入れ歯を入れて数年後でも、インプラントに変えることができます
「以前、歯が抜けたときに入れ歯を選んだけど、やっぱりインプラントにしておけばよかった…」
「抜歯が嫌でしばらく様子を見てみたけど、もうインプラントはできないのかな…」
入れ歯を入れていて、ごはんがおいしく食べられない、痛みがある、生活に不自由が出る等があれば、その時にインプラントに変えることも可能です。また、どの治療にするか迷って(あるいは抜歯がこわくて)時間が経ってしまった場合でもインプラントは可能です。
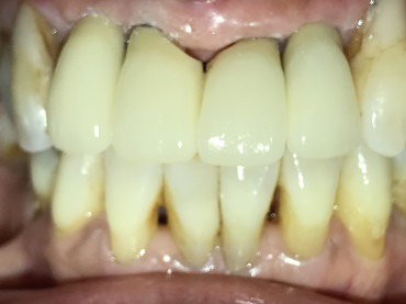
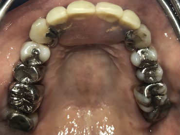
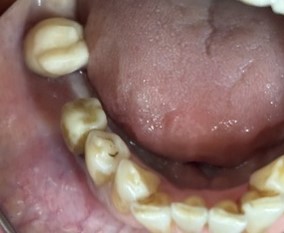
今年の1月、70歳代女性のYさんが来院されました。
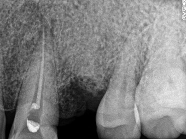
「右下の1番後ろの歯が浮いたような感じで、グラグラしていて噛むと痛みもあります。」とのこと。レントゲンで詳しく調べると、噛み合わせの問題と歯周病の進行が原因で、奥歯の周りの骨がなくなってしまっていました。この歯は残念ながら抜歯になることをYさんにお話しし、他の歯が多く残っているので、インプラント治療をおすすめしました。(インプラントは他の歯に負担をかけないので、残っている歯を守ることができます。)

この時はYさんはしばらく様子を見ることにされましたが、5月に再び来院され、「インプラントをお願いします」と決心してくださいました。合計2本のインプラントを入れ、Yさんは、「左右の歯で食べ物が噛めるようになり本当に良かったです。今後も歯を大切にしたいと思います。」と、とても嬉しそうにされていました。
ブリッジや入れ歯などの治療を選んだ数年後に、「インプラントにしてみたい」と、再度思い立って行うことは可能です。
入れ歯になじめない、入れ歯の支えになっている歯がグラグラする、何年か前にブリッジにしたところが噛むと痛い、などお困りの症状がある方、気になることがある方、お気軽にご相談ください。
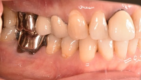
女性Hさん 60代(オールセラミック冠・インプラント)
主訴
右下のブリッジがゆらゆら動く。
治療内容
ブリッジの支台になっている奥の歯が、被せ物の中で虫歯になり、支台の役割を果たさず、前方の歯のみで支えられていました。前方の歯をそのままにして、後方の部分を切り離すと、そのまま取れてきました。中は、虫歯で歯根しか残っていない状況でした。この歯は、根管治療後、単独でオールセラミック冠を被せ、歯のないところにインプラントを埋入しました。
所感
今回の治療法には、次の3つの方法があります。
(1)虫歯になっていた歯の根管治療をし、土台を入れ、また再びブリッジにする。しかし、虫歯になっていたほうの歯は、ブリッジの支台として使うには、心もとなく長持ちしない可能性が高く、今度問題が生じたときには抜歯になる。
(2)虫歯になっていた歯に、単独で被せ物をし、歯のないところに1本だけの部分入れ歯を入れる。取り外しの入れ歯なので、自分の歯のような感覚で噛むことはできない。この方法も歯のない部分の負担を欠損の両側の歯に負担してもらうため、長持ちしない可能性が高い。
(3)虫歯になっていた歯に、単独で被せ物をし、歯のないところにインプラントを埋入する。欠損している部分の負担を前後の歯に負担させないので、歯を守ることができる。また、自分の歯と同じ感覚で食事をすることができる。
患者さんは、3つ目の方法を選択されました。一番長持ちし、これ以上歯を失わないためには、最良の方法だと考えます。
オールセラミック冠(失活歯):¥104,500(税込)
インプラント:¥363,000(税込)
合計:¥467,500(税込)
Before

冠の中で大きな虫歯になり支台の役割を果たしていませんでした。
【インプラント埋入前】

冠はブリッジを切断しただけで取れてきました。軟化象牙質を取り除いたところ、歯根しか残っていない状況で保存できるかどうかのぎりぎりのところでした。
After
女性Mさん 40代(インプラント)
主訴
右上2本(第1第2小臼歯)の虫歯を治したい。
治療内容
レントゲンで詳しく診てみると、虫歯が歯根のほうまで進行し、保存することができないことがわかり、抜歯しました。抜歯後、骨が大きく欠損していましたので、骨造成を行いインプラントを2本埋入しました。
所感
抜歯後の欠損したところを補う方法には、部分入れ歯、ブリッジ、インプラントがあることを説明したところ、自分の歯と同じような感覚で嚙むことができるインプラントを選択されました。この方は、2016年に右下にインプラント治療をし、インプラントの良さを十分に理解しておられましたので、今回も2本歯を失ったところにインプラント治療を希望されました。今回もX-Guideを使った埋入で、安心安全に行うことできました。
インプラント2本:¥363,000×2本=¥726,000(税込)
骨造成:¥55,000(税込)
合計:¥781,000(税込)
Before
【抜歯後】
After
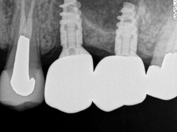
女性Oさん 60代(インプラント)
主訴
右上(第2小臼歯)の臭いが気になる。
治療内容
レントゲンで詳しく診てみると、歯根が真っ二つに割れていることがわかりました。臭いは、割れているために炎症を引き起こし、そこからの膿が原因でした。保存することができず抜歯しました。抜歯後、インプラントを埋入しました。
所感
抜歯後、ブリッジ、部分入れ歯の選択肢もありましたが、2013年に右下にインプラント治療をし、インプラントの良さを十分に理解しておられましたので、今回も1本歯を失ったところにインプラント治療を希望されました。歯根破折が原因で抜歯になった方ですので、もしブリッジにしていたら再度歯根の破折を引き起こし、さらに歯を失う可能性が、高い方でした。インプラントは、それ自身が単体で植立し、単独で咬合力を負担します。ブリッジや部分入れ歯のように他の歯に歯がない部分の負担を負わせることがないので、他の歯を守ります。インプラントにして正解だと考えます。今回もX-Guideを使った埋入で、安心安全に行うことができました。
インプラント1本:¥363,000(税込)
Before
歯根が真っ二つに割れていました
抜いた歯
【抜歯後】
After
男性Iさん 60代(インプラント)
主訴
左上の歯茎が腫れて、噛むと痛い。
治療内容
ブリッジの支台になっている前方の歯が、歯根の破折を起こしていました。真っ二つに割れていましたので、保存することができず抜歯しました。抜歯後2本欠損のところに、2本インプラントを埋入しました。
所感
抜歯後、ブリッジ、部分入れ歯の選択肢もありましたが、「自分の歯と同じように食事ができるインプラントでお願いします。」とおっしゃられました。咬合力がとても強い方でしたので、もし再度ブリッジにしていたら再度歯根の破折を引き起こし、さらに歯を失っていた可能性が高い方でした。インプラントは、それ自身が単体で植立し、単独で咬合力を負担します。ブリッジや部分入れ歯のように他の歯に負担を負わせることがないので、他の歯を守ります。インプラントにして正解だと考えます。今回もX-Guideを使った埋入で、安心安全に行うことができました。
インプラント2本:¥363,000×2本=¥726,000(税込)
Before
歯根が真っ二つに割れていました
抜いた歯
【抜歯後】
After
男性Nさん 50代(インプラント)
主訴
左上の歯がグラグラで、歯茎が腫れている。
治療内容
歯周病が進行し、保存することができず抜歯しました。大きく骨が欠損していましたので、骨造成後インプラントを埋入しました。
所感
抜歯後、ブリッジ、1本義歯の選択肢もありましたが、インプラントを選択されました。治療後「初めての治療でしたが良かったです。今後もし歯を失うことがあったら、インプラントをしようと思いました。」という感想をいただきました。今回もX-Guideを使った埋入で、安心安全に行うことできました。
骨造成:¥55,000(税込)
インプラント1本:¥363,000(税込)
合計:¥418,000(税込)
Before
【抜歯後】
After
女性Kさん 50代(インプラント)
主訴
左下の抜けているところに歯を入れたい。
治療内容
インプラントを2本埋入しました。
所感
以前、1本歯がないところを、欠損の両側に被せ物をしてつないだブリッジでした。その2本のうちの前方の歯が歯根の破折を起こし、抜歯になり2本の欠損になりました。この2本の欠損を補う方法には、部分入れ歯、再度ブリッジ、インプラントの3つの方法があります。部分入れ歯もブリッジも欠損部分の負担をほかの歯に負わせるため、支台になった歯は負担が大きくなり、虫歯、歯周病、歯根破折の危険性が高まり、さらに歯を失うことになります。インプラントは、それ自身が単体で植立しているため他の歯に負担を負わすことがありませんので、咬合を回復させるだけではなく、他の歯を守る役割もあります。今回もX-Guideを使った埋入で、安心安全に行うことできました。
インプラント2本:¥363,000×2本=¥726,000(税込)
Before
After
男性Mさん 60代(インプラント)
主訴
左上の歯がぬけてきた。
治療内容
歯根が、長い間で徐々に吸収し、自然脱落していました。抜け落ちたところは、インプラントを1本埋入しました。
所感
2022年12月に左前歯が歯根破折を起こして抜歯しました。歯がなくなったところは、インプラント治療をして、インプラントの良さを実感しておられましたので、今回も左上の抜けたところを補う方法に、ブリッジではなくインプラントを選択されました。今回もX-Guideを使った埋入で、安心安全に行うことできました。
インプラント1本:¥363,000(税込)
Before
After

女性Kさん 50代(インプラント)
主訴
左下の被せ物がとれてしまい、歯茎が腫れている。
治療内容
歯根が破折していましたので、抜歯しました。抜歯後インプラント治療を希望されました。歯根が破折していた状態で1年以上経過していましたので、大きく骨が欠損していました。骨造成をして、6か月待ってからCT撮影をし、骨ができていることを確認してからインプラントを埋入しました。
所感
2022年2月に右下奥歯の歯がないところに1本インプラント治療をしていましたので、今回も左下の抜歯したところを補う方法に、ブリッジではなくインプラントを選択されました。今回もX-Guideを使った埋入で、安心安全に行うことできました。
骨造成:¥55,000(税込)
インプラント1本:¥363,000(税込)
合計:¥418,000(税込)
Before
抜歯をし骨造成後5か月経過
After
2022年2月のインプラント治療
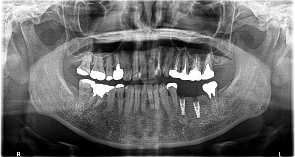
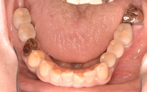
女性Nさん 60代(インプラント)
主訴
左下、歯がないところに歯を入れたい。
治療内容
3本歯がないところに、インプラントを2本埋入しました。
所感
2022年5月に上前歯に2本、2023年12月に右下に2本、インプラント治療をしていましたので、今回も左下3本欠損のところに義歯ではなくインプラントを選択されました。今回も X-Guideを使った埋入で、安心安全に行うことできました。
インプラント2本:¥363,000×2本=¥726,000(税込)
ポンティック1本:¥115,500(税込)
合計:¥841,500(税込)
Before

After

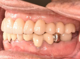
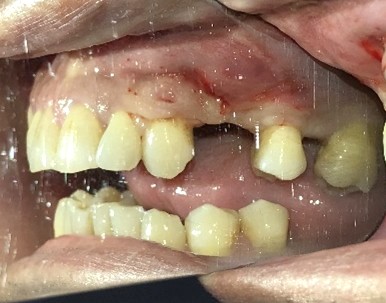
男性Tさん 70代(インプラント)
主訴
上下、歯がないところに入れ歯を作ったが、使っていない。インプラント治療をしてほしい。
治療内容
上顎4本残っている歯を抜歯し、インプラントを6本埋入。下顎、右下2本、左下1本埋入。
所感
上顎3本は、もし義歯で対応する場合であれば、保存してマグネット義歯の支台として活用します。しかし、患者さんが義歯ではなくインプラント治療を希望され、かつ、見た目が自然でよく嚙めるようになることが最優先事項でしたので、相談したうえで3本の歯は積極的に抜歯しました。
治療後、「インプラント治療に満足しています。食事が楽しくなりました。スタッフの方の説明がわかりやすかったです。1年間ありがとうございました。」と、とてもうれしくなる感想を書いていただきました。
上顎:全額治療 ¥3,280,000(税込)
下顎:インプラント3本 ¥363,000×3本=¥1,089,000(税込)
合計:¥4,369,000(税込)
Before
After
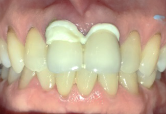
男性Yさん 60代(インプラント)
主訴
上前歯2本の歯根が割れているので、インプラント治療をしてほしい。
治療内容
前歯2本を抜歯し、同時に骨造成をしました。骨ができる期間を約5か月待ち、インプラントを2本埋入しました。
所感
インプラント治療を希望し、函館から車で1時間10分ほどかかる江差町の歯科医院から、紹介されて来院されました。前歯2本は、歯根が破折していました。歯根の割れ方が、小さければ抜歯せず保存できる場合がありますが、この症例は真っ二つに割れていましたので抜歯せざるを得ませんでした。
抜歯前に、抜歯後の治療法について詳しく説明したところ、インプラント治療を希望されました。歯根が破折した状態で、1年以上経過していましたので、歯根の周りの骨が大きく欠損していることがわかりましたので、抜歯と同時に骨造成をすることを計画しました。抜歯と骨造成後、5か月を待ち、X-Guideを使用し、正確にインプラントを埋入しました。
骨造成:¥55,000(税込)
インプラント2本:¥363,000×2本=¥726,000(税込)
合計:¥781,000(税込)
Before
After
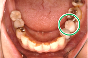
女性Kさん 70代(インプラント)
主訴
左下、ブリッジの支台になっていた奥のほうを抜歯したままになっている。ここのところを何とかしたい。
治療内容
ブリッジの奥に伸びていた部分を削り取り、インプラントを2本入れました。
所感
左下ブリッジのところを切り離し、奥を抜歯したままになっていました。このままでは、ブリッジの前方の支台になっていた歯に負担がかかり、将来抜歯になる可能性があることをお話ししました。歯がないところを補う方法には、部分入れ歯かインプラントがあることを説明すると、自分の歯と同じ感覚で食事ができるインプラントを選択されました。X-Guideを使用し埋入しました。口を大きく開けることができない方でしたので、X-Guideの長所のうちの一つを活かすことができました。
インプラント2本:¥363,000×2本=¥726,000(税込)
Before
青丸の部分を削り取りました
After
女性Mさん 40代(インプラント)
主訴
下、左右歯がないところに歯を入れたい。
治療内容
右下に2本、左下に1本インプラントを入れました。
所感
下顎左右奥の歯がないところに、インプラント治療を希望されて来院されました。X-Guideを使用し埋入しました。治療後「左右の奥歯でしっかり噛めてうれしいです。」と、とても喜んでくださいました。
インプラント3本:¥363,000×3本=¥1,089,000(税込)
Before
After
男性Mさん 70代(インプラント)
主訴
右上の歯茎が腫れている。
治療内容
右上の犬歯と小臼歯の2本が、歯根の破折を起こしていましたので、抜歯しました。抜歯後インプラントを1本埋入し、以前(2013年1月)5本埋入していたインプラントを活用して被せ物を新しくしました。
所感
2013年1月にインプラント治療をした5本を活用し、今回新たに1本埋入したインプラントと合計6本を連結し、新しい被せ物にしました。
インプラント1本埋入:¥250,000×1本=¥250,000(税込)
被せ物6本:¥113,000×6本=¥678,000(税込)
ポンティック:¥115,500×3本=¥346,500(税込)
合計:¥1,274,500(税込)
Before
歯根破折を起こしていたため2本抜歯しました。
【抜歯後】
After
インプラントを新たに1本埋入しました。
女性Nさん 80代(インプラント)
主訴
左下、歯がないところに歯をいれたい。
治療内容
左下骨造成をし、5ヵ月後、インプラントを1本埋入しました。
所感
CT撮影をしてインプラント埋入予定部位を詳しく診てみると、大きく骨がないことがわかりましたので、骨造成をして骨ができたことを確認してからインプラントを埋入しました。
この症例も、3Dダイナミックナビゲーションシステム「Xガイド」を使って埋入しております。
Xガイドは、CTスキャンの画像をもとに顎骨の形態や質、神経の位置などを把握しながら事前に立てた治療計画を正確に手術に再現できるようにサポートするナビゲーションシステムです。インプラントの埋入位置と角度は、「Xガイド」の3Dナビゲーションによって正確に把握されます。骨の中の神経や血管の位置をリアルタイムに確認しながら手術を実行できるため、より安全で精度の高いインプラント手術をすることができます。
骨造成:¥55,000(税込)
インプラント1本:¥363,000(税込)
合計:¥418,000(税込)
Before
After
【X-ガイド】
女性Tさん 60代(インプラント)
主訴
上の前歯の部分入れ歯が合わないので、インプラントにしたい。
治療内容
インプラントを4本埋入しました。
所感
骨の厚みが薄かったのですが、X-Guideを用い、正確に埋入することが来ました。
治療後「とてもきれいに出来てうれしかったです。話をしても、空気がもれず良くなりました。もう少し早く治すと良かったと思いました。」と、とても喜んでくださいました。
インプラント4本:¥363,000×4本=¥1,452,000(税込)
Before
インプラント埋入前
義歯を装着したところ
使用していた部分入れ歯
After
インプラント埋入後
男性Kさん 50代(インプラント)
主訴
歯がグラグラするところ、むし歯のところ、しみるところ、被せ物がとれたところ、歯茎が腫れて血が出るところ、歯が抜けているところがある。すべて治したい。
治療内容
残っている歯を抜歯し、上下インプラント治療をしました。
所感
歯周病が進行している歯、むし歯が進行している歯がほとんどで、レントゲンを撮り、詳しく診てみると、ほとんどの歯を保存することができないことがわかりました。抜歯後は、入れ歯かインプラントの方法があります。治療開始前に患者さんに詳しく現状を説明し、治療法についてじっくり相談しました。自分の歯と同じような感覚で食事できるインプラント治療を選択されました。治療後、表情がとても明るくなり、口元がとても自然で10歳以上若返ったように感じました。「時間はかかりましたが、インプラントにして本当に良かったです!」と素晴らしい笑顔でお話ししてくださいました。
上顎:¥3,280,000(税込)
下顎:¥3,280,000(税込)
男性Hさん 60代(インプラント)
主訴
右上の犬歯の歯茎が腫れている。
治療内容
歯根が数か所破折していましたので、抜歯せざるを得ませんでした。抜歯後、インプラントを埋入しました。
所感
2020年4月に右上前歯から左上奥歯までのインプラント治療(5本インプラント埋入)をされていましたので、今回も抜歯後、インプラント治療を希望されました。
この症例は、X-Guideを使って埋入しました。理想的なポジションに埋入できています。
インプラント1本:¥363,000(税込)
女性Uさん 60代(インプラント)
主訴
右下の歯がないところにインプラント治療をしてほしい。
治療内容
右下奥歯欠損のところに、インプラントを埋入しました。
所感
2013年3月 右上奥歯に、2019年10月 上の前歯にインプラント治療をし、インプラントの良さを実感しておられましたので、今回も歯のないところの治療にインプラントを選択されました。
この症例は、X-Guideを使っています。理想的なポジションに埋入できています。
インプラント1本:¥363,000(税込)
女性Sさん 60代(インプラント)
主訴
左下が腫れていて、噛むと痛い。
治療内容
左下ブリッジの支台になっている大臼歯が、歯根の破折を起こしていましたので、抜歯しました。奥歯3本欠損のところに、2本インプラントを埋入しました。
所感
奥歯3本歯のないところを補う方法は、インプラント、あるいは取り外しの部分入れ歯、という2つの方法があります。部分入れ歯は支台になっている歯に負担がかかるため、問題が起きた時には、支台になっている歯がダメになり、更に抜歯になる可能性が大きいです。最初は3本の欠損から、4本、5本と歯がないところが拡大してしまいます。また、義歯は異物感が大きく慣れるのが大変で、上下自分の歯どうしで噛む感覚と同じようには噛むことができません。
インプラントは、単独で植立し他の歯に負担がかからなく、自分の歯と同じような感覚で食事が出来ます。患者さんは、インプラント治療を選択されました。治療後、「約半年と時間がかかり、緊張の連続でしたが、丁寧に治療してもらいありがとうございました。今日から両側の歯で噛めるので、安心しました。」と、とても喜んでくださいました。
この症例は、3DナビゲーションシステムのX-ガイドを使って埋入しました。X-ガイドは骨の中の神経や血管の位置をリアルタイムに確認しながら手術が実行できるため、より安全で精度の高いインプラント埋入ができます。
インプラント2本:¥363,000×2本=¥726,000(税込)
ポンティック1本(インプラント間をつなぐ部分):¥115,500(税込)
合計:¥841,500(税込)