なしき歯科医院

患者様の声【オールセラミック】

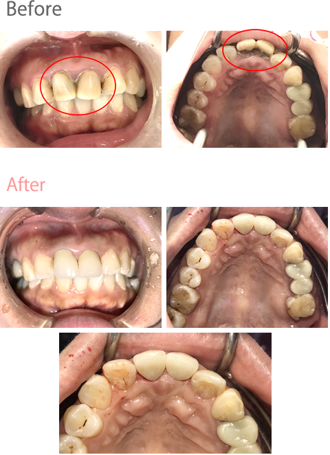
女性Sさん 30代(オールセラミック冠)

主訴

上の前歯をきれいにしたい。

治療内容

現在の被せ物(保険の被せ物)を取り除き、根管治療をし、オールセラミック冠を被せました。

所感

治療後「今まで、人と話す時、上の前歯がどうしても気になり、無意識のうちに口元に手が行って前歯をかくすようにしていました。きれいな歯が入り、人前で自信が持てます。とても嬉しいです。」と、本当に喜んでくださいました。
口元に自信を持ち、積極的、主体的な人生を歩んでほしいです!

オールセラミック冠(ファイバーコアの土台付き)2本: ¥80,000×2本=¥160,000(税別)

オールセラミック冠

女性Yさん 70代(オールセラミック冠)

主訴

上前歯2本の被せものが古くなったので、きれいにしたい。

治療内容

被せものを取り除き、根管治療をしました。メタルフリーの治療を希望されましたので、オールセラミック冠を被せました。

所感

「とてもきれいな歯になり、嬉しいです。最初は不安でしたが、出来上がり良かったと思っています。先生スタッフの皆さん、ありがとうございました。」と、とても喜んでくださいました。

オールセラミック冠2本: ¥80,000×2本=¥160,000(税別)

オールセラミック冠

女性Aさん 60代(オールセラミック冠)

主訴

上前歯2本をきれいにしたい

治療内容

現在の被せものを取り除き、根管治療をしました。メタルフリーの治療を希望されましたので、オールセラミック冠を被せました。

所感

「気にしていた前歯が、きれいになってとても嬉しいです。」と明るい表情でした。

オールセラミック冠: ¥80,000×2本=¥160,000(税別)

オールセラミック冠

女性Sさん 50代(セラミック冠)

主訴

右上の銀歯をメタルフリーの歯にして欲しい

治療内容

患者さんは、メタルフリーの治療を希望されましたので、銀歯を取り除きセラミック治療をしました。

所感

初診時、銀歯が多数ありましたが、メタルフリーの治療を希望されました。徐々に取り除き、セラミック治療をしました。金属を使わない治療が、ながい目で見ると体全体の健康のことを考えると、とても良いことだと思います。

セラミック冠: ¥80,000(税別)

オールセラミック冠

女性Sさん 50代(オールセラミック冠)

主訴

左上の銀歯のブリッジを、金属を使わない被せものにして欲しい

治療内容

患者さんは、ノンメタル治療を希望されましたので、金属を取り除きセラミックのブリッジにしました。

所感

患者さんは、お口の中の金属を徐々に取り除いていくことを希望されました。体全体のことを考えると、とても良い事です。

オールセラミック冠(ファイバーコアなし):¥75,000×2=¥150,000(税別)
オールセラミックのポンティック:¥75,000(税別)
合計 ¥225,000(税別)

オールセラミック冠

男性Tさん 80代(オールセラミック冠)

主訴

左上の歯茎が腫れて、噛むと痛い

治療内容

左上奥2本が、根の先端で問題を起こし、歯肉が腫れていましたので、根管治療をしました。患者さんは、メタルフリーの治療を希望されましたので、オールセラミック冠を被せました。

所感

根管治療をしたところ、歯肉の腫れは、きれいになくなりました。お口の中には、まだ金属冠がありました。体全体の健康のことを考えると、徐々に金属を取り除いた方が良いことをお話ししました。

オールセラミック冠2本:¥80,000×2本=¥160,000(税別)

オールセラミック冠

女性Aさん 30代(オールセラミック冠)

主訴

上の前歯の隙間が、大きくなってきている

治療内容

上前歯の2本に被せものをして見た目を改善しました。患者さんは、メタルフリーの治療を希望されましたので、オールセラミックの治療をしました。

所感

上前歯が少しずつ移動し、隙間が以前より大きくなっていました。1番いい方法は、矯正により歯並びを整えることを、説明しました。患者さんは、被せものによる見た目の改善を希望されたため、2本にオールセラミックを被せ、歯の移動を予防するために、2本を連結し一体とした被せものにしました。治療後、患者さんは、「治療前は、どんな風に出来上がるのか、すごく不安でしたが、満足のいく歯にしてもらえて、良かったです。ありがとうございました。」と、とても喜んでくださいました。

オールセラミック冠2本:¥80,000×2本=¥160,000(税別)

オールセラミック冠

女性Kさん 30代(セラミックインレー)

主訴

銀歯のところをセラミックにしたい

治療内容

金属インレーを取り除き、セラミックインレーを装着しました。

所感

患者さんは、最近金属のピアスをつけたら、耳たぶが赤く大きく腫れたそうです。「皮膚科に行って検査をしてもらったら、歯科の保険で使われている金属にアレルギー反応が陽性に出ました。心配なので口の中の金属を取り除きたい。」という事で、来院されました。金属のアクセサリーにアレルギー反応がある方は、積極的にお口の中の金属を取り除くことは大正解だと思います。
治療後、「今回入れた物は、見た目きれいで違和感なく大満足です。先生や衛生士さんも優しくて、安心して口を開けていられました。ありがとうございました。」というお話を頂き、自分も含めてスタッフ一同、とても嬉しくなりました。

セラミックインレー3本:¥45,000×3本=¥135,000(税別)

オールセラミック冠

女性Kさん 50代(オールセラミック冠)

主訴

金属アレルギーかもしれないので、相談したい。

治療内容

掌蹠膿疱症で約10年程悩まされていたそうです。皮膚科に通院していたものの、改善されず、皮膚科の先生に「もしかすると口の中の金属が原因かもしれない。」とアドバイスされ、来院されました。口腔内には、多数の金属がありました。原因と考えられるものを取り除くことが第一と考え、ひとつずつ金属を使わない材料で治療しなおしました。

所感

口腔内の金属を徐々に取り除いて約半年が経過したころより、少しずつ皮膚の症状の改善が見られはじめたそうです。今年(2019年)に入り、更に改善が見られ、「歯科通院中も皮膚科にも通っていたが、歯科に通院する前は、皮膚科で出された薬では良くならなかったので、今あらためて考えると、やはり口腔内の金属が原因ではなかったのかなぁ…。」と、とても明るい表情でお話ししてくださいました。皮膚科に行ってもなかなか治らない皮膚症状のすべてが口の中の金属であるとは考えませんが、金属のアクセサリーをつけてかゆみ赤みなどが出る方、なかなか治らない皮膚症状がある方は、原因の一つと考えられるお口の中の金属を取り除いた方が良いことは、確かだと思います。

オールセラミック冠14本:¥80,000×14本=¥1,120,000(税別)

オールセラミック冠

女性Nさん 60代(オールセラミック冠)

主訴

右上の被せものをしているところが、むし歯になり食べものがはさまるので、治したい。

治療内容

右上、ブリッジになっているところが、被せものの境目のところから大きくむし歯になっていました。大きなむし歯でしたので根管治療をしました。患者さんは、メタルフリーの治療を希望されましたので、オールセラミックのブリッジにしました。

所感

ブリッジの支台になっている後方の歯が大きなむし歯でしたが、根管治療をし、残すことが出来ました。よかったです。もう少し時間がたっていたら、使えない歯(抜歯)になっていたかもしれません。お口の中には、銀歯がまだありました。体全体の健康のことを考えると、徐々に取り除きメタルフリーにしていく方が良いことを、ご説明しました。

オールセラミック冠1本(根管治療をした歯):¥80,000×1本=¥80,000(税別)
オールセラミック冠1本(神経のある歯、ファイバーコアなし):¥75,000(税別)
オールセラミックポンティック1本:¥75,000(税別)
合計:¥230,000(税別)

オールセラミック冠

女性Tさん 30代(オールセラミック冠)

主訴

前歯をきれいにしたいということで来院されました。

治療内容

前歯(2本)の保険の被せものが、まわりの歯と比べてバランスが悪い(大きすぎる上に、色も不自然な)ことと、隣の2本の歯の、詰めものの変色に悩んでおられました。
虫歯にもなっていたので、被せものを取り除き、4本すべて根管治療をして、オールセラミック冠を被せました。

所感

完成前の試適の段階で、患者さんのお口の中に装着して見て頂き、技工士さんを交えて3者(患者さん、私、技工士さん)で検討し、患者さんの納得のいく形状と色で、完成形のかぶせ物を作成しました。患者さんは、「きれいになり、嬉しいです!」と、とても満足してくださいました。

保険での治療には制約と限界があり、形、大きさ、色にあまり細かい指定ができません。また、再治療のたびにご自身の歯(天然歯)が削られて小さくなっていきます。特に前歯は目立ちますので、最初の治療のときにセラミックを選択しておいた方が、高い満足度で長くご使用いただけるケースが多いと感じています。

オールセラミック冠4本:¥80,000×4本=¥320,000(税別)

オールセラミック冠

女性Tさん 40代(オールセラミック冠)

主訴

右上の被せものをしているところが、むし歯になり食べものがはさまるのでので、治したい。

治療内容

右下の歯が、根の先で問題を起こし、かつ歯周病でもありました。根管治療と歯周病治療をしました。
患者さんは、メタルフリーの治療を希望されましたので、ファイバーコアをいれオールセラミック冠を被せました。

所感

他院で抜歯を宣告された歯でした。根管治療と歯周病治療をすると腫れはなくなり残せると判断しました。歯のまわりの清掃の仕方をしっかり指導しました。患者さんは、丁寧に実践してくれています。

オールセラミック冠:¥86,400×1本=¥86,400

オールセラミック冠

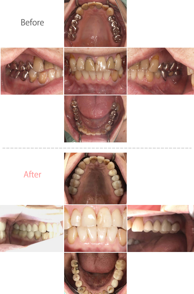
男性Tさん 40代(オールセラミック冠)

主訴

掌蹠膿疱症(しょうせきのうほうしょう)なので、口の中の金属を取り除きたい。

治療内容

金属冠のところは、根管治療をし、オールセラミック冠を、金属の詰め物のところは、金属を取り除きオールセラミックインレーをいれました。

所感

患者さんは、掌蹠膿疱症でお困りで、「原因の一つかもしれない口の中の金属を取り除きたい。」という事で来院されました。患者さんは、初診時手と足に皮膚症状、また関節炎もあるとの事でした。治療終了後、「皮膚の状態は、初診時に比べると良くなっているが、金属を取り除きセラミックにしたために良くなったかどうかはわからない。また、関節炎はあまり変化はなく、良くはなっていない。」という事でした。口の中で溶け出している金属が体にとりこまれるのをなくし、体にすでに蓄積、残留している金属が徐々に体外へ排出され、掌蹠膿疱症の症状が、緩解されていくことを期待したいです。

オールセラミック冠:¥86,400×8本=¥691,200
オールセラミックインレー:¥48,000×1本=¥48,000
合計:¥739,200

オールセラミック冠 オールセラミックインレー

男性Kさん 40代(オールセラミック冠)

主訴

右上前歯、10年くらい前にセラミックを被せたものが、かけてしまった。

治療内容

現在被せているものを取り除き、新たにオールセラミック冠を被せました。

所感

この患者さんは、強い歯ぎしりがあり、セラミックの薄いところで壊れていました。セラミックに厚みがとれるように削り直し、新たにオールセラミック冠を被せなおしました。同時に歯ぎしりから歯を護ることを目的に、マウスピースを作り、就寝中使用してもらうことにしました。患者さんは、色も形も気に入ってくれて、とても満足していただきました。

オールセラミック冠:¥86,400

オールセラミック冠

女性Oさん 60代(オールセラミック冠)

主訴

金属を使った被せもののところをセラミックにしたい。 

治療内容

患者さんは、金属の被せものをすべてメタルフリーにすることを希望されました。すでに神経のない歯は、根管治療をしファイバーコアを入れオールセラミック冠を、神経がある歯は、神経を温存しオールセラミック冠あるいは一部分をかぶせるオールセラミックインレーにしました。

所感

お口の中の金属を減らしていくことは、体全体の健康のことを考えると、とても良いことです。
現在お口の中に保険の銀歯がある方は、じょじょに取り除いた方がいいと思います。

オールセラミック冠(ファイバーコアあり):¥86,400×10本=¥864,000
オールセラミック冠(ファイバーコアなし):¥81,000×3本=¥243,000
オールセラミックインレー:¥48,000×2本=¥96,000
合計:¥1,203,000

オールセラミック冠

女性Hさん 50代(オールセラミック冠)

主訴

上の前歯の歯肉が、腫れている。

治療内容

根尖に病巣がありましたので,根管治療をしました。歯肉の腫れは、きれいになくなりました。患者さんは、メタルフリーの治療を希望されました。ファイバーコアをいれ、オールセラミック冠を被せました。

所感

根管治療後、歯肉の腫れはきれいになくなりました。
(治療費 ¥86,400)

女性Sさん 20代(オールセラミック冠)

主訴

左上の奥の歯が痛い。

治療内容

左上の第一大臼歯に痛みがありました。すでに神経のない歯でしたが、歯根のなかで問題が起きていましたので、銀歯を取り除き、根管治療をしました。患者さんは、メタルフリーの治療を希望されましたので、ファイバーコアを入れ、オールセラミック冠を被せました。

所感

この歯は、治療前、銀歯が被さっていました。患者さんは、「銀歯がずっと気になっていました。新しい被せものは、自然でまるで自分の歯のようです。金属を使わない治療にしてよかったです。」と、喜んでくださいました。体全体の健康を考えると、徐々に金属をなくしていくことは、正しいと思います。下顎の方にも銀歯がありましたので、徐々にメタルフリーにしていくことを、お勧めしました。
(治療費 ¥86,400)

オールセラミック冠

オールセラミック冠

女性Oさん 40代(オールセラミック冠)

主訴

右上前歯が、冷たいものに凄くしみる。

治療内容

以前白い詰め物をしていました。詰め物と自分の歯との境目からむし歯になっていました(2次カリエス)。むし歯が深く神経まで到達していましたので、神経をとり、根管治療をしました。患者さんは、メタルフリーの治療を希望されましたので、ファイバーコアを入れ、オールセラミック冠を被せました。

所感

治療をした両隣の歯が、ご自分の天然歯でしたので、色調を合わせるのが難しかったのですが、まわりの歯とバランスよくはいり、患者さんは「自分の歯のようだ。」と、とても満足していただきました。
(治療費 ¥86,400)

オールセラミック冠

女性Iさん 30代(オールセラミック冠)

主訴

右前歯2本の被せものが欠けたりすり減ったりして気になるので、新しく被せなおしたい。

治療内容

古い被せものを取り除き、根管治療をし直しました。患者さんは、メタルフリーの治療を希望されましたので、ファイバーコアをいれオールセラミックの被せものをしました。 

所感

右の犬歯がないので、バランスをとるのがむずかしかったです。完成前、試適の段階で患者さんと技工士さんと私とでよく相談し、形や色を修正しました。患者さんは、とても満足してくださいました。
(¥86,400×2本)合計¥172,800

治療前治療後

女性Sさん 20代(オールセラミック冠)

主訴

左前歯の被せものの色が変わり、すり減ったので、新しく被せなおしたい。

治療内容

古い被せものを取り除き、根管治療をし直しました。患者さんは、メタルフリーの治療を希望されましたので、ファイバーコアをいれオールセラミックの被せものをしました。 

所感

以前は、色の変わってしまった被せものが気になり、歯を出して笑うのが嫌だったそうです。治療後は人前でも大きなお口を開けて笑えるようになったそうです。本当に治療してよかったと思いました。
(治療費 ¥86,400)

治療前治療後

«
« »
callTEL
calendar_monthネット予約
mailメール相談