なしき歯科医院

患者様の声【オールセラミック】

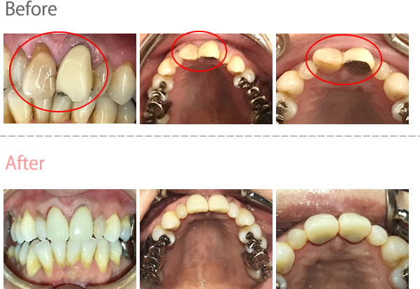
女性Tさん 60代(オールセラミック冠)

主訴

左上の金属を一部分被せた歯が、むし歯になった。

治療内容

一部分被せ物をしていた歯が、被せ物と自分の歯の境目のところでむし歯になっていました。レントゲンを撮りましたところ、根管治療が必要であることがわかりましたので、根管治療をし、ファイバーコアを入れ、オールセラミック冠を被せました。

所感

今まで治療されたところは、すべてノンメタル治療を希望されましたので、今回もオールセラミック冠を被せました。

オールセラミック冠1本:¥104,500(税込)

セラミックインレー

女性Aさん 50代(セラミックインレー)

主訴

左上の銀歯2本を白くしたい。

治療内容

銀歯を取り除き、セラミックインレーをいれました。

所感

患者さんは、お口の中の金属を徐々に取り除くことを希望され、今回は左上の奥歯2本をセラミックに替え、ノンメタルにしました。体全体の健康を考えると正しい選択だと思います。

セラミックインレー2本:¥52,800×2本=¥105,600(税込)

セラミックインレー

男性Mさん 50代(オールセラミック冠)

主訴

スルメを食べたら、歯が折れた。歯を入れて欲しい。

治療内容

レントゲンで調べてみると、根管治療が必要なことがわかりました。根管治療後、メタルフリーの治療を希望されましたので、ファイバーコアを入れ、オールセラミック冠を被せました。

所感

周りの歯と調和して入れることができました。患者さんは、「自分の歯のようだ。」と、喜んでくださいました。

オールセラミック冠1本:¥104,500(税込)

オールセラミック冠

女性Tさん 50代(オールセラミック冠・ホワイトニング)

主訴

上前歯の被せ物が、欠けた。

治療内容

欠けた被せ物は、保険の被せ物で、プラスチックの部分が欠けていました。隣の歯は、神経が取り除かれた歯で、暗い色に変色していました。レントゲンを撮って調べてみますと、歯の中が汚れていることがわかりましたので、欠けた被せ物を取り除き、根管治療をしました。前歯を白くきれいにすることを希望されましたので、ホワイトニングをして、まわりの歯を白くし、その色に合わせて2本にオールセラミック冠を被せました。

所感

治療後「他の歯との色の差もなく、治療していただいて良かったです。これからは、大きく口を開けて笑えるようになれてうれしいです。」と、とても喜んでくださいました。

オールセラミック冠2本:¥104,500×2本=¥209,000(税込)
ホワイトニング:¥33,000(税込)
合計:¥242,000(税込)

オールセラミック冠・ホワイトニング

女性Aさん 50代(オールセラミック冠)

主訴

左下奥歯、1ヶ月ほど前から夜寝られないくらい痛くなり、他院を受診。抜歯と言われているが、他の治療法で対応できるか診て欲しい。

治療内容

レントゲンで調べてみると、抜歯をする必要がないことがわかり、根管治療をしました。痛みは、全くなくなりました。メタルフリーの治療を希望されましたので、ファイバーコアを入れ、オールセラミック冠を被せました。

所感

他院で抜歯をし、インプラント治療を勧められたそうです。確かに抜歯をしたとしたら、その後歯がないところを補う方法としては、インプラント治療が最良だと思います。しかし、この症例は、そもそも抜歯をする必要がない歯でした。うちに来院されて本当に良かったと思います。

オールセラミック冠1本:¥104,500(税込)

オールセラミック冠

女性Sさん 70代(オールセラミック冠)

主訴

左下奥歯が噛むと痛い。

治療内容

レントゲンで調べてみると、左下奥から2本目の歯であることがわかり、根管治療をしました。根管治療をすると症状がなくなりました。患者さんは、メタルフリーの治療を希望されたため、ファイバーコアを入れ、オールセラミック冠を被せました。

所感

以前、他の歯を治療したときに、かぶせ物にノンメタル(ファイバーコア&オールセラミック冠)を選ばれました。その良さを実感していらしたので、今回も同じように、オールセラミック冠を選択されました。

オールセラミック冠1本:¥104,500(税込)

オールセラミック冠

女性Nさん 50代(オールセラミック冠・ホワイトニング)

主訴

上前歯の差し歯とその隣の色が変わっている歯をきれいにしたい。

治療内容

根管治療をし、ファイバーコアを入れ、オールセラミック冠を被せました。患者さんは、歯を白くすることも希望されましたので、ホワイトニング後、白くなった後の自分の歯の色にオールセラミック冠の色を合わせました。

所感

保険の被せ物は変色し、黄色っぽくなっていました。また、その隣の歯は、神経をとる治療後詰め物をしていましたが、歯及び詰め物の色が暗い色に変色していました。また、治療していない自分の歯を現状より白くすることを希望されましたので、ホワイトニングをしてから白くなった自分の歯の色にオールセラミック冠の色を合わせました。治療前、審美性のことをかなり気になっていた様子でしたが、治療後とても気に入ってくださいました。

オールセラミック冠2本:¥104,500×2本=¥209,000(税込)
ホワイトニング:¥33,000(税込)
合計:¥242,000(税込)

オールセラミック冠

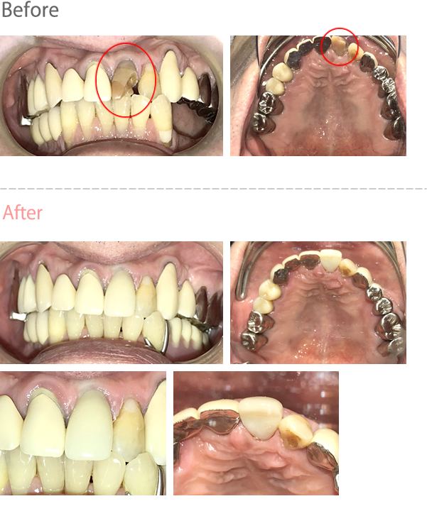
女性Kさん 50代(インプラント・オールセラミック冠)

主訴

前歯差し歯の上に、できものができている。

治療内容

右歯茎が腫れている歯は、破折していることがわかり、抜歯しました。インプラント治療を希望されましたので、1本埋入しました。左の被せ物もノンメタル治療を希望されましたので、ファイバーコアを入れ、オールセラミック冠をかぶせました。

所感

治療後「長期にわたる治療でしたが、丁寧に進めていただき、ありがとうございました。検診、忘れずに来るようにします。」と、建設的なお言葉を頂きました。

インプラント:¥363,000(税込)
オールセラミック冠:¥104,500(税込)
合計:¥467,500(税込)

インプラント・オールセラミック冠

女性Mさん 50代(オールセラミック冠)

主訴

他院で抜歯しかないと言われた歯の治療、可能ならしてほしい。

治療内容

他院で、歯根が割れているので、抜歯してインプラント治療を勧められたそうです。歯科用顕微鏡で見ると、確かに歯根にひびが入っていることが確認できました。しかし、まだ使えると判断し、保存することにしました。根管治療後、メタルフリーの治療を希望されましたので、土台にファイバーコアを入れオールセラミック冠を被せました。

所感

治療後、「抜かずに済んで、本当に良かったです。ありがとうございました。」と、とても喜んでくださいました。

オールセラミック冠1本:¥104,500(税込)

オールセラミック冠

女性Bさん 60代(オールセラミック冠)

主訴

上の前歯をきれいにしたい。

治療内容

前歯4本に保険の被せものがしてありました。被せ物と金属の土台(メタルコア)を取り除き、ファイバーコアをいれ、オールセラミック冠を被せました。

所感

4本の被せ物は、私自身が25年前(平成9年)に治療(保険の治療。金属にプラスチックをくっつけた被せ物)したものです。長い時間を経過し、プラスチックの部分は黄色く変色し、すり減って角が取れた形になっていました。レントゲンで歯の中を確認したところ、25年前に行った根管治療は良好に経過していたため、根管治療の必要はありませんでした。
治療後、「とってもきれいに出来て満足しております。(前は、保険の歯で長年使っており色も形も悪くなっていた)ありがとうございました。」と、とても喜んでくださいました。スタッフ一同、嬉しくなりました。

オールセラミック冠4本:¥104,500×4本=¥418,000(税込)

オールセラミック冠

男性Iさん 70代(オールセラミック冠)

主訴

左上の前歯が欠けた。

治療内容

既に神経のない歯でしたが、根管の中が汚れていましたので、根管治療をしました。メタルフリーの治療を希望されましたので、土台にファイバーコアを入れオールセラミック冠を被せました。

所感

周りの歯とバランスよく入りました。「きれいにはいって良かったです。ありがとうございました。」と、喜んでくださいました。

オールセラミック冠1本:¥104,500(税込)

オールセラミック冠

女性Fさん 70代(オールセラミック冠)

主訴

下の前歯、硬いものが少し当たるだけで痛い。

治療内容

歯根が完全に割れていましたので抜歯しました。抜歯後、歯がないところはオールセラミックのブリッジにしました。

所感

ブリッジの支台になる歯のかみ合わせが、反対咬合になっていましたが、被せ物でかみ合わせを改善することが出来ました。

オールセラミック冠2本:¥104,500×2本=¥209,000(税込)
オールセラミックポンティック:¥93,500×2本=¥187,000(税込)
合計:¥396,000(税込)

オールセラミック冠

女性Tさん 50代(オールセラミック冠)

主訴

下の前歯2本をきれいにしたい。

治療内容

保険の被せ物を取り除き、ファイバーコアを入れオールセラミック冠を被せました。

所感

保険のプラスチックの被せ物が、変色し暗い色になっており、形はすり減って丸みを帯びた形になっていました。患者さんは、まわりの歯と調和した歯にすることを希望されました。完成の前の試適の段階で、技工士さんに一緒に見てもらいました。患者さんのお口の中に実際に装着し、色、形を見てもらい希望されるように仕上げました。治療後、患者さんは「自分の歯のようです。」と、とても喜んでくださいました。

オールセラミック冠2本:¥104,500×2本=¥209,000(税込)

オールセラミック冠

女性Tさん 40代(オールセラミック冠)

主訴

左上の犬歯のつめものがとれた。

治療内容

詰め物がとれただけではなく、大きくむし歯になっていました。隣の歯も大きくむし歯になっていましたので、2本とも神経をとり根管治療をしました。メタルフリーの治療を希望されましたので、土台にファイバーコアを入れオールセラミック冠を被せました。

所感

この患者さんは、2年前に前歯4本をメタルフリーの治療をされ、その良さ、美しさを実感されていましたので、今回もファイバーコア+オールセラミック冠を選択されました。

オールセラミック冠2本:¥104,500×2本=¥209,000(税込)

オールセラミック冠

男性Kさん 70代(オールセラミック冠)

主訴

左上の犬歯の差し歯がとれた。

治療内容

根管治療後、メタルフリーの治療を希望されましたので、土台にファイバーコアを入れオールセラミック冠を被せました。

所感

この患者さんは、8年前にメタルフリーの治療を4本され、その良さを実感されていましたので、今回もファイバーコア+オールセラミック冠を選択されました。

オールセラミック冠:¥104,500(税込)

オールセラミック冠

女性Tさん 50代(オールセラミック冠)

主訴

上の前歯をきれいにしたい。

治療内容

右上の側切歯は、内側に入っていて全く機能していなかったので、患者さんの希望があり抜歯。
3本にオールセラミック冠を被せました。

所感

治療後「昨年の11月から、なしき先生のところで、治療していただきました。小さなむし歯も治してもらい、奥歯もオールセラミックにしてもらい、きれいになり、奥歯で頬っぺたを噛むこともなくなりました。前歯も、むし歯で詰め物でつぎはぎしたようになっていたのを、オールセラミックにしてもらい、きれいになりました。前歯の治療をする前にホワイトニングもして、歯を白くしてまわりの歯に合う白い色にしてもらいました。ありがとうございました。」と、感謝の言葉を頂き、スタッフ一同、とても嬉しかったです。

オールセラミック冠3本:¥104,500×3本=¥313,500(税込)

オールセラミック冠

女性Sさん 40代(オールセラミック冠・オールセラミックブリッジ)

主訴

右前歯が1本抜けている。歯のつけ根のところが黒っぽい。前歯をきれいにしたい。

治療内容

歯がないところは、オールセラミックのブリッジ。他のところは、オールセラミック冠を被せました。

所感

治療後「以前は、表面がザラザラのかぶせ物で、歯も曲って入ったのが気になっていたのが、時間をかけて、ていねいに治して頂き、ありがとうございました。セラミックなので見た目もキレイですごく感謝です。あとは、旦那もお世話になっておりますので、時間がかかると思いますがよろしくお願いいたします。」と、ありがたいお言葉を頂きました。

オールセラミック冠3本:¥104,500×3本=¥313,500 (税込)
オールセラミックブリッジ
オールセラミック冠2本:¥104,500×2本=¥209,000(税込)
ポンティック1本:¥93,500(税込)
合計:¥616,000(税込)

オールセラミック冠

女性Kさん 80代(オールセラミック冠)

主訴

前歯に隙間が空いてきたので、きれいにしたい。

治療内容

前歯2本にオールセラミック冠を被せました。

所感

矯正という考え方もあると思いますが、総合的に考えて、被せ物をして整えることにしました。
治療後「隙間がなくなり、きれいになり、とても良かったです。」と、とても喜んでくださいました。

オールセラミック冠2本:¥104,500×2本=¥209,000 (税込)

オールセラミック冠

男性Mさん 20代(オールセラミック冠)

主訴

転んで顔をうち、歯が折れた。

治療内容

歯が折れて、歯髄が露出していましたので、根管治療をしました。メタルフリーの治療を希望されましたので、オールセラミックを被せました。

所感

転んで強い力がかかり、今まで全く治療したことがなかった健康な歯が、折れていました。抜歯にならず、なんとか助けることが出来てよかったです。

オールセラミック冠1本:¥104,500(税込)

オールセラミック冠

男性Y さん 40代(インプラント・オールセラミック冠)

主訴

左上のブリッジがとれて、歯茎が腫れている。右上のブリッジも取れている。むし歯もあるので治療したい。

治療内容

左上の腫れているところは、歯根が破折していたため保存できず抜歯しました。 左上一番奥の大きくむし歯になっていた親知らずは、機能していないので抜歯しました。左右ブリッジがとれたところは、一本ずつそれぞれ治療しオールセラミック冠を被せ、歯がないところは、インプラントで対応することにしました。

所感

治療後「しばらく奥歯で思う存分噛むことが出来ませんでした。食事がおいしく食べられるようになり、とても嬉しいです。」と、とても喜んでくださいました。

インプラント4本:¥280,000×4=¥1,120,000(税別)
ポンティック1本:(インプラント間をつなぐもの):¥65,000(税別)
オールセラミック冠5本:¥80,000×5本=¥400,000(税別)
合計:¥1,585,000(税別)

治療前治療後

« »
callTEL
calendar_monthネット予約
mailメール相談