なしき歯科医院

患者様の声【オールセラミック】

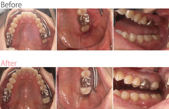
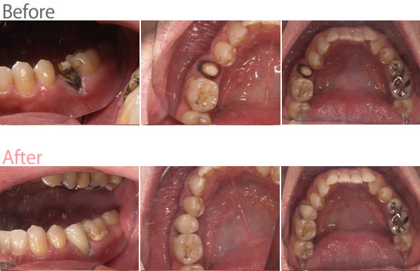
女性Uさん 30代(オールセラミック冠)

主訴

右下の銀歯がとれた。むし歯になっているので、治したい。

治療内容

保険の銀歯(金属のインレー)がはいっていましたが、歯と詰め物の隙間からむし歯(2次カリエス)になっていました。むし歯のところが大きく、一部分を詰め物にする治療では、間に合わないので、被せものをすることになりました。すでに神経はありませんでしたが、根が汚れていましたので根の治療をし、オールセラミック冠をいれました。

所感

お口の中には、数か所銀歯がはいっていました。患者さんは、徐々に金属を減らしていくことを希望されています。長い目で見ると、お口の中をメタルフリーにしていくことは、体全体の健康にとって大切なことだと思います。
(治療費 ¥86,400)

治療前治療後

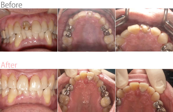
女性Nさん 40代(オールセラミックのブリッジ)

主訴

上の前歯をきれいにしたい。

治療内容

ブリッジのところを取り除き、仮の歯をいれました。ブリッジの支台になっている歯をそれぞれ根の治療をし、オールセラミックのブリッジにしました。

所感

保険のブリッジがはいっていましたが、変色して黄色っぽくなり、プラスチックの表面が摩耗していました。歯並びも気にしておられましたが、周りの歯とバランスよく入れることができました。とても気に入ってくださいました。
(オールセラミック2本¥86,400×2本=¥172,800
オールセラミックポンティック1本¥81,000)合計¥253,800

治療前治療後

男性Tさん 70代(オールセラミック冠)

主訴

右上の前歯が折れた。

治療内容

すでに神経がない歯で、歯の裏側に詰め物がしてありました。神経のない歯は、脆くなっているため、ちょっと固いものを噛んだ時に、折れてしまったそうです。根の治療をし、オールセラミック冠を被せました。

所感

周りの歯ととてもバランス良く自然な感じで、いれることができました。患者さんは、とても気に入ってくださいました。
(治療費 ¥86,400)

治療前治療後

女性Sさん 50代(オールセラミック冠)

主訴

右上の銀歯を治したい

治療内容

すでに神経がない歯で、銀歯に白いプラスチックをくっつけた被せものがしてありました。プラスチックの部分が壊れてとれて、金属がむきだしになっていました。根の治療をし、オールセラミック冠を被せました。

所感

周りの歯ととてもバランス良くいれることができました。患者さんは、とても気に入ってくださいました。小臼歯は犬歯の後ろの歯で笑ったときによく見えます。オールセラミックにして、とても自然な感じになりました。
(治療費 ¥86,400)

治療前治療後

男性Iさん 50代(オールセラミック冠)

主訴

右上前歯が折れた。

治療内容

すでに神経がない歯で、詰め物がしてありました。神経がない歯は、脆(もろ)くなります。ちょっと固いものを噛んだら、折れたそうです。根の治療をし、オールセラミック冠を被せました。

所感

周りの歯とバランス良くいれることができました。患者さんは、とても気に入ってくださいました。
(治療費 ¥86,400)

治療前治療後

女性Oさん 50代(オールセラミック冠)

主訴

右上前歯のむし歯が痛い

治療内容

むし歯が深く神経まで到達していましたので、神経をとり歯の根の治療をし、オールセラミック冠を被せました。

所感

歯並びがわるく、むずかしかったのですが、周りの歯とバランス良くいれることができました。患者さんは、とても気に入ってくださいました。
(治療費 ¥86,400)

治療前治療後

女性Tさん 20代(オールセラミック冠)

主訴

左上の銀歯をセラミックにしたい。

治療内容

銀歯とメタルコア(金属の土台)を取り除き、ファイバーコアをいれ、オールセラミック冠を被せました。

所感

銀歯が溶け出し、歯肉に滲(し)みこみメタルタトゥー(歯ぐきの黒いしみ)ができていました。身体のことを考えると、メタルフリーの治療を選択したほうがよさそうです。
(治療費 ¥86,400)

治療前治療後

女性Fさん 50代(オールセラミック冠)

主訴

右下の奥歯の銀歯の歯茎が、腫れている。

治療内容

歯根の先端に病巣がありましたので、根管治療をしました。メタルフリーの治療を希望されましたので、ファイバーコアをいれ、オールッセラミック冠を被せました。

所感

根管治療をすると、腫れはきれいに治りました。また、歯根には、亀裂がはいっていましたので、接着剤(スーパーボンド)により、封鎖しました。歯根の破折の程度にもよりますが、この歯は、抜歯から救えたと思います。
(治療費 ¥86,400)

治療前治療後

女性Sさん 20代(オールセラミック冠)

主訴

右上の奥歯が夜寝る前に痛い。冷たいもの、熱いものにもしみる。

治療内容

神経に達する大きな虫歯でした。神経をとる治療をし、メタルフリーの治療を希望されましたので、オールセラミック冠を被せました。

所感

右上の1番奥の歯でしたので、お口を開いているのが大変だったと思いますが、よく頑張ってくれました。オールセラミック冠をとても気に入ってくれて、本当に良かったです。
(治療費 ¥86,400)

治療前治療後

女性Kさん 70代(オールセラミック冠)

主訴

上の前歯が変色しているので、きれいに治したい。

治療内容

前歯3本の間にすき間があり、以前の治療では、そのすき間を詰め物で埋めていました。しかし、詰め物が変色し、かつ、むし歯になっていましたので、オールセラミック冠をかぶせて見た目をバランスよく回復しました。

所感

歯と歯の間のすき間が大きく、詰め物の治療では無理があり、被せ物の治療で正解だったと思います。患者さんは、とても満足し、喜んで下さいました。
(¥86,400×3本)合計¥259,200

治療前治療後

女性Sさん 50代(オールセラミック冠)

主訴

下の前歯の被せ物のところの歯肉が、腫れている。

治療内容

歯の中が汚れていて、根の先端に病巣がありましたので、根管治療をしました。メタルフリーの治療を希望されましたので、オールセラミック冠を被せました。

所感

丁寧に根管治療をすることにより、腫れはきれいになくなりました。
下の前歯は歯並びがデコボコでしたが、バランスよくはいりました。
(治療費 ¥86,400)

治療前治療後

女性Tさん 40代(オールセラミック冠)

主訴

右上の被せ物が、壊れた。

治療内容

レントゲンを診ると、特に歯根に問題がありませんでした。金属の土台がはいっていましたので、それを取り除き、ファイバーコア(グラスファイバーと合成樹脂性の土台)をいれ、オールセラミック冠を被せました。

所感

以前は、保険のプラスチック性の被せ物がはいっていましたが、壊れて取れてしまいました。保険の白い被せ物は、使っている間にすり減りますし、だんだん暗い色に変化しますし、機械的強度が弱いのでこなごなに壊れることがあります。患者さんは、メタルフリーの治療を希望されました。現時点被せ物の治療では、ファイバーコアをいれ、オールセラミック冠を被せるのが、1番体にとって自然だと思います。
(治療費 ¥86,400)

治療前治療後

女性Sさん 50代(オールセラミック冠)

主訴

左下の詰め物が、欠けてむし歯になったので、治療したい。

治療内容

詰め物のアマルガムが、欠けてむし歯になっていました。すでに神経のない歯でしたが、歯の中が汚れていましたので根管治療をし、オールセラミック冠を被せました。

所感

今では使われることのないアマルガムが、詰められていました。アマルガムは、体にはよくない重金属の水銀が含まれている材料ですので、取り除くいい機会でした。
(治療費 ¥86,400)

治療前治療後

女性Yさん 30代(オールセラミック冠)

主訴

右上の1番奥が痛い。

治療内容

むし歯が深かったため、神経をとる治療をし、オールセラミック冠を被せました。

所感

患者さんは、メタルフリーの治療を希望されたため、オールセラミック冠を被せました。徐々にお口の中の金属を減らしていきたいそうです。とても良いことだと思います。
(治療費 ¥86,400)

治療前治療後

女性Hさん 30代(オールセラミック冠)

主訴

右下の奥歯の銀歯がとれた。

治療内容

レントゲンを撮ると根の先端に病巣がありましたので、根管治療しました。患者さんはメタルフリーの治療を希望されましたので、オールセラミック冠を被せました。

所感

新たに1つ見つかった根の治療期間が短かったことを心配しておられますが、比較的容易な根管治療でしたので、すぐに終わりました。         
患者さんは、金属の味を感じられる方ですので、徐々に銀歯を取り除きメタルフリーにした方が、体には良さそうです 。
(治療費 ¥86,400)

治療前治療後

男性Tさん 50代(オールセラミック冠)

主訴

被せているものと自分の歯との間に隙間があいているので、被せ直したい被せているものと自分の歯との間に隙間があいているので、被せ直したい。

治療内容

不適合な被せ物がはいっていました。レントゲンを撮りますと、根尖病巣がありましたので、被せ物をはずし根管治療後、オールセラミック冠を被せました。

所感

根尖病巣により歯肉が腫れていましたが、根管治療後きれいに腫れはなくなりました。
(治療費 ¥86,400)

治療前治療後

女性Kさん 20代(オールセラミック冠)

主訴

左上の歯が噛んだり、舌で触ったりすると痛みがある。

治療内容

むし歯が深く神経まで達していましたので、神経をとる治療をし、オールセラミック冠を被せました。

所感

とてもバランスよくきれいに入りました。
治療中は、お口が小さいので大変だったようです。
(治療費 ¥86,400)

治療前治療後

女性Mさん 60代(オールセラミック冠)

主訴

左下の歯がガムを食べたら欠けた。

治療内容

むし歯が深く神経まで達していましたので、神経をとる治療をし、オールセラミック冠を被せました。

所感

とてもバランスよくきれいに入りました。
(治療費 ¥86,400)

治療前治療後

男性Kさん 30代(オールセラミック冠)

主訴

右上の前歯が食事の時やさわると痛い。(10年前に神経をとっている)。

治療内容

歯の中が汚れていましたので、根管治療をし、オールセラミック冠を被せました。

所感

とてもバランスよく入り、患者さんには、とても満足していただきました。ほんとうに良かったです。
(治療費 ¥86,400)

治療前治療後

女性Yさん 60代(オールセラミックのブリッジ)

主訴

左前歯のさし歯のブリッジがとれた。

治療内容

歯の中が汚れていましたので、根管治療をし、オールセラミックのブリッジを被せて治しました。

所感

とてもバランスよく入り、患者さんには、とても満足していただき、歯を大切にしたいいう気持ちが」芽生えたようです。
(オールセラミック冠3本¥86,400×3本=¥259,200 オールセラミックポンティック1本¥81,000)合計¥340,200

治療前治療後

«
« »
callTEL
calendar_monthネット予約
mailメール相談