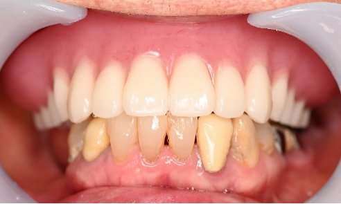
患者様の声【マグネット式入れ歯】
- なしき歯科医院TOP
- » 患者様の声【マグネット式入れ歯】
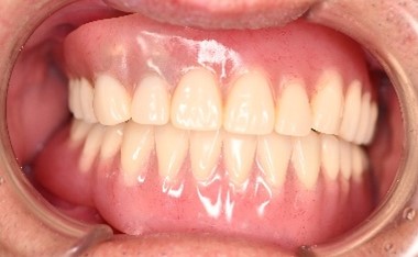
『外れない・横揺れしない・沈み込まない』~マグネット式入れ歯~
歯が抜けた所に『保険の部分入れ歯』を入れた方のお悩みとしてよくお聞きするのが、『入れ歯が外れる』『噛んだ時に横に動いて食べづらい』『食べ物を噛む時に歯ぐきが痛む』の3つです。
なぜ保険の入れ歯にはこのような不具合が起きるのでしょうか?
快適な入れ歯のポイントは、
●入れ歯が外れてこないように『維持』する力があるもの。
●入れ歯の横揺れを防ぐ『把持』の力があるもの。
●噛んだ時に力をしっかり受け止め入れ歯の沈み込みを防ぐ『支持』の力がある。
この3つです。
保険の入れ歯はこの3つの要素が不十分なため、不具合が生じやすいのです。入れ歯が嫌なら…と、一足飛びにインプラントをすすめる歯科医院も多いようですが、実は、磁力で歯と入れ歯を支える「マグネット式部分入れ歯」は『維持・把持・支持』の3つの要素を兼ね備えており、快適に使えるようになったというお声をよくいただいています。
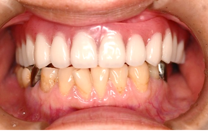
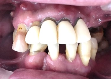
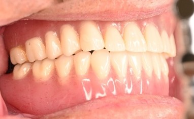
保険の部分入れ歯を入れると痛みや吐き気があり、10年以上、不具合と使いづらさを感じていたSさんが、先日当院で「マグネット式部分入れ歯」を作られました。Sさんは、「入れ歯の上あごの部分が小さく薄いので、異物感がほとんどなく、吐き気をもよおすこともありません。食事の時に入れ歯が全く動かず、よく噛めるので何でも食べられるようになりました!」と、とても喜んでくださいました。

マグネット式入れ歯は、残っている歯にバネをかけないので、見た目が自然なのも喜んでいただけるポイントの一つだと思います。部分入れ歯がはずれやすい、痛いところがある、入れ歯でしっかり力を入れて噛めない…など、その他にも気になることがある方、お気軽にご相談ください!
少数残っている歯を有効活用するマグネット式入れ歯で快適人生
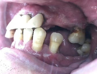
「上の前歯のブリッジが取れてしまいました。」とHさん(60歳代男性)が来院されました。お口の中を見ると、ブリッジを支える歯がすべてひどいむし歯になっており、ブリッジをセメントで簡単に付け直すことができるような状態ではありませんでした。
こうなってしまうと、もうブリッジはできません。選択肢は、
①金属バネが目立つ保険の入れ歯
②インプラント
③磁石でくっつける入れ歯(マグネット式入れ歯)
の3種類になります。Hさんは嘔吐反射が出やすいので、保険の入れ歯は避けたいとのこと。インプラントは高額で手術にも少し不安があるご様子だったので、マグネット式入れ歯をご説明しました。
マグネット式入れ歯のメリットは、
・磁力でピッタリくっつくので安定が良い
・上の入れ歯は口蓋をくり抜けるので嘔吐反射が出にくい
・噛む力が取り戻せるので、ほとんどのものを食べられる
・残っている歯への負担が少ないので、歯が長持ちする
などがあります。

Hさんは最終的に、マグネット式入れ歯を選択されました。
治療後、「入れ歯を作るとき、とても細かい治療や検査をしていただいたおかげで、ぴったりの入れ歯になったように思います。ありがとうございます。」と、とても喜んでくださいました。マグネット式入れ歯になって、何でも食べられるようになったそうです。
もし保険の入れ歯を選んだら、入れ歯のバネをかける歯から順に抜けていき、最終的には総入れ歯になってしまう可能性が高かったと思います。また、Hさんの場合は、インプラント治療の3分の1ほどの費用で済んだため、費用面での負担も抑えられたと思います。マグネット式入れ歯は、残りの歯が少なくなった時に有効な治療法です。
歯を失ってお困りの方、現在の入れ歯がしっくりこない方、「マグネット式入れ歯の話を聞きたい」とスタッフにお声掛けください。
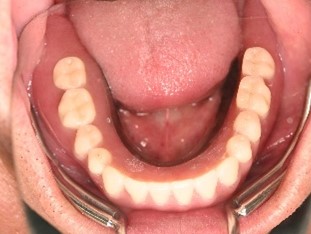
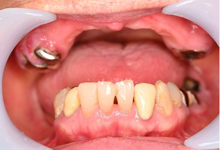
女性Fさん 70代 (マグネット式入れ歯)
主訴
上の部分入れ歯が壊れている。入れ歯の支えになっている歯が取れている。
治療内容
上顎5本残っている歯を活用し、マグネット式総入れ歯を入れました。
所感
現在残っている歯の配置は上顎右は奥歯3本、左は奥歯2本、小臼歯と前歯はない。下顎は小臼歯と前歯が存在するという状態です。こういう場合、残っている左右奥歯にバネをかける入れ歯では、噛んだときに下顎の小臼歯と前歯が上の入れ歯を突き上げて、しっかりと安定した入れ歯にはならないことが明らかでした。このような歯の残り方をしている場合、最も安定した入れ歯は、残っている歯を効果的に活用するマグネット式総入れ歯であることをお話したところ、同意してくださいました。
入れ歯の形態も、より安定したものにするため、馬蹄形ではなく、通常の総入れ歯の形にしました。マグネット式総入れ歯は、支台になる歯に側方への力がかからないため、歯周病が進み歯の周りの骨が少なくなっている歯も効果的に活用できますし、かつ残っている歯を長持ちさせることができます。残っている歯が少なくなってきて、入れ歯で対応する場合は、マグネット式総義歯はとても良い治療法だと考えます。
費用
上顎:チタン製総義歯 ¥286,000(税込)
マグネット4個 ¥70,000×4本=¥280,000(税込)
合計:¥566,000(税込)
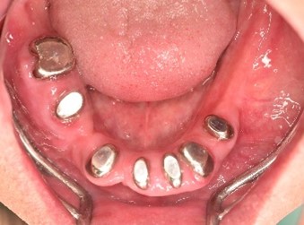
Before

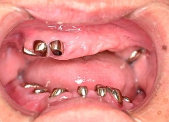
緑丸は、上顎5本残っている歯
After
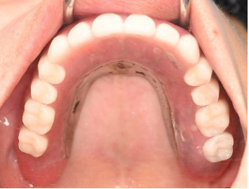
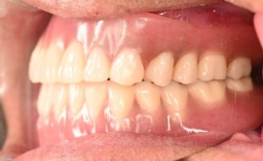
【義歯を装着したところ】
【義歯を外したところ】
【マグネット式総入れ歯】

青丸は組み込まれたマグネット
女性Mさん 50代 (マグネット式入れ歯)
主訴
上の部分入れ歯を新しくしたい。
治療内容
上顎8本の歯がありましたが、2本は歯根破折を起こしていたので抜歯しました。残り6本の歯を活用してマグネット式総義歯を入れました。
所感
今回上顎8本残っているうちの2本が歯根破折で抜歯せざるを得ませんでした。残り6本の歯は被せ物をして部分入れ歯の支台にするほど頑丈ではありませんでしたので、それらをマグネット式総入れ歯の支台に使いました。もし、被せ物をして、通常の部分入れ歯にすると、入れ歯の支台になる歯は、早期に失い、再度新しい部分入れ歯を作ることになる可能性が高かったことが、想像できます。
6本をこの段階でマグネット式総入れ歯の支台に使って残したことは、マグネット式総入れ歯にできる最後のチャンスを活かしたと思います。
マグネット式総入れ歯は、支台になる歯に側方への力がかからないため、歯周病が進み歯の周りの骨が少なくなっている歯も効果的に活用できますし、かつ残っている歯を長持ちさせることができます。残っている歯が少なくなってきて、入れ歯で対応する場合は、マグネット式総義歯はとても良い治療法だと考えます。
費用
上顎:チタン製総義歯 ¥286,000(税込)
マグネット4個 ¥70,000×4本=¥280,000(税込)
合計:¥566,000(税込)
Before

赤丸2本は、歯根破折を起こしていたため抜歯しました。
After
【義歯を装着したところ】
【義歯を外したところ】
【マグネット式総入れ歯】

緑丸は組み込まれたマグネット
男性Iさん 50代 (マグネット式入れ歯)
主訴
グラグラしている歯がある。歯並びをきれいにし、しっかり噛めるようになりたい。
治療内容
歯周病が進行し深刻な状態でした。保存することができない歯が上4本、下3本ありましたので、抜歯し、残った歯上4本、下7本の歯周病治療を徹底的にし、それらの歯を活用し上下マグネット式総入れ歯を入れました。
所感
治療前は、歯周病が進行し、重度に動揺している歯が4本あり、満足に食事ができない状況でした。マグネット式総入れ歯を装着後は、「なんでも思い通り噛むことができるだけでなく、歯並びもきれいになり、とても幸せです。」と、とても喜んでくださいました。
費用
上顎:チタン製総義歯 ¥286,000(税込)
マグネット4個 ¥70,000×4本=¥280,000(税込)
下顎:チタン製総義歯 ¥286,000(税込)
マグネット4個 ¥70,000×4本=¥280,000(税込)
合計:¥1,132,000(税込)
Before
赤丸は抜歯しました。上4本、下3本
After
【義歯を装着したところ】

【義歯を外したところ】

【マグネット式総入れ歯】
上顎
下顎
女性Iさん 60代 (マグネット式入れ歯)
主訴
歯茎が腫れて、血が出ます。歯周病の治療をしてほしい。また歯をきれいにしてほしい。
治療内容
歯周病が重度に進行していました。保存することができない2本の歯を抜歯しました。歯周病の治療を徹底的にし、保存可能な9本の歯の根管治療をし、それらの歯を活用しマグネット式総入れ歯を入れました。
所感
通常の部分入れ歯にすると、入れ歯の支台になる歯は、早期に失われる可能性が高かったです。マグネット式総入れ歯は、支台になる歯に側方への力がかからないため、歯周病が進み歯の周りの骨が少なくなっている歯も効果的に活用できますし、かつ残っている歯を長持ちさせることができます。残っている歯が少なくなってきて、入れ歯で対応する場合は、マグネット式総義歯はとても良い治療法だと考えます。下顎の歯もすべて治療希望で、現在治療中です。下顎については、治療完了後に、あらためてご報告いたします。
費用
上顎:チタン製総義歯 ¥286,000(税込)
マグネット4個 ¥70,000×4本=¥280,000(税込)
合計:¥566,000(税込)
Before
After
【義歯を装着したところ】
【義歯を外したところ】
マグネット式総入れ歯

緑丸は組み込まれたマグネット
通常の総入れ歯
女性Tさん 50代 (マグネット式入れ歯)
主訴
左上の犬歯が、グラグラして痛い
治療内容
他の歯も歯周病が進行していました。保存することができない歯が3本ありましたので、抜歯し、残った歯6本の歯周病治療をし、それらの歯を活用しマグネット式総入れ歯を入れました。
所感
マグネット式総入れ歯を活用し、もともとは反対交合でしたが、正常交合に改善することができました。
費用
上顎:チタン製総義歯 ¥286,000(税込)
マグネット4個 ¥70,000×4本=¥280,000(税込)
合計:¥566,000(税込)
Before

赤丸は抜歯しました
After
【義歯を装着したところ】
【義歯を外したところ】
マグネット式総入れ歯

緑丸は組み込まれたマグネット
女性Tさん 80代 (マグネット式入れ歯)
主訴
歯が抜けたところがある。きちんと治したい。
治療内容
下顎2本残っている歯を活用してマグネット義歯を入れました。
所感
長い間、歯医者さんに行っておらず、下顎の前歯が4本抜けていました。幸い2本の犬歯を保存することができましたので、2本を活用しマグネット義歯を入れました。マグネットを義歯に組み込んだことにより、動かない、痛くない、とてもよく嚙むことができる総義歯になり患者さんは大満足でした。
費用
下顎:チタン製総義歯 ¥286,000(税込)
マグネット2個 ¥70,000×2本=¥140,000(税込)
合計:¥426,000(税込)
Before

After
【義歯を装着したところ】
【義歯を外したところ】
マグネット義歯

緑丸は組み込まれたマグネット
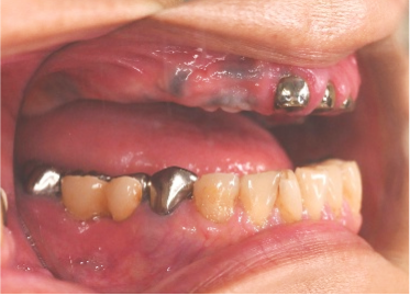
男性Fさん 60代 (マグネット式入れ歯・チタン製義歯)
主訴
上下義歯が外れやすく、合わない。左下奥歯と右下の1本がグラグラして、噛むと痛い。新しい義歯を作って欲しい。
治療内容
右下の1本と左下奥歯は、保存することができず抜歯。下顎は、残り2本を活用したマグネット義歯、上顎はチタン製の総義歯にすることにしました。
所感
治療後「義歯が全く動かないので、よく噛んでおいしく食事ができ、とても良いです。」と、とても喜んでくださいました。マグネット義歯は、残っている歯が少なくなってきた時、それらの歯を効果的に使うとてもいい方法です。私は、残存歯が少なくなってきた時、義歯で対応する場合は、マグネット義歯を第一選択としてオススメしています。
費用
上顎:チタン製総義歯 ¥286,000(税込)
下顎:チタン製総義歯 ¥286,000(税込)
マグネット2個 ¥70,000×2本=¥140,000(税込)
合計:¥712,000(税込)
Before

After
【義歯を外したところ】
【義歯を装着したところ】
上顎チタン製総義歯
下顎マグネット義歯
男性Sさん 70代 (マグネット式入れ歯)
主訴
入れ歯を支える歯が抜けて、食事が不自由。
治療内容
上顎2本の歯は、保存することができず抜歯。残り5本の歯を活用しマグネット義歯をいれました。
所感
9年ぶりの来院でした。むし歯および歯周病のため2本は保存することができませんでした。残り5本の歯を使ってマグネット義歯にしました。マグネット義歯にできる最後のチャンスをものにすることができた症例です。マグネットが離れた位置に配置できましたので、とても安定の良い馬蹄形の義歯にすることができました。
費用
上顎:チタン製総義歯 ¥286,000(税込)
マグネット4個 ¥70,000×4本=¥280,000(税込)
合計:¥566,000(税込)
Before
赤丸は抜歯になりました
右上2本抜歯後
After
【義歯を外したところ】
【義歯を装着したところ】
マグネット義歯
緑丸は組み込まれたマグネット
通常の総入れ歯
女性Sさん 70代 (マグネット式入れ歯)
主訴
右の前歯がぐらぐらする。
治療内容
右前歯は残すことができず、抜歯しました。上顎残り5本の歯のうち4本を利用しマグネット義歯を装着しました。
所感
マグネット義歯は、非常に安定がいい義歯です。残っている歯が少なくなってきた時には、それらの歯を効果的に利用することができるとても良い方法だと考えます。口蓋隆起がありましたので、それを避けて馬蹄形のかたちの義歯にしました。マグネット義歯の場合、これが可能になります。通常の総義歯であると、この形にしますと安定が悪くなりますので出来ません。
費用
上顎:チタン製総義歯 ¥286,000(税込)
マグネット4個 ¥70,000×4本=¥280,000(税込)
合計:¥556,000(税込)

女性Tさん 50代 (マグネット式入れ歯)
主訴
上の入れ歯を新しくしたい。
治療内容
上顎は、3本の歯が残っており、歯の上に総入れ歯が入っていました。残っている歯を利用してマグネット義歯を入れました。
所感
マグネット義歯は、非常に安定がいい義歯です。残っている歯が少なくなってきた時には、それらの歯を効果的に利用することができるとても良い方法だと考えます。
費用
上顎:チタン製総義歯 ¥286,000(税込)
マグネット3個 ¥70,000×3本=¥210,000(税込)
合計:¥496,000(税込)

女性Kさん 80代 (マグネット式入れ歯・コンフォート義歯)
主訴
上下総入れ歯です。痛いところがあちこちあり、おいしくご飯が食べられない。
治療内容
上顎は、4本の歯が残っており、歯の上に総入れ歯が入っていました。下顎は、1本も歯は残っておらず総入れ歯。上顎は、嘔吐反射が強かったため4本の歯を利用した馬蹄形のマグネット義歯、下顎は、顎堤が乏しかったため義歯の安定が悪かったので、義歯の粘膜面側にシリコンを貼り付けるコンフォート義歯にしました。コンフォート義歯はクッション効果と義歯の安定が良くなるため、痛みが、普通のプラスチックの入れ歯に比べ、ほとんどありません。
所感
治療後「私はいろいろな歯医者さんに通いましたが、しっくりいかず困っていました。広告を見てなしき歯科医院さんに思い切って決め、本当に良かったです。先生も皆さんも、とても親切で安心して治療してもらえる場所です。自分の納得の歯が入り本当に嬉しく思います。ありがとうございました。これからもよろしくお願い致します。今まで一度も病院からは新聞など届いた事もなく、なしき歯科医院新聞が家に届き、本当にビックリしました。楽しみの1つになり、大切に保存しております。」と、とても喜んでいただき、スタッフ一同、嬉しくなりました。
費用
上顎:チタン製総義歯 ¥286,000(税込)
マグネット4個 ¥70,000×4本=¥280,000(税込)
下顎:コンフォート総義歯 ¥396,000(税込)
合計:¥962,000(税込)

女性Kさん 60代 (マグネット式入れ歯)
主訴
2、3か所、歯が抜けた。動いている歯もある。しっかりした入れ歯をいれて、おいしく食事をしたい。
治療内容
歯周病が進行していました。下の歯3本は、保存することが出来ず、抜歯しました。残っている歯は歯周病の治療をしました。残っている上4本、下4本を利用し、総義歯タイプのマグネット式入れ歯を入れました。
所感
歯周病が進行し、残っている歯が、すべて健康な状態ではありませんでした。こういう時に残っている歯を効果的に活用できるのが、マグネット式入れ歯です。治療後「入れ歯がピタッとして動かず、何でも食べられるようになり、すごく良かったです。残っている歯を大事にして歯みがきを頑張っていきたいと思います。ありがとうございました。」と、とても喜んでくださいました。マグネット式入れ歯は、残っている歯が少なくなってきた時にとても有効な方法です。入れ歯(義歯)が、ほとんど動かないので、噛み心地も通常の総入れ歯に比べると、格段に良いです。
費用
上顎:チタン製総義歯 ¥286,000(税込)
マグネット4個 ¥70,000×4本=¥280,000(税込)
下顎:チタン製総義歯 ¥286,000(税込)
マグネット4個 ¥70,000×4本=¥280,000(税込)
合計:¥1,132,000(税込)

女性Kさん 50代 (マグネット式入れ歯)
主訴
上の前歯の差し歯が、1ヵ月前から痛い。他の歯も歯周病だと思うので全体的に治したい。
治療内容
歯周病が進行していましたので、歯周病の治療をしました。残っている歯が頑丈な状態ではなく、噛み合わせが悪くなっておりましたので、残っている歯を効果的に利用し、かつ噛み合わせを改善できるマグネット式入れ歯を装着しました。上の残っている11本の歯のうち4本をマグネット式入れ歯のために利用しました。
所感
歯周病が進行し、残っている歯が、すべてがっちりとした状態ではありませんでした。また、歯 がないところを長い間何も入れていない状態で放置していたため、歯が移動し噛み合わせが悪く なっていました。こういう状況で、残っている歯を効果的に活用し、噛み合わせを改善するのに 有効な方法の一つにマグネットを利用した総義歯があります。患者さんにマグネット式入れ歯を説明 したところ、マグネット式入れ歯でお願いしますという事になりました。
費用
上顎:チタン製総義歯 ¥286,000(税込)
マグネット4個 ¥70,000×4本=¥280,000(税込)
合計:¥566,000(税込)

女性Tさん 60代 (マグネット式入れ歯)
主訴
歯周病やむし歯の悪いところは、全部治したい。
治療内容
上1本、下1本は、歯周病が進行し保存することが出来ず抜歯。残っていた全部の歯に被せものがしてあり、そのほとんどが2次カリエスになっていました。上6本のうち4本、下7本のうち4本を利用し、マグネット式入れ歯を装着しました。
所感
残っている歯が、すべて頑丈な状態ではありませんでした。また、嘔吐反射が激しかったので、口蓋の床を短くしてほしいという要望がありました。こういう時に最も効果的な方法の一つにマグネットを利用した総義歯があります。患者さんにマグネット式入れ歯をお勧めしたところ、是非、マグネット式入れ歯でお願いしますという事になりました。治療後「入れ歯の密着度がよく、自分の歯のように使いこなしたいと思います。仕上がりがすごくきれいで気に入ってます。先生も衛生士の方も説明がわかりやすくて良かったです。」というお話を頂き、スタッフ一同とても嬉しくなりました。
費用
上顎:チタン製総義歯 ¥286,000(税込)
マグネット4個 ¥70,000×4本=¥280,000(税込)
下顎:チタン製総義歯 ¥286,000(税込)
マグネット4個 ¥70,000×4本=¥280,000(税込)
合計:¥1,132,000(税込)

女性Oさん 60代 (マグネット式入れ歯)
主訴
歯がないところに、歯を作りたい。(入れ歯かその他かは話を聴いてから考えたい)
治療内容
下顎の2本は残すことが出来ず、抜歯しました。歯周病が進んでいましたので、徹底的に歯周病治療をし、上顎5本のうち4本を、下顎6本のうち4本を利用し、上下マグネット総義歯にしました。
所感
残っている歯が、少なくなってきていましたし頑丈な状態ではなかったので、残存歯を効果的に活用し長持ちさせることが出来るマグネット式総入れ歯を提案しました。
当初、残っている上顎5本、下顎6本にオールセラミック冠を被せてきれいにし、上下奥歯の歯がないところは、チタン製の部分入れ歯を希望されました。
- ・残っている歯は、歯周病が進んでいること
- ・残っている歯にバネをかけた場合、将来その歯を失う可能性が高いこと
- ・費用は上下合わせて11本にオールセラミック冠を被せ、上下チタン製の部分入れ歯を入れるよりも
・安い費用であること(オールセラミック冠11本:¥88,000×11本=¥880,000、上下チタン製の
・部分入れ歯:¥286,000×2=¥572,000 合計¥1,452,000(税込)) - ・見た目もバネが見えないのできれいに仕上がること
を説明したところ、上下マグネット総義歯で治療を進めることになりました。
上の総義歯は、マグネットが前歯部に偏っていることを考慮し、力配分のことを考え、馬蹄形にはせず、通常のかたちにしました。
治療後「はじめは、前歯上下の差し歯の作り替えの希望で来ましたが、奥歯がない為、思い切ってマグネット式の入れ歯にしました。出来あがるまでには、けっこう月日もかかりましたが、不安に思ったことなど訊くと、先生も衛生士さんも丁寧に受け答えしてくれて、とても信頼出来ました。出来あがりもピッタリきれいで、とても気に入っています。本当にありがとうございました。とにかく衛生士さんが話しやすい。なんでも聞きやすい。今までありがとうございます。」という、とてもありがたいお言葉を頂きました。
費用
チタン製総入れ歯:¥264,000×2=¥528,000(税込み)
マグネット8個:¥56,100×8本=¥448,800(税込み)
合計:¥976,800 (税込み)

男性Uさん 70代 (マグネット式入れ歯)
主訴
上の入れ歯のバネが折れた。
治療内容
残っている5本のうち4本を利用してマグネット式入れ歯にしました。
所感
「残りの歯が5本である事。今までと同じようにバネの付いた部分入れ歯にすると、残りの歯が徐々に失われ、近い将来、総入れ歯になること。今であれば、残っている5本の歯を効果的に活用して、マグネット式入れ歯にできること。」を説明しましたところ、マグネット式入れ歯で進めることになりました。治療後、「前の入れ歯より、入れ歯が外れることもなく、マグネット入れ歯にして大変良かったです。前より食べ物がおいしく感じるようになりました。ありがとうございます。」という感想を頂き、この上ない喜びでした。
費用
チタン製入れ歯:¥264,000(税込み)
マグネット4個:¥56,100×4=¥224,000(税込み)
合計:¥488,000(税込み)

男性Hさん 60代 (マグネット式入れ歯)
主訴
下の入れ歯が合わなくなってきたので、新しく入れたい。
治療内容
3本の歯を利用したマグネット式部分入れ歯を入れました。
所感
治療後「入れ歯が動かないので、食事がとてもおいしく食べられます。以前の入れ歯は、歯ごたえのある物をかむと、歯茎が痛くなり、硬い食べ物は控えていました。マグネット式部分入れ歯にして本当に良かったです。」と、喜んでくださいました。
費用
チタン製部分入れ歯:¥260,000(税別)
マグネット3個:¥51,000×3=¥153,000(税別)
合計:¥413,000(税別)

女性Sさん 80代 (マグネット式入れ歯)
主訴
上に義歯を入れたい。
治療内容
残っている5本の歯を利用して、マグネット式入れ歯を入れました。
所感
残っている歯にバネをかける部分入れ歯という選択もありましたが、残っている歯を効果的に使い、見た目も綺麗で、残っている歯が長持ちするマグネット式入れ歯を説明したところ、「マグネット式入れ歯でお願いします。」とおっしゃられました。
治療後、「ありがとうございます。食べ物もとてもおいしくて嬉しいです。これからも大事に使いたいと思います。」と、とても喜んでくださいました。
費用
チタン製総入れ歯:¥240,000(税別)
マグネット4個:¥51,000×4=¥204,000(税別)
合計:¥444,000(税別)

女性Kさん 70代 (マグネット式入れ歯)
主訴
上の歯がないところに、歯を入れたい。
治療内容
残っている歯を利用して、総義歯タイプのマグネット式入れ歯を入れました。
所感
長い間、歯を抜いたところを、そのままにしていたため、歯が大きく移動して、このままの状態では、義歯を入れることが出来ない状態でした。残っている歯を利用し、かみ合わせを整えることが出来るマグネット式入れ歯が、最も適していることを説明したところ、「お願いします。」と、おっしゃられました。残っている歯は、すべて根管治療をし、利用しました。
マグネット式入れ歯は、歯が残り少なくなってきた時に、残っている歯を効果的に利用することが出来ます。残っている歯へ金属のバネをかけないため、歯への負担を軽減することが出来ます。そのため、歯を護り、長持ちさせることが出来る、とても良い方法だと思います。
費用
チタン製義歯:¥240,000(税別)
マグネット4か所:¥51,000×4=¥204,000(税別)
合計:¥444,000(税別)

女性Sさん 60代 (マグネット式入れ歯)
主訴
左上の歯茎が腫れて、頬っぺたまで熱を持っている。右の奥の歯茎も、時々腫れる。
治療内容
上の歯は、4本残っており、左右にブリッジが入っていました。それぞれのブリッジの支台になっている奥の2本の歯が、問題を起こし、歯根のまわりの骨が大きく失われていて残せない状況でした。その2本は抜歯しました。残りの歯は、左右の犬歯の2本。患者さんは、嘔吐反射が強く、馬蹄形の義歯を希望されたため、残っている2本を利用したマグネット式入れ歯にしました。
所感
マグネット式入れ歯は、支台になる歯が4本で左右に台形のように配置されている場合が、最も機能的には理想です。今回は、2本支台でしたが、十分に動かない義歯になり、患者さんは「入れ歯が動かないので、何でもよく食べられます。入れ歯が小さいので、とても使いやすいです。」と、とても喜んでくださいました。
費用
チタン製義歯:¥240,000(税別)
マグネット2個:¥51,000×2=¥102,000 (税別)
合計:¥342,000(税別)

女性Sさん 70代 (マグネット式入れ歯)
主訴
上の入れ歯の安定が悪い。良く噛めない。
治療内容
左上に並んで3本の歯が残っていて、それらの歯にバネがかかった部分入れ歯が入っていました。義歯で対応する場合、これら3本を利用したマグネット式入れ歯が、最も優れていることを説明したところ、同意されましたので、マグネット式入れ歯を作成しました。
所感
マグネット式入れ歯の支台になる歯は、理想的には4本で離れた位置に存在し、台形のように配置されているのが、一番よく、義歯のかたちを馬蹄形にすることが出来ます。しかし、この症例の場合、3本の歯が左に並んで残っていたため、義歯のかたちは、馬蹄形ではなく、通常の総義歯の形の方がより安定を得られることを説明し、同意していただけましたので、通常の総義歯のかたちにしました。
費用
チタン製義歯:¥240,000(税別)
マグネット3個:¥51,000×3=¥153,000 (税別)
合計:¥393,000(税別)

女性Aさん 80代 (マグネット式入れ歯)
主訴
上の総義歯をマグネット式入れ歯にしたい
治療内容
上顎に2本残っていた歯を利用して、マグネット式入れ歯にしました。
所感
現在の入れ歯だと、「喋りにくく、ひとによく聞き返される。」との事。ニュースレターを見て、馬蹄形のマグネット式入れ歯にしたら、「発音がはっきりするのではないか。」と、マグネット式入れ歯を希望されました。
治療後、
・食事がしやすくなった。
・口の中が広くなり、とても楽。
・話しやすくなり、ひとに聞き返されることがなくなった。
・入れ歯が、動かないのでとても良い。
と、とても喜んでくださいました。
マグネット式入れ歯は、残っている歯が、少なくなってきた時に、それらの歯を有効に使い、歯への負担を軽減し歯を長持ちさせ、かつ、とても安定の良い使い心地のいい入れ歯です。
残っている歯が少なくなってきた時には、最良の方法だと思います。
費用
チタン製義歯:¥240,000(税別)
マグネット2個:¥51,000×2=¥102,000 (税別)
合計:¥342,000(税別)

女性Tさん 60代 (マグネット式入れ歯)
主訴
上の部分入れ歯の安定が悪いので食事がおいしくできない
治療内容
上に残っていた4本の歯を利用してマグネット式入れ歯にしました。
所感
以前は、残っている歯にバネをかける部分入れ歯が入っていましたが、硬いものは良く噛めず、「入れ歯だから仕方がない。」と、諦めていたそうです。治療後「上の歯は、ぴったりで食事も(硬いもの)以前よりよくかめるようになりました。下の歯もお願いすることになりました。」と、とても感激してくださいました。歯が残り少なくなってきた時には、マグネット式入れ歯は、それらの歯を有効に利用するとてもいい方法です。残っている歯にバネをかけないので、歯への負担が軽減され残っている歯が長持ちし、見た目もバネがかかっていないので、とてもきれいです。
費用
チタン製義歯:¥240,000(税別)
マグネット4個:¥51,000 ×4本=¥204,000 (税別)
合計:¥444,000(税別)

男性 Nさん 60代 (マグネット式入れ歯)
主訴
歯周病とむし歯でひどい状態なので、何とかしたい。
治療内容
歯周病とむし歯で深刻な状態でした。幸い上顎4本、下顎4本の歯を残すことが出来、それらを利用してマグネット式入れ歯にしました。
所感
患者さんは、インプラント治療を希望され来院されましたが、CTを撮影してみると、インプラントを埋入することが困難なことがわかり、マグネット式入れ歯の治療で進めることにしました。治療後「上下マグネット総義歯にしました。義歯と歯ぐきが磁石でしっかり固定される為、食事中に義歯のぐらつきやずれが無くとても快適です。また、一般的な総義歯に比べかなり小さいので、口の中での違和感が無く、会話も楽です。今、使っている総義歯に満足できない方には是非、おすすめしたいです。思っていた以上に便利です。」と、とても感激していただきました。マグネット式入れ歯は、残っている歯が少なくなってきた時に、それらの歯を有効に使うとてもいい方法です。見た目も綺麗になりますし、ほとんど動かない義歯になりますので、何でも食べられるようになり食事も楽しく快適になります。
費用
【上顎】
チタン製義歯:¥240,000(税別)
マグネット4個:¥51,000 ×4本=¥204,000 (税別)
【下顎】
チタン製義歯:¥240,000(税別)
マグネット4個:¥51,000 ×4本=¥204,000 (税別)
合計:¥888,000(税別)

女性 Nさん 50代 (マグネット式入れ歯)
主訴
上の歯がグラグラのところがあり、全体をきちんと治したい。
治療内容
全体的に歯周病が進んでいましたので、歯周病の治療をしました。どうしても残せない歯が2本ありましたので抜歯し、残っている歯をすべて根管治療し、マグネット式入れ歯にしました。
所感
患者さんは、前歯にオールセラミックを被せ、歯のないところに保険外のチタン製の部分入れ歯を希望されましたが、口元をきれいに改善するには、マグネット式入れ歯が適していること、かつ費用も安く済むことを説明しました。患者さんと十分に相談したところ「マグネット式入れ歯にしたい!」という事になりました。
治療後、「きれいな歯で、入れ歯を入れているという感じが少なくて良いです。口の中が楽な感じです。
もっと口の中に入れ歯が入ってる感じがあると思っていたのですが、ぜんぜんなくて、この入れ歯にして良かったです。」と、とても喜んでくださいました。
費用
チタン義歯:¥240,000(税別)
マグネット4個:¥51,000 ×4本=¥204,000 (税別)
合計:¥444,000(税別)

女性 Kさん 70代 (マグネット式入れ歯)
主訴
現在使っている上の入れ歯が、話しづらく、発音しにくいので、新しい入れ歯を作りたい、ということで来院されました。
治療内容
左上の、冠(クラウン)を被せた奥歯が、むし歯になっていました。根管治療を行なったあと、冠(クラウン)を被せなおすのではなく、マグネット式入れ歯の支台として利用し、チタン製のマグネット・部分入れ歯を入れました。
所感
患者さんは、左上の奥に残っている歯にセラミックを被せて、チタン製の一般的な部分入れ歯を希望して来院されましたが、その歯をマグネット式入れ歯の支台として利用する方が、
①より安定した入れ歯になり、
②その歯を有効に使えることができ、
③その歯を長持ちさせることができる上に、
④費用が安上がりであること(約3万円)
を説明したところ、マグネット式に入れ歯をお入れすることになりました。
治療後、「以前の入れ歯に比べ、口の中が広くなったように感じ、とても話しやすくなり、食べものもおいしく食べられます!」と、とても喜んでくださいました。
費用
チタン部分入れ歯:¥260,000(税別)
マグネット:¥51,000(税別)
合計:¥311,000(税別)

女性 Tさん 50代 (マグネット式入れ歯)
主訴
上の歯のないところに入れ歯をいれたい。
治療内容
患者さんは、金属のバネが見えない、自然に見える入れ歯を希望されました。上右の2本の歯、上左の1本の歯を利用し、磁力で安定させる『マグネット式入れ歯』を入れました。
所感
「金属のバネが見えないので、とても自然です!」と、とても喜んでくださいました。
費用
マグネット3個:¥51,000×3=¥153,000(税別)
チタン義歯:¥260,000(税別)
合計:¥413,000(税別)

女性 Iさん 50代 (マグネット式入れ歯)
主訴
右上の犬歯が1週間前に抜け、他の歯も動いている。全体的にきちんと治したい。
治療内容
歯周病が進行して、どうしても残すことが出来ない歯が、上顎に4本、下顎に2本ありましたので、合計6本抜歯しました。上顎4本、下顎4本の歯を利用して上下マグネット式入れ歯にしました。
所感
歯周病が進行して、深刻な状態でした。残せる歯を利用し、歯への負担が少ないマグネット式入れ歯にしました。マグネット式入れ歯は、義歯の動きがないので硬いものでもよくかむことができます。患者さんは、治療前、しばらくの間良く噛むことが出来ず、胃腸の調子が悪いことがあったそうですが、治療後は、「食欲が出てきました。」と、とても喜んでくださいました。
費用
・上顎
チタン製義歯 ¥259,200
マグネット4個 ¥55,080×4=¥220,320
小計:¥479,520
・下顎
チタン製義歯 ¥259,200
マグネット4個 ¥55,080×4=¥220,320
小計:¥479,520
上下合わせて¥959,040

男性 Sさん 60代 (マグネット式入れ歯)
主訴
上の義歯の作成希望。以前作製したが、嘔吐反射が強く入れておくことが出来ず使わなかった。
治療内容
残っている3本の歯を利用してマグネット式入れ歯を作成。
所感
患者さんは、嘔吐反射が強く、以前の入れ歯は、装着すると吐き気を催し、入れておくことが出来なかったそうです。マグネット式入れ歯は、口蓋の部分を小さくすることが出来、かつチタンを使うので口蓋の所の厚みを薄くすることが出来ます。(チタン製義歯:0.5mm以下、プラスチック義歯:2mm以上)また、入れ歯の動きがないので、「何でも食べられる。」と、とても喜んでくださいました。
上顎マグネット式入れ歯(マグネット3個):¥424,440

男性 Nさん 60代 (マグネット式入れ歯)
主訴
むし歯や歯周病で、被せものがが取れたり、歯が折れたり、ぐらぐらしている。
治療内容
レントゲンを撮ってみると、歯周病とむし歯が深刻な状態でした。上顎7本残っていたうちの3本の歯を、どうしても残すことが出来ず抜歯しました。残り4本の歯を利用しマグネット式入れ歯にしました。
所感
「治療に時間がかかりましたが、根の治療をしっかりやっていただいたので、とても安心できました。マグネット式入れ歯の使い心地も 仮義歯の時に比べ義歯が小さくなった為か、しゃべる時、サ行の発音が楽になり、又 物を噛む時 義歯が外れてパカパカする事もなく、とても楽になりました。想像以上に便利になりました。」と、とても喜んでくださいました。
患者さんは、最初インプラント治療を希望されましたが、骨の量が全く足りず、方向を転換しマグネット式入れ歯を提案しました。これから下顎をマグネット式入れ歯にする治療に取り掛かります。
上顎マグネット式入れ歯(マグネット4個):¥479,520

男性 Iさん 40代 (マグネット式入れ歯)
主訴
上前歯のブリッジが何度もとれているので、何とかしたい。
治療内容
患者さんは、金属のバネが見えない入れ歯にしたいという事でしたので、残っている歯を利用してマグネット式入れ歯にしました。
所感
残っている歯は、8本ありました。そのうち4本の歯を利用してマグネット式入れ歯にしました。マグネット式入れ歯は、とても安定が良く、入れ歯を小さくすることが出来ます。患者さんは、嘔吐反射がとても強い方でしたが、「違和感が少なく快適です。」と喜んでくださいました。
チタン義歯¥259,200 マグネット¥55,080×4本=¥220,320合計¥479,520

男性 Oさん 40代 (マグネット式入れ歯)
主訴
上の歯がないところを何とかしたい。
治療内容
上の歯3本を利用したマグネット式入れ歯にしました。1本は左上奥の残根状態の歯と2本は左右小臼歯です。2本の左右の小臼歯は長い間、歯がないままにしていたため、大きく移動し正常な位置にありませんでした。3ほんの歯の根管治療をし、マグネット式部分入れ歯のキーパー(支台)として使いました。
所感
患者さんは、「だいぶ以前に、上に部分入れ歯を入れたことがありましたが、入れていると吐き気を催し、入れておくことが出来ませんでした。今回の入れ歯は、口蓋のところも薄く小さいので異物感が少なく、また入れ歯が全く動かないので何でも食べられます。」と、とても喜んでくださいました。マグネット式部分入れ歯は、全く外れず、横揺れもなく、キーパーで咬合力をしっかり受け止めるので、硬いものでも食べられます。また、バネが残っている歯にかからないので、見た目もとても自然です。
(チタン製の部分入れ歯¥280,800 マグネット¥55,080×3本=¥165,240)合計¥446,040

男性 Tさん 70代 (マグネット式入れ歯)
主訴
右上の歯のないところに、歯をいれたい。
治療内容
以前、右上2本歯のないところにブリッジがはいっていました。しかし、ブリッジの支台になっていた1本の歯が、歯根の破折を起こし歯のまわりの骨が全くなくなり抜歯になりました。ブリッジの支台のもう1本の歯を利用しマグネット式入れ歯をいれました。
所感
患者さんは、初めての部分入れ歯でしたが、「想像していたより違和感がない。」と喜んでくださいました。
(チタン製の部分入れ歯¥280,800 マグネット¥55,080×1本=¥55,080)合計¥335,880

女性 Kさん 70代 (マグネット式入れ歯)
主訴
上の入れ歯が壊れたので新しく作りたい。
治療内容
残っている4本の歯を利用し、マグネット式入れ歯を作成しました。
所感
上に5本の歯が残っていました。このうち4本を利用しマグネット式入れ歯にしました。患者さんは、「入れ歯が全く動かず、なんでも食べられる。」と、とても喜んでくださいました。マグネット式入れ歯は、残っている歯が少なくなってきたときに、それらの歯を有効に利用して安定のいいよく噛める入れ歯にすることができる、とても良い方法だと思います。
(チタン製の総入れ歯¥259,200 マグネット¥55,080×4本=¥220,320)合計¥479,520

男性Fさん 60代 (マグネット式入れ歯)
主訴
上の前の差し歯がとれた。
治療内容
上前歯の6本つながったブリッジがむし歯になり、とれていました。上には合計8本歯が残っていましたが、3本はむし歯がひどく抜歯しました。5本残っている歯の状態が悪く、再度ブリッジにした場合、長持ちしないと判断し、残っている歯5本を利用したマグネット式入れ歯を作成しました。
所感
この患者さんは、嘔吐反射の強い方でした。マグネット式入れ歯にし、口蓋のところを小さくできたので、「吐き気を催すことが全くなく、心地よく食事出来ます。」と、とても喜んでくださいました。マグネット式入れ歯は、残っている歯が少なくなった時、それらの歯を有効に活用してよく噛める義歯にすることができます。
(チタン製の総入れ歯¥259,200 マグネット¥55,080×4本=¥220,320)合計¥479,520

女性Kさん 70代 (マグネット式入れ歯)
主訴
下の入れ歯を新しくしたい。
治療内容
下の2本の犬歯を利用した部分入れ歯が入っていました。その2本の歯がむし歯になり、被せものがとれたため、部分入れ歯が、動いて安定が悪くなって、歯茎のあちこちが痛い状態でした。犬歯の根管治療をし、その2本を利用したマグネット式入れ歯にしました。
所感
「下の入れ歯が、全く動かず、痛いところもなく、何でも食べられます。」と、とても喜んでくださいました。
マグネット式入れ歯は、残っている歯が少なくなってきた時、その歯を有効に使い、安定の良い入れ歯を作ることができる、とても良い方法だと思います。
(チタン製の部分入れ歯¥280,800 マグネット¥55,080×2本=¥110,160)合計¥390,960

男性Oさん 60代 (マグネット式入れ歯)
主訴
下の部分入れ歯が動きやすくなり、歯茎にあたっていたい。
治療内容
下の右前歯が3本、左下奥歯1本の合計4本が残っていました。歯抜けのところには、部分入れ歯がはいっていました。前歯3本の被せものが、むし歯になっていました。残っている4本の歯を利用してマグネット式入れ歯にしました。
所感
今までの保険の部分入れ歯は、ちょっと固いものを食べると歯茎が痛くなっていたそうです。マグネット式入れ歯にしてからは、「入れ歯が全く動かないので、しっかり咬むことができ、とても快適だ。」と言って喜んでくださいました。
(チタン製の総入れ歯¥259,200 マグネット¥55,080×4本=¥220,320)合計¥479,520

男性Uさん 60代 (マグネット式入れ歯)
主訴
上の前歯がとれてしまいました。歯がボロボロなので何とかしてほしい。
治療内容
上の2本の歯は、どうしても残すことができず抜歯しました。6本の歯を根管治療後マグネット式入れ歯にしました。
所感
仮の入れ歯の時は、嘔吐反射が強くなじめませんでしたが、マグネット式入れ歯を装着後「以前の入れ歯と比べると、がたつきが全くなくて安定しています。上あごの部分もあいているのでとても楽です。何年かぶりでよく噛んで食べることができるようになりました。本当にこの入れ歯にしてよかったぁ~!」と、とても喜んでくださいました。
(チタン製の総入れ歯¥259,200 マグネット¥55,080×4本=¥220,320)合計¥479,520
























