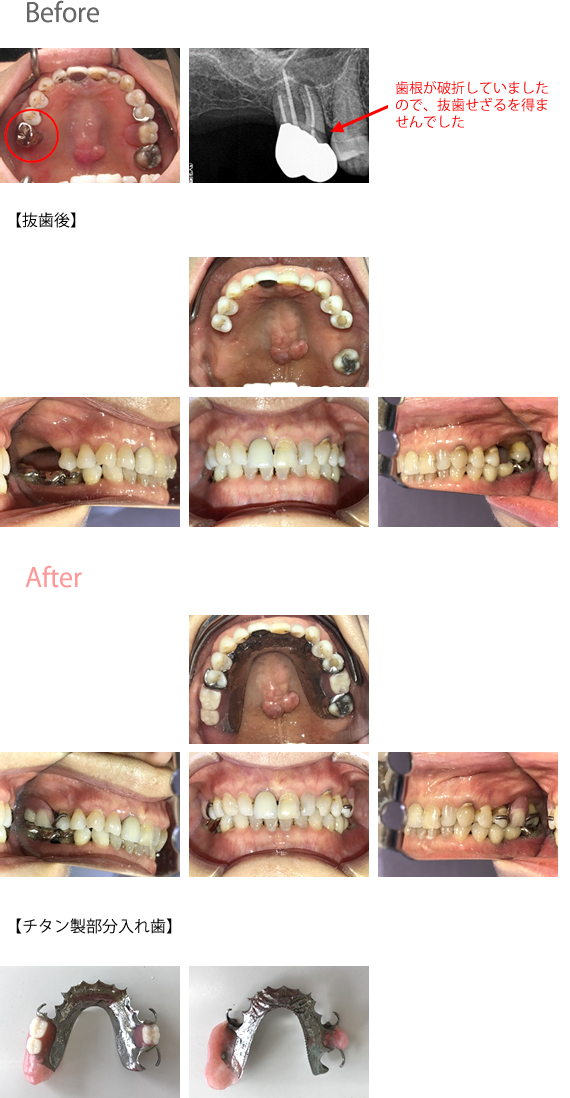
右上の1番奥の歯が数日前より噛むと痛い。
治療内容
歯根が破折していることがわかり、抜歯しました。抜歯したところも含めて、歯がないところにチタン製の部分入れ歯を入れました。
所感
抜歯したところにインプラント治療を希望されましたが、CTを撮ってみると、骨の厚みが足りないことがわかりましたので断念しました。使い心地が優れているチタン製の部分入れ歯を説明したところ、チタン製の部分入れ歯を希望されました。
チタン製部分入れ歯:¥260,000(税別)
女性 Yさん 80代(チタン製義歯)
主訴
前歯が、硬いものを噛んでから痛く、グラグラしている。歯茎も腫れている。
治療内容
歯根が破折していることがわかり、抜歯しました。抜歯したところも含めて、チタン製の部分入れ歯を入れました。
所感
この患者さんは、抜歯前もチタン製の部分入れ歯を入れていました。使い心地の良さを実感していましたので、今回もチタン製の部分入れ歯を希望されました。
チタン製部分入れ歯:¥260,000(税別)
女性 Kさん 70代(チタン製義歯)
主訴
下の歯がないところに入れ歯を入れたい。
治療内容
チタン製の部分入れ歯を入れました。
所感
チタン製の入れ歯は、噛んだ時にゆがまないので、歯がないところの粘膜への沈下が少なくなります。そのため、粘膜への負担が軽減され、痛みが出ずらいです。保険義歯に比べ、使い心地がとてもいいです。
チタン製部分入れ歯:¥260,000(税別)
女性 Tさん 60代(チタン製義歯)
主訴
下の義歯を新しくしたい。
治療内容
チタン製の部分入れ歯を製作しました。
所感
今までは、保険の義歯が入っていました。右の歯茎が、入れ歯が当たって頻繁に痛くなっていたそうです。噛んだ時にたわむことが少ないがっちりした骨組みのチタン製の入れ歯を紹介したところ、「ぜひやってみたい。」と、おっしゃられました。治療後「以前の入れ歯より、とても使い心地がいい。」と、喜んでくださいました。
チタン製部分入れ歯:¥260,000(税別)
女性 Uさん 70代(チタン製義歯)
主訴
上下入れ歯が壊れたので、新しく作りなおしたい。
治療内容
上は総入れ歯、下は部分入れ歯です。患者さんはチタン製義歯を希望されました。
所感
義歯装着後、一度調整に来てもらいましたが、「上の入れ歯の厚みがとても薄いので、とても良いです。問題なく食事できています。」と、とても喜んでくださいました。
(上顎…チタン総義歯¥259,200 下顎…チタン部分入れ歯¥280,800)合計¥540,000
女性Tさん 70代(チタン製義歯)
主訴
下の入れ歯が壊れたので、新しく入れ歯を作りたい。
治療内容
チタン製義歯を作成しました。
所感
この患者さんは、平成18年(2006年)に私の医院で、チタン製義歯を作成し、ずっと問題なく使われていました。今回、バネのところが金属疲労により折れたので、新しく作り変えました。この患者さんの凄いところは、この11年間1本も歯を失っておらず、11年前と同じ欠損状態だという事です。保健の部分入れ歯に比べ、チタン製義歯は噛んだ時にたわまないので、バネがかかっている歯への負担が少なります。そのため、さらに歯を失う可能性が非常に少なくなります。
(下顎…チタン部分入れ歯¥280,800)合計¥280,800
男性Mさん 60代(チタン製総義歯)
主訴
上の入れ歯が割れた。
治療内容
上が1本も歯がなく、下は自分の歯でした。上の保険のプラスチック義歯を修理して、新しい入れ歯ができるまで使ってもらい、チタン製の総入れ歯を作成しました。
所感
今まで何度も上の総入れ歯が中央で割れ、そのたびに作り替えていたそうです。私の医院に来る1ヶ月前に、保険のプラスチック義歯をほかの医院で作ったそうですが、それも1ヶ月もたたないうちに割れてしまったそうです。相当咬合力が強い方でしたので、チタン製の総入れ歯をお勧めしました。治療後とても気に入って喜んでくださいました。
(上顎…チタン総義歯¥259,200)合計¥259,200
男性Mさん 50代(チタン製義歯コンフォート義歯)
主訴
下に一本残っている歯がグラグラして痛い。これを抜いて上下入れ歯を作りたい。
治療内容
1本残っていた歯は、グラグラで入れ歯の支えにすることができませんでしたので、抜歯させていただきました。上下が総入れ歯になりましたので、上はチタン製の義歯、下はクッション効果のあるコンフォート義歯にしました。
所感
嘔吐反射の強い方でしたので、上を義歯の厚みを約0.5㎜にできるチタン製の義歯にしました。(保険のプラスチック製の義歯は2mm以上)上顎を覆うところが薄いおかげで、吐き気を催すこともほとんどありません。下の義歯は、粘膜に接するところをシリコン製にしました(コンフォート加工)。弾力性があるため、固いものも力を入れて噛むことができます。「何でも食べられる。」と、とても気に入ってくださいました。
(上顎…チタン総義歯¥259,200 下顎…コンフォート義歯¥270,000)合計¥529,200
女性Yさん 60代(チタン義歯)
主訴
6月に保険の入れ歯を作ったが合わないので、新しい入れ歯を作って欲しい。
治療内容
保険の入れ歯になかなか慣れることができないようでしたので、上下、チタン製の入れ歯を作りました。
所感
保険のプラスチック製の入れ歯は、上あごを覆うところの厚みが2mm以上あり、とても違和感があり、吐き気を催すこともあったようです。チタン製の入れ歯は、0.5mmの薄さです。「口の中が広くなったように感じます。ごはんをおいしく食べられるようになりました。」と、とても喜んでくださいました。
(上顎…チタン床付きスマートデンチャー¥291,600 下顎…チタン部分入れ歯¥280,800)合計¥572,400