Kさん(70歳台)が、4ヶ月ごとの定期検診に来院されました。Kさんは12年前にインプラント治療を受け、それ以後、定期的なメンテナンスに一度も欠かさず来院されている、とてもまじめな方です。特に歯のトラブルもなく過ごしておられたのですが、約1年前に来院された際、右上の歯ぐきに「おできのような腫れ」がありました。レントゲンを撮って調べると、2本の歯の根が割れていました。

咬合力が強い方なので、日常的な歯の噛みしめ癖や歯ぎしりの強さに、歯が負けてしまったのだと思います。歯ぎしりの影響か、12年前にインプラントを入れた前歯(ハイブリッドセラミック)も、かなり摩耗して形が変わっています。

もし、今回の歯の割れ方が小さければ、破折しているところだけ取り除いて、残った部分を補強して使うこともできます。ですが、残念ながら2本とも真っ二つに割れていたので、抜歯せざるを得ませんでした。
状況をKさんにご説明し、抜歯後、歯が2本なくなるところの治療法[…小さな部分入れ歯を作るか、インプラントを入れる]を相談したところ、Kさんはインプラント治療を希望されました。12年間インプラントを使ってこられて、その良さを実感されているご様子でした。
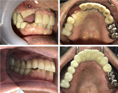
通常は、2本歯がなくなったところには2本のインプラントを入れますが、摩耗して形が変わってしまった歯もきれいにするために、「インプラントは1本だけ埋入して、以前のインプラントとつなげることで強度を保ちつつ、全体をきれいにする」ことになりました。インプラントが1本で済むので、約25万円ほど患者様のご負担額が少なくなります。
後日来院された際に、「すぐに新しいかぶせ物に慣れて、普通に食事をしています。」とのことでした。かぶせ物にはより丈夫なジルコニアを使用したので、摩耗もかなり防げると思いますが、歯とインプラントを守るために、就寝時用のマウスピースを使っていただくことになりました。
歯がなくなったところを補うには、部分入れ歯、ブリッジ、インプラントの3つの治療法があります。部分入れ歯とブリッジは支える歯に負担がかかるので、さらに歯を失って歯がない部分が増えていく可能性が高くなります。インプラントは単独で咬む力を担うので、ほかの歯に負担をかけず、自分の歯とほぼ同じ感覚で食事することができます。
どの治療法を選ばれても、患者さんが口元に自信をもって下さり、積極的に行動し、人生を楽しむお手伝いをすることが私の使命です。お口の中に気になるところがある方、歯を失い困っている方、入れ歯が合わない方、ブリッジが最近ゆらゆら動くように感じる方、どうぞお気軽にご相談ください!
(なしき歯科医院新聞 2024年10月号より)