これまで他院で治療を受けられてきた40台前半の男性Yさんが、初めて当院に来院されました。
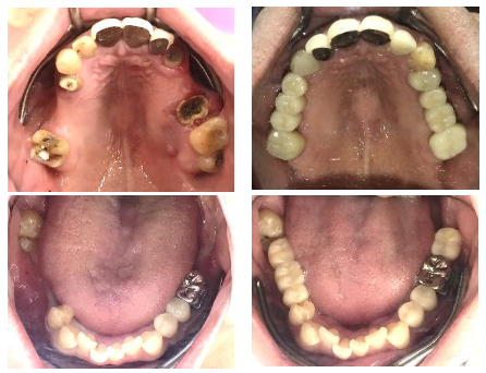
- 左上奥歯のブリッジが1ヵ月前にとれてしまった!
- 右上奥歯のブリッジが半年前にとれたが、そのままにしている!
- 右下の奥歯に部分入れ歯を入れたが、合わなくて使えなかった!
…と、いろいろな問題を抱えてお困りのご様子でした。奥歯が使えないと、前歯に負担がかかるので、このまま放置すると、次にダメになるのは上の前歯です。見た目にも、かなりの影響が出てしまいます。
お口の中を精査したところ、顎の骨がしっかりしていて、残せそうな歯も多くありました。40代という若い年齢も考えて、「残っている歯に負担をかけないインプラント」をYさんにご提案しました。

インプラントは、噛み心地がご自身の歯に近く、残っている歯も長持ちします。オペ(手術)をしますが、抜歯と同程度のリスクと言われており、全身疾患のない方であればまず安心です。Yさんにも詳しくご説明させていただき、インプラントを行なうことになりました。
治療後Yさんから、「初めてのインプラントで不安もありましたが、ていねいに説明していただいたおかげで、不安もなくなり、また、痛みもほとんどなく、治療を終えていただいたので、とても感謝しています。治療後も快適に過ごせているので、本当にやって良かったと思っています。ありがとうございました。」という、とてもありがたいお言葉をいただきました。Yさんはまだまだお若く、人生100年時代、これから約60年の人生がある事を考えると、インプラントの選択が正解だったと思います。

歯を治すこと、歯が良くなることで、患者さんが生活しやすくなり、お口元に自信を持てるようになる、人生が楽しくなる。…そのお手伝いができることが、私たちにとってのこの上ない喜びです。インプラントに限らず、お口の中で気になるところがある方、必ずいい方法が見つかりますので、どうぞお気軽にご相談ください!
(なしき歯科医院新聞 2021年5月号より)