患者様の声【スマートデンチャー】
- なしき歯科医院TOP
- » 患者様の声【スマートデンチャー】
女性Dさん 70代 (スマートデンチャー)
主訴
上前歯のブリッジが動く。
治療内容
ブリッジの支台になっていた2本のうち1本が保存不能のため抜歯しました。抜歯後3本欠損のところにスマートデンチャーをいれました。
所感
前歯2本欠損のところに固定制のブリッジが入っていましたが、1本の支台歯は歯根のまわりの骨がほとんどなくなっていましたので、保存することができませんでした。抜歯後3本欠損のところを補う方法は、部分入れ歯、再度ブリッジ、インプラントがあります。この症例の場合、ブリッジは早期に支台になる歯がダメになる可能性が高かったので、再度ブリッジはお勧めしませんでした。患者さんは、部分入れ歯のうちの金属のバネがないスマートデンチャーを選択されました。
スマートデンチャー:¥92,400(税込)
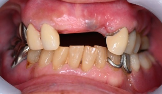
Before

赤丸は抜歯しました
【抜歯後】

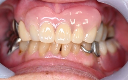
After

【スマートデンチャー】
女性Tさん 60代 (スマートデンチャー)
主訴
下の義歯が合わなくなったので、新しく作りたい。
治療内容
スマートデンチャーを入れました。
所感
金属のバネがない入れ歯を希望されましたので、スマートデンチャーを入れました。以前(2023年8月)に上に入れ歯を作ったとき、スマートデンチャーを入れました。今回もこれを選択されました。治療後「笑った時に金属のバネが見えないので、とてもうれしいです。」と、喜んでくださいました。
スマートデンチャー:¥322,000(税込)
Before
【義歯を外したところ】
After
【義歯を装着したところ】
【スマートデンチャー】
女性Tさん 60代 (スマートデンチャー)
主訴
上の歯がないところに入れ歯をいれたい。
治療内容
スマートデンチャーをいれました。
所感
金属のバネがない入れ歯を希望されましたので、スマートデンチャーをいれました。以前使っていた義歯を紛失してしまったので、新義歯作成を希望されました。治療後「笑った時に金属のバネが見えないので、とてもうれしいです。」と、喜んでくださいました。
スマートデンチャー:¥322,000(税込)
Before
【義歯を外したところ】
After
【義歯を装着したところ】
【スマートデンチャー】
女性Kさん 60代 (スマートデンチャー)
主訴
上前歯の被せ物がとれて、歯茎が腫れている。
治療内容
歯根が破折していましたので、抜歯しました。抜歯後、金属のバネが見えない入れ歯を希望されましたので、スマートデンチャーをいれました。腫れている歯の隣、ブリッジになっているところの歯のつけ根のところが茶色くなっているのできれいにしたいというお話でしたので、ブリッジを取り除き新しいものを被せなおしました。
所感
治療後「口元がきれいになり、とても嬉しいです。」と、とても喜んでくださいました。
スマートデンチャー:¥92,400(税込)

女性Hさん 70代 (スマートデンチャー)
主訴
下の歯がないところに入れ歯をいれたい。
治療内容
スマートデンチャーをいれました。
所感
金属のバネがない入れ歯を希望されましたので、スマートデンチャーをいれました。以前使っていた義歯は、合わなくなったので、新義歯作成を希望されました。治療後「金属のバネが見えないので、とても自然でいいです。」と、喜んでくださいました。
スマートデンチャー:¥322,000(税込)

女性Tさん 60代 (スマートデンチャー)
主訴
下の歯がないところに入れ歯をいれたい。
治療内容
スマートデンチャーをいれました。2本の残根状態の歯を利用し、マグネットを組み込みました。
所感
金属のバネがない入れ歯を希望されましたので、スマートデンチャーをいれました。2本の残根状態の歯は、入れ歯の支台として使うには、負担が重すぎると判断しマグネットのキーパーに利用しました。マグネット義歯は、非常に安定がいい義歯です。義歯の鉤歯(支えになる歯)として使うには不安がある時には、その歯を効果的に使うことができるとても良い方法だと考えます。
治療終了後、「昨年まで、保険の義歯を使用していましたが、今回、上下ともにスマートデンチャーに替えたことで、今まで食べられなかったものを食べられるようになったり、マグネットがあることで、はずれる事もなく、見た目もきれいで、とても満足しております。特に下義歯のバネの部分が金具ではない為、入れ歯とは思えないほど美しい出来上がりです。スマートデンチャーを提案していただきありがとうございました。30年くらい前より治療していただいている梨木先生、スタッフ皆さんのやさしい説明や声掛けに安心して治療を受けることができました。今後もよろしくお願いいたします。」という、とても嬉しいお言葉を頂きました。自分を含めスタッフ一同、とても励みになりました。
スマートデンチャー:¥322,000(税込)
マグネット2個:¥70,000×2本=¥140,000(税込)
合計:¥462,000(税込)

女性Mさん 70代 (チタン製義歯・スマートデンチャー)
主訴
上下、入れ歯をいれたい。
治療内容
上顎は、チタン製の総入れ歯、下顎は、スマートデンチャー(チタン床付き)をいれました。
所感
上顎は、口蓋の部分が薄い入れ歯を希望されましたのでチタン製の総入れ歯を、下顎は、金属のバネが見えない入れ歯を希望されましたので、スマートデンチャーを入れました。スマートデンチャーは、1~2歯の中間歯欠損の場合は、金属床(チタン床)は必要ありませんが、3歯以上の欠損・後ろに歯がない欠損の場合は、必要になってきます。チタンの骨組みをしないと入れ歯が噛むたびにたわみ沈み込むため、よく噛める入れ歯にはなりません。
上顎:チタン製総入れ歯:¥286,000(税込)
下顎:スマートデンチャー(チタン床付き):¥322,000(税込)
合計:¥608,000(税込)

女性Tさん 50代 (スマートデンチャー)
主訴
左下奥の歯がないところに入れ歯をいれたい。
治療内容
スマートデンチャー(チタン床付き)をいれました。
所感
笑った時に金属のバネが見えない入れ歯(バネが見えない入れ歯)を希望されましたので、スマートデンチャーを入れました。スマートデンチャーは、1~2歯の中間歯欠損の場合は、金属床(チタン床)は必要ありませんが、後ろに歯がない欠損の場合は、必要になってきます。(チタンの骨組みをしないと入れ歯が噛むたびにたわみ沈み込むため、よく噛める入れ歯にはなりません。)
この症例は、左下3歯欠損でしたので、金属床(チタン床)付きで設計しました。
スマートデンチャー(チタン床付き):¥322,000(税込)

男性Hさん 60代 (スマートデンチャー)
主訴
上の前の歯がないところに入れ歯をいれたい。
治療内容
スマートデンチャーをいれました。
所感
前歯にバネがかからない入れ歯(金属バネが見えない入れ歯)を希望されましたので、スマートデンチャーを入れました。スマートデンチャーは、1~2歯の中間歯欠損の場合は、金属床(チタン床)は必要ありませんが、それ以上の欠損で両側にわたる場合は、必要になってきます。(チタンの骨組みをしないと入れ歯が噛むたびにたわむため、よく噛める入れ歯にはなりません)
この症例は、金属床は必要ありませんでした。
スマートデンチャー(チタン床なし):¥92,400(税込)

男性Iさん 50代 (スマートデンチャー)
主訴
上の歯がないところに入れ歯をいれたい。
治療内容
スマートデンチャー(チタン床付き)をいれました。
所感
前歯にバネがかからない入れ歯(バネが見えない入れ歯)を希望されましたので、スマートデンチャーを入れました。スマートデンチャーは、1~2歯の中間歯欠損の場合は、金属床(チタン床)は必要ありませんが、それ以上の欠損で両側にわたる場合は、必要になってきます。(チタンの骨組みをしないと入れ歯が噛むたびに「たわむ」ため、よく噛める入れ歯にはなりません)この症例は、右上3歯、前歯4歯欠損でしたので、金属床(チタン床)付きで設計しました。治療後、「スマートデンチャーは、入れ歯の1種ですが、物を嚙むことへのストレス(違和感)は殆んど無く、大好物のナマコ、アワビもゴリゴリ噛んで食事を楽しんでいます。」と、うれしい感想を頂きました。
スマートデンチャー(チタン床付き):¥322,000(税込)

女性Aさん 50代 (スマートデンチャー)
主訴
下の歯のないところに、バネが目立たない入れ歯をいれたい。
治療内容
下の入れ歯の金属のバネが見えるのを気にしておられましたので、スマートデンチャーをいれました。
所感
治療後「スマートデンチャーにしてもらいました。バネが目立たなくて、見た目もキレイなのでうれしいです。ありがとうございました。」と、とても喜んでくださいました。
スマートデンチャー(チタン床付き):¥322,000(税込)

男性Yさん 60代 (スマートデンチャー)
主訴
左下奥の歯がないところに入れ歯をいれたい。
治療内容
スマートデンチャー(ノンクラスプ義歯)をいれました。
所感
金属アレルギーの疑いがある方です。金属を使わない入れ歯を希望されましたので、スマートデンチャーを入れました。
スマートデンチャー:¥92,400(税込)

男性Kさん 60代 (スマートデンチャー)
主訴
右下奥の歯がないところに入歯をいれたい。
治療内容
スマートデンチャー(ノンクラスプ義歯)をいれました。
所感
治療法についてインプラント、ブリッジ、部分入れ歯の3つの説明をしました。今回は、部分入れ歯を選択され、金属のバネがない入れ歯を希望されましたので、スマートデンチャーを入れました。
スマートデンチャー:¥92,400(税込)

女性Kさん 70代 (スマートデンチャー)
主訴
上前の歯がないところに入れ歯をいれたい。
治療内容
スマートデンチャー(ノンクラスプ義歯)をいれました。
所感
金属のバネが見えない入れ歯を希望されましたので、スマートデンチャーを入れました。治療後「以前は金属バネの入れ歯をいれていました。今回の入れ歯は、バネがないので、自然に見えてとても良いです。」と、とても喜んでくださいました。
スマートデンチャー:¥92,400(税込)

女性Tさん 60代 (スマートデンチャー)
主訴
右上の犬歯のところの歯肉が腫れて、噛むと痛い。
治療内容
ブリッジの支台になっていた犬歯が、歯根の破折を起こしていたため、抜歯しました。抜歯後、歯がなくなったところにスマートデンチャーをいれました。
所感
金属のバネが見えない入れ歯を希望されましたので、スマートデンチャーを入れました。治療後「治療の痛みもなく、きれいにしていただき、義歯の違和感もなく、おいしく食べることもでき、安心しました。先生、みなさん、ありがとうございます。」と、ありがたいお言葉を頂きました。
スマートデンチャー:¥92,400(税込)

女性Sさん 70代 (スマートデンチャー)
主訴
右上の歯ぐきが腫れて、その歯で噛むと痛い。
治療内容
歯根が破折していましたので、抜歯しました。その後、1本歯がないところに、スマートデンチャーをいれました。
所感
金属アレルギーの可能性があるということで、金属を使わない義歯を希望されました。他にも金属の被せ物があるので、徐々に取り除いてノンメタルの被せ物にすることをお勧めしました。
スマートデンチャー:¥92,400(税込み)

男性Uさん 60代 (スマートデンチャー)
主訴
上の前歯が、噛むと痛い。
治療内容
誤ってフォークを嚙んでしまったそうです。歯根が破折していましたので、抜歯しました。歯がなくなったところは、スマートデンチャーをいれました。
所感
抜歯後、抜いたところが落ち着くまで、バネが付いた入れ歯を入れてもらいました。その後スマートデンチャーを入れたところ、「バネの付いた部分入れ歯に比べ、スマートデンチャーは、とても使い心地がいい。」と、喜んでくださいました。
スマートデンチャー:¥84,000(税別)

女性Sさん 60代 (スマートデンチャー)
主訴
右上の歯がないところに、入れ歯を入れたい。
治療内容
患者さんは、金属のバネが見えるのが気になるので、スマートデンチャーを入れました。
所感
患者さんは、笑った時に金属のバネが見えるのを気にしておられました。スマートデンチャーにしたところ、とても気に入ってくださいました。
スマートデンチャー (チタン床付き): ¥270,000(税別)

女性Sさん 70代 (スマートデンチャー)
主訴
右上の奥と下の左右1本づつ歯がないところに、入れ歯を作りたい。
治療内容
患者さんは、金属のバネがない入れ歯を希望されましたので、3か所にスマートデンチャーを入れました。
所感
「金属のバネが見えないので、自然でとてもいいです。」と、喜んでくださいました。
スマートデンチャー3か所:¥84,000×3つ=¥252,000(税別)

男性Mさん 50代 (スマートデンチャー)
主訴
下の義歯の金具が目立って気になるので、新しく作りたい
治療内容
スマートデンチャーを製作しました。
所感
「下の部分入れ歯のバネが、気になる。」という事でしたので、スマートデンチャーを説明したところ、「やってみたい。」という事になりました。治療後、「歯にかかっていた金具が、目立って気になっていましたが、新しい入れ歯は金具が見えないので、自然でとてもいいです。」と、喜んでくださいました。
スマートデンチャー(チタン床付き)¥270,000(税別)
男性Yさん 50代 (スマートデンチャー)
主訴
上の左右歯がないところに入れ歯を入れたい。
治療内容
スマートデンチャーを作りました。
所感
患者さんは、金属のバネが目立たない義歯を希望されましたので、スマートデンチャーを作りました。
治療後、「支える歯に負担が少ないので良いです。」と、喜んでくださいました。
スマートデンチャー(チタン床付き)¥270,000(税別)
男性Mさん 60代 (スマートデンチャー)
主訴
上の前の歯がないところにバネが見えない入れ歯を入れたい。
治療内容
スマートデンチャーを作りました。
所感
以前他の医院で上の前歯に6本つないだ大きなブリッジをいれたそうです 。しかし、何度も取れては、つけることを繰り返していたそうです。この症例の場合、ブリッジでは長持ちしないことを説明し、部分入れ歯かインプラントの説明をしたところ、バネが見えない部分入れ歯にしたいという事になり、スマートデンチャーを製作しました。
スマートデンチャー¥270,000(税別)
女性Nさん 60代 (スマートデンチャー)
主訴
右上の歯のないところに入歯をいれたい。
治療内容
患者さんは、金属のバネが見えないものを希望されましたので、スマートデンチャーをいれました。
所感
「金属のバネが見えないので、とても自然です」。と、とても喜んでくださいました。
スマートデンチャー¥84,000(税別)
女性Tさん 50代 (スマートデンチャー)
主訴
右上のブリッジの所と前歯がグラグラして、噛むと痛い。
抜いた後、歯がないところに入れ歯をいれたい。
治療内容
レントゲンを撮ってみると、歯周病が進み残すことが出来ず、残念でしたが抜歯になりました。
患者さんは、金属バネが見えない入れ歯を希望されましたので、スマートデンチャーをいれました。
所感
「金具が付いていないので、見た目きれいです。付けた時のフィット感が良いです。」と、とても喜んでくださいました。
スマートデンチャー¥291,600

女性Kさん 60代 (スマートデンチャー)
主訴
入歯が合わなくて、使っていませんでした。下の歯がないところに新しく入れ歯をいれたい。
治療内容
患者さんは、金属のバネが見えない入れ歯を希望されましたので、スマートデンチャーをいれました。
所感
見た目が自然なので「口元を気にせず、他の人と話すことが出来る」と、とても喜んでくださいました。
スマートデンチャー¥291,600

女性Sさん 50代 (スマートデンチャー)
主訴
左上の歯がないところに歯をいれたい
治療内容
患者さんは、バネが見えない入れ歯を希望されましたので、スマートデンチャーをいれました。
所感
インプラント治療の選択もありましたが、CTを撮ったところ骨の量がとても少なく、インプラントをやるとなると、骨を作る治療が必要なことをお話ししました。患者さんと相談したところ、部分入れ歯の治療をすることになりました。
合計¥291,600

女性Iさん 60代 (スマートデンチャー)
主訴
上顎の歯がないところに、入れ歯をいれたい。
治療内容
患者さんは、金属のバネが見えないものにしたいという事でしたので、スマートデンチャーをいれました。
所感
左右にわたる欠損でしたので、チタン床付きスマートデンチャーにしました。
スマートデンチャーは、笑った時に金属製のバネが見えないので、見た目がとても自然です。
合計¥291,600

女性Yさん 60代 (スマートデンチャー)
主訴
右上、噛んだ時に違和感がある
治療内容
右上、「噛んだ時に違和感がある」という事で、被せものを外してみました。
歯根が、破折して保存できる状態ではありませんでしたので、残念ですが抜歯しました。
抜歯後、歯のないところを補う方法として、インプラント、両側の歯を削って橋渡しをするブリッジ、1本の義歯について説明しました。
金属のバネがある入れ歯ではなく、ノンクラスプデンチャーを希望されましたので、1本のスマートデンチャーをいれました。
所感
「入れているのを忘れるくらいです。」と、喜んでくださいました。
合計¥90,720

女性Tさん 80代 (スマートデンチャー)
主訴
右下1本歯がないところを何とかしたい。
治療内容
スマートデンチャーをいれました。
所感
「入れ歯なのに、違和感がない」と、喜んでくださいました。
合計¥90,720

女性Tさん 60代 (スマートデンチャー)
主訴
下の前歯の歯のないところを何とかしたい。
治療内容
スマートデンチャーをいれました。
所感
患者さんは、入れ歯のバネが見えることを気にしておられたので、スマートデンチャーで対応しました。
スマートデンチャーは、歯に金属製のバネではなくて、歯肉の色をした樹脂製のものをかけるので、見た目がとても自然です。
合計¥90,720

女性Sさん 60代 (スマートデンチャー)
主訴
上の右と下の左右の歯がないところを何とかしたい
治療内容
右上6番と下の左右6番をスマートデンチャーにて補綴
所感
インプラントによる治療が一番だと思いましたが、患者さんがなるべく侵襲の少ない治療を望まれましたので、3か所にスマートデンチャーを装着しました。
(上顎…少数歯¥90,720 下顎…少数歯2箇所¥90,720×2床=¥181,440)合計¥272,160

























