患者様の声【インプラント】
- なしき歯科医院TOP
- » 患者様の声【インプラント】
入れ歯を入れて数年後でも、インプラントに変えることができます
「以前、歯が抜けたときに入れ歯を選んだけど、やっぱりインプラントにしておけばよかった…」
「抜歯が嫌でしばらく様子を見てみたけど、もうインプラントはできないのかな…」
入れ歯を入れていて、ごはんがおいしく食べられない、痛みがある、生活に不自由が出る等があれば、その時にインプラントに変えることも可能です。また、どの治療にするか迷って(あるいは抜歯がこわくて)時間が経ってしまった場合でもインプラントは可能です。
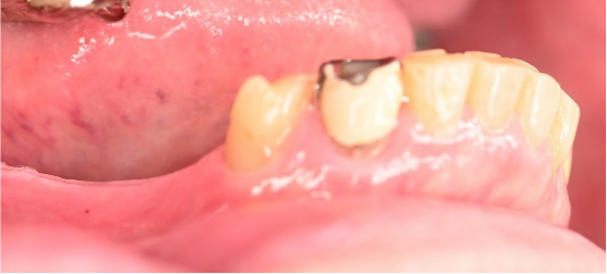
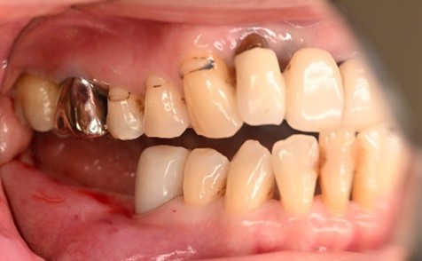
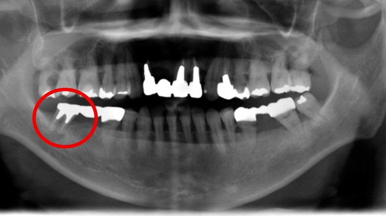
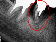
今年の1月、70歳代女性のYさんが来院されました。
「右下の1番後ろの歯が浮いたような感じで、グラグラしていて噛むと痛みもあります。」とのこと。レントゲンで詳しく調べると、噛み合わせの問題と歯周病の進行が原因で、奥歯の周りの骨がなくなってしまっていました。この歯は残念ながら抜歯になることをYさんにお話しし、他の歯が多く残っているので、インプラント治療をおすすめしました。(インプラントは他の歯に負担をかけないので、残っている歯を守ることができます。)

この時はYさんはしばらく様子を見ることにされましたが、5月に再び来院され、「インプラントをお願いします」と決心してくださいました。合計2本のインプラントを入れ、Yさんは、「左右の歯で食べ物が噛めるようになり本当に良かったです。今後も歯を大切にしたいと思います。」と、とても嬉しそうにされていました。
ブリッジや入れ歯などの治療を選んだ数年後に、「インプラントにしてみたい」と、再度思い立って行うことは可能です。
入れ歯になじめない、入れ歯の支えになっている歯がグラグラする、何年か前にブリッジにしたところが噛むと痛い、などお困りの症状がある方、気になることがある方、お気軽にご相談ください。
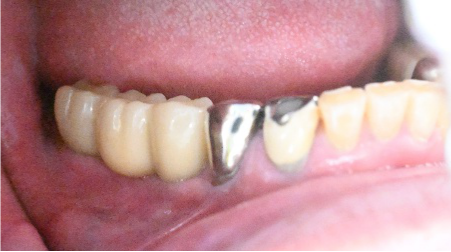
男性 Kさん 60代 (インプラント)
主訴
右下に1本の義歯を入れていたが、インプラントにしたい。
治療内容
インプラントを埋入しました。
所感
2026年2月9日にインプラント埋入手術をし、5月1日に最終的な被せ物を入れました。ブリッジや義歯は、歯がないところに掛かる力を、他の歯が支えることになります。インプラントは、他の歯に負担をかけることはありません。一本欠損になってしまったときは、1本だけインプラントを入れて、他の歯を護り、それ以上歯を失わないことが大切になります。
インプラント:¥363,000(税込)
Before
After
男性 Tさん 60代 (インプラント)
主訴
右上前歯が、グラグラ動く。
治療内容
歯根の周りの骨がなくなって、歯根の先端は歯肉から露出していました。保存不可能と判断し、抜歯しました。大きく骨が欠損していましたので、骨造成後、インプラントを埋入しました。
所感
長い間、大きく動揺がある状態で放置していましたので、歯根の周りは大きく骨が欠損していました。抜歯と同時に骨造成を行い、半年経過後、骨ができていることを確認してからインプラントを埋入しました。
骨造成:¥55,000(税込)
インプラント:¥363,000(税込)
合計:¥418,000(税込)
Before
After
男性 Nさん 70代 (インプラント)
主訴
上の入れ歯、動かなくて良いのですが、食事するのに時間がかかる。
治療内容
上顎全顎インプラント治療をしました。6本インプラントを埋入しました。
所感
「今の入れ歯、きっちりはいって動きがなく噛めるには噛めるけど、食べ物を小さくして食べても、時間がかかってしまう。まだ70歳だからもっともっと何でも食べたい。」という患者さんからのご相談がありました。お口の中を診ますと下顎は自分の歯、上顎がマグネットを利用したしっかり動かない総義歯です。歯がないところを補う方法で入れ歯を選択した場合、この方法は最良でしたが、口蓋をすべて覆う総義歯です。患者さんは「自分の歯のように何でも自由に食べたい。」という強い願望がありましたので、インプラント治療を詳しく説明しました。インプラントの提案を、お家へ持ち帰り奥様と相談した結果、上顎すべてのインプラント治療をすることを決断されました。実は、奥様もうちの医院でインプラント治療をし、自分の歯と同じ感覚で噛むことができることを実感されていましたので、強く勧められたのだと思います。
治療後、病院に胃カメラの検査に行った際、「凄くきれいな歯ですね!!」と、看護師さんに褒められたそうです。「硬い物もよく噛めるし、口の中が広くなって良いわ!」と嬉しそうに話してくださいました。
全顎インプラント治療:¥3,280,000(税込)
Before
使用していたマグネットを利用した総義歯
After
女性 Fさん 60代 (インプラント)
主訴
右下奥のブリッジが動く。
治療内容
右下のブリッジの支台になっている後方の歯が、歯根破折を起こしていましたので抜歯しました。インプラントを右下第一大臼歯部に1本埋入しました。
所感
右下のブリッジの支台になっている第二大臼歯が歯根破折を起こしていました。抜歯後欠損を補う方法には部分入れ歯かインプラントがあります。もし部分入れ歯を選択されていましたら、初めての入れ歯で自分の歯と同じ感覚で噛むことができないので、おそらく使わない入れ歯になっていたことが、想像できます。2本欠損でしたが、1本だけの埋入を希望されました。インプラントは、欠損を補う最良の方法と考えます。
インプラント1本:¥363,000(税込)
Before
抜歯後
After
男性 Yさん 60代 (インプラント)
主訴
右下の奥歯の歯肉が痛い。時々血が出たり、腫れたりする。
治療内容
右下のブリッジの支台になっている前方の歯が、歯根破折を起こしていましたので抜歯しました。インプラントを右下第一、第二大臼歯部に2本埋入しました。
所感
実はこの患者さんは、2014年に右下の第二大臼歯(一番奥の歯から2番目の歯)を歯根破折により抜歯し、その際の治療法としてブリッジを選択されました。そして今回、ブリッジを支えていた歯(第一大臼歯)がついに歯根破折を起こしてしまいました。
ブリッジは、3本分の歯を2本の歯で支えるため、支える歯の負担が大きくなり、歯根破折を起こす危険性が高くなります。
今回の抜歯後は、歯が2本ない状態になるので、そこを補う方法についてご説明しました。選択肢は再度ブリッジを入れるか、インプラントになります。ブリッジにして支える歯がまた折れてしまうと歯が3本ない状態になる可能性があるため、インプラントを選択されました。もし11年前にブリッジではなくインプラントを選んでおられたら、今回の歯根破折や抜歯は起きなかったかもしれません。ブリッジは、噛む力の強い方、歯ぎしりをする方、硬い食べ物が好きな方は、支えの歯の負担がより大きくなるのでおすすめできません。
インプラントは、それ自身が単独で植立しているので、他の歯に負担がかかりません。インプラントは、欠損を補う最良の方法と考えます。
インプラント2本:¥726,000(税込)
Before

抜いた歯 真二つにわれています
After
女性 Tさん 60代 (インプラント)
主訴
右下の奥歯が、噛むと痛い。
治療内容
右下のブリッジの支台になっている後方の歯が、歯根破折を起こしていましたので抜歯しました。インプラントを右下第一大臼歯部に1本埋入しました。
所感
右下のブリッジの支台になっている後方の歯は、第一大臼歯を半分残してブリッジの支台として使っていました。それが歯根破折を起こしていました。
抜歯後欠損を補う方法には再度ブリッジ、1本の部分入れ歯、そしてインプラントがあります。
ブリッジと部分入れ歯は、歯がないところの負担を支台になっている歯が支えます。支台になっている歯の負担は大きくなりますので、今回のような問題を生じる危険性があります。
インプラントは、それ自身が単独で植立しているので、他の歯に負担がかかりません。インプラントは、欠損を補う最良の方法と考えます。
インプラント1本:¥363,000(税込)
Before
抜歯後
After
女性 Nさん 60代 (インプラント)
主訴
右上の歯がないところに、歯を入れたい。
治療内容
インプラントを右上第一大臼歯部に1本埋入しました。
所感
右上の欠損を補う方法は、部分入れ歯かインプラントです。もし部分入れ歯を選択されていたら、使わない入れ歯になっていたことが予想されます。インプラントにして正解だと考えます。
インプラント1本:¥363,000(税込)
Before
After
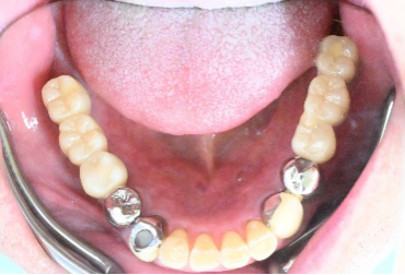
男性 Kさん 60代 (インプラント)
主訴
下の左右歯がないところに歯を入れたい。
治療内容
左右それぞれ3本歯がないところに2本ずつインプラントを埋入しました。
所感
上と下の歯の咬合接触がないすれ違い咬合です。上下義歯で対応するには最も難しいタイプの欠損状況です。治療開始前は、上下部分入れ歯が入っていましたが、入れ歯の安定が悪く、あちこちの歯茎に入れ歯が当たって痛く、満足に噛める状態ではありませんでした。上顎は、残ってる歯を活用するマグネット式総義歯を、下顎はインプラントを提案しました。上顎は、現在残っている歯の根管治療中です。上顎にマグネット式総義歯がはいれば、何でも食べられるようになります。
インプラント4本:¥363,000×4本=¥1,452,000(税込)
ポンティック2本:¥115,500×2本=¥231,000(税込)
合計:¥1,683,000(税込)
Before
▼初診時に使用していた部分入れ歯を装着したところ
▼インプラント埋入前
After
▼インプラント埋入後
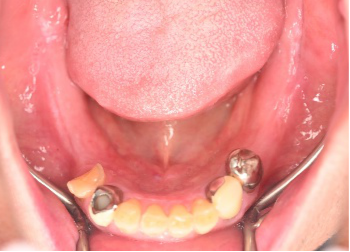
男性 Nさん 70代 (インプラント)
主訴
右下奥の歯が、グラグラして噛むと痛い。
治療内容
歯根の周りの骨が全く無い状態でしたので、保存することができず抜歯しました。3本歯がないところに2本インプラントを埋入しました。
所感
抜歯後、歯がなくなったところを補う方法には、部分入れ歯とインプラントがあります。この症例の場合、右下以外ほとんど歯が残っていますので、もし部分入れ歯にした場合、入れ歯のところで他のところと同じ感覚で噛むことができないので、慣れることが大変です。また部分入れ歯の支えになっている歯に負担がかかりますので、今後さらに歯を失う可能性が大きくなります。インプラントは、自分の歯と同じ感覚で噛むことができ、単独で植立していますので他の歯に負担がかかることがありませんので、更に歯を失うことを防ぎます。
インプラント2本:¥363,000×2本=¥726,000(税込)
ポンティック1本:¥115,500(税込)
合計:¥841,500(税込)
Before
※赤丸を抜歯しました。
After
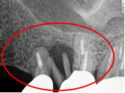
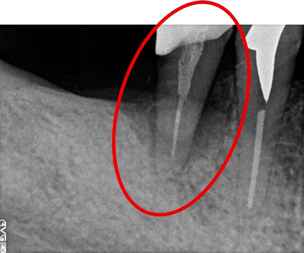
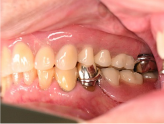
男性 Eさん 80代 (インプラント)
主訴
左上2本が動いていて、噛むと痛みがある。歯がないところに歯を入れたい。
治療内容
左上第二小臼歯と第一大臼歯の歯根が破折していたため、保存することができず抜歯しました。第一小臼歯は、すでにありませんでしたので、2本抜歯後3本欠損のところにインプラントを2本埋入しました。
所感
2006年10月に右下と左下の欠損部分にインプラント治療をしました。今回も左上の歯を失ったところは、インプラント治療を希望されました。
インプラント2本:¥363,000✕2本=¥726,000(税込)
ポンティック1本:¥115,500(税込)
合計:¥841,500(税込)
Before
※赤丸は、歯根が破折していたため抜歯しました
※黄色丸は、2006年10月に埋入したインプラント
After
※緑丸は、今回埋入したインプラント
※黄色丸は、2006年10月に埋入したインプラント
男性 Kさん 60代 (インプラント)
主訴
左上、歯が割れて抜歯しました。その後何も入れていません。このままでいいのでしょうか?
治療内容
インプラントを埋入しました。
所感
歯がなくなったところは、このままにしておきますと、時間とともに歯が移動して歯並びが乱れますので、補うものを入れる必要があります。治療方法について説明しました。
(1)取り外しのバネ式部分入れ歯
(2)歯がないところの両側を削ってつなげるブリッジ
(3)インプラント(それ自身単独で植立し他の歯に負担がかからないし、自分の歯と同じ感覚で噛むことができる)
患者さんは、インプラントを選択されました。インプラントは、他の歯に負担がかからないので、更に歯を失う可能性が低くなりますので、最も良い選択だと考えます。
インプラント1本:¥363,000(税込)
Before
After
女性 Cさん 60代 (インプラント)
主訴
左下がぐらついて、噛むと痛い。歯がないところに以前部分入れ歯を入れたが、思うように使えなかったので、インプラントを入れたい。
治療内容
レントゲンで詳しく診てみると、左下の動いている歯、右下の一番奥は、保存することができず、抜歯しました。左下の抜歯したところは、骨造成後、左に2本、右に2本インプラントを埋入しました。
所感
左下の抜歯したところは、大きく骨が欠損していましたので、骨造成をしました。5か月間待ってからインプラントを埋入しました。骨をきちんと作ってから埋入して、正解でした。今回もX-Guideを使った埋入で、安心安全に行うことできました。
骨造成:¥55,000(税込)
インプラント4本:¥363,000×4本=¥1,452,000(税込)
ポンティック1本:¥115,500(税込)
合計:¥1,622,500(税込)
Before
赤丸は抜歯しました
【抜歯後】
【骨造成前】
【骨造成後】
After
男性 Uさん 50代 (インプラント)
主訴
左下一番奥が動いて気になる。
治療内容
レントゲンで詳しく診てみると、第二大臼歯の歯根が真っ二つに割れていることがわかりました。保存することができず抜歯しました。抜歯後、骨造成し、インプラントを埋入しました。
所感
抜歯後、歯がなくなったところの対処法として
(1)取り外しの部分入れ歯
(2)インプラント
(3)何も入れない
という3つの選択があります。
(1)の部分入れ歯は、一番奥1本だけの入れ歯です。他の歯がほとんど残っている、かつ一番咬合力がかかるところですので、作ったとしても使わない入れ歯になってしまいます。
また(3)の何も入れないという選択は、対合歯(上の噛みあう歯)が、すぐにではありませんが、時間の経過とともに、挺出(ていしゅつ:歯が下のほうに移動してくる)して歯並びがみだれてきます。
自分の歯と同じ感覚で食事できるインプラントにして正解だと考えます。
骨造成:¥55,000(税込)
インプラント1本:¥363,000(税込)
合計:¥418,000(税込)
Before
After
女性 Hさん 60代 (オールセラミック冠・インプラント)
主訴
右下のブリッジがゆらゆら動く。
治療内容
ブリッジの支台になっている奥の歯が、被せ物の中で虫歯になり、支台の役割を果たさず、前方の歯のみで支えられていました。前方の歯をそのままにして、後方の部分を切り離すと、そのまま取れてきました。中は、虫歯で歯根しか残っていない状況でした。この歯は、根管治療後、単独でオールセラミック冠を被せ、歯のないところにインプラントを埋入しました。
所感
今回の治療法には、次の3つの方法があります。
(1)虫歯になっていた歯の根管治療をし、土台を入れ、また再びブリッジにする。しかし、虫歯になっていたほうの歯は、ブリッジの支台として使うには、心もとなく長持ちしない可能性が高く、今度問題が生じたときには抜歯になる。
(2)虫歯になっていた歯に、単独で被せ物をし、歯のないところに1本だけの部分入れ歯を入れる。取り外しの入れ歯なので、自分の歯のような感覚で噛むことはできない。この方法も歯のない部分の負担を欠損の両側の歯に負担してもらうため、長持ちしない可能性が高い。
(3)虫歯になっていた歯に、単独で被せ物をし、歯のないところにインプラントを埋入する。欠損している部分の負担を前後の歯に負担させないので、歯を守ることができる。また、自分の歯と同じ感覚で食事をすることができる。
患者さんは、3つ目の方法を選択されました。一番長持ちし、これ以上歯を失わないためには、最良の方法だと考えます。
オールセラミック冠(失活歯):¥104,500(税込)
インプラント:¥363,000(税込)
合計:¥467,500(税込)
Before

冠の中で大きな虫歯になり支台の役割を果たしていませんでした。
【インプラント埋入前】

冠はブリッジを切断しただけで取れてきました。軟化象牙質を取り除いたところ、歯根しか残っていない状況で保存できるかどうかのぎりぎりのところでした。
After
女性 Mさん 40代 (インプラント)
主訴
右上2本(第1第2小臼歯)の虫歯を治したい。
治療内容
レントゲンで詳しく診てみると、虫歯が歯根のほうまで進行し、保存することができないことがわかり、抜歯しました。抜歯後、骨が大きく欠損していましたので、骨造成を行いインプラントを2本埋入しました。
所感
抜歯後の欠損したところを補う方法には、部分入れ歯、ブリッジ、インプラントがあることを説明したところ、自分の歯と同じような感覚で嚙むことができるインプラントを選択されました。この方は、2016年に右下にインプラント治療をし、インプラントの良さを十分に理解しておられましたので、今回も2本歯を失ったところにインプラント治療を希望されました。今回もX-Guideを使った埋入で、安心安全に行うことできました。
インプラント2本:¥363,000×2本=¥726,000(税込)
骨造成:¥55,000(税込)
合計:¥781,000(税込)
Before

【抜歯後】
After
女性 Oさん 60代 (インプラント)
主訴
右上(第2小臼歯)の臭いが気になる。
治療内容
レントゲンで詳しく診てみると、歯根が真っ二つに割れていることがわかりました。臭いは、割れているために炎症を引き起こし、そこからの膿が原因でした。保存することができず抜歯しました。抜歯後、インプラントを埋入しました。
所感
抜歯後、ブリッジ、部分入れ歯の選択肢もありましたが、2013年に右下にインプラント治療をし、インプラントの良さを十分に理解しておられましたので、今回も1本歯を失ったところにインプラント治療を希望されました。歯根破折が原因で抜歯になった方ですので、もしブリッジにしていたら再度歯根の破折を引き起こし、さらに歯を失う可能性が、高い方でした。インプラントは、それ自身が単体で植立し、単独で咬合力を負担します。ブリッジや部分入れ歯のように他の歯に歯がない部分の負担を負わせることがないので、他の歯を守ります。インプラントにして正解だと考えます。今回もX-Guideを使った埋入で、安心安全に行うことができました。
インプラント1本:¥363,000(税込)
Before

歯根が真っ二つに割れていました

抜いた歯
【抜歯後】
After
男性 Iさん 60代 (インプラント)
主訴
左上の歯茎が腫れて、噛むと痛い。
治療内容
ブリッジの支台になっている前方の歯が、歯根の破折を起こしていました。真っ二つに割れていましたので、保存することができず抜歯しました。抜歯後2本欠損のところに、2本インプラントを埋入しました。
所感
抜歯後、ブリッジ、部分入れ歯の選択肢もありましたが、「自分の歯と同じように食事ができるインプラントでお願いします。」とおっしゃられました。咬合力がとても強い方でしたので、もし再度ブリッジにしていたら再度歯根の破折を引き起こし、さらに歯を失っていた可能性が高い方でした。インプラントは、それ自身が単体で植立し、単独で咬合力を負担します。ブリッジや部分入れ歯のように他の歯に負担を負わせることがないので、他の歯を守ります。インプラントにして正解だと考えます。今回もX-Guideを使った埋入で、安心安全に行うことができました。
インプラント2本:¥363,000×2本=¥726,000(税込)
Before

歯根が真っ二つに割れていました

抜いた歯
【抜歯後】
After
男性 Nさん 50代 (インプラント)
主訴
左上の歯がグラグラで、歯茎が腫れている。
治療内容
歯周病が進行し、保存することができず抜歯しました。大きく骨が欠損していましたので、骨造成後インプラントを埋入しました。
所感
抜歯後、ブリッジ、1本義歯の選択肢もありましたが、インプラントを選択されました。治療後「初めての治療でしたが良かったです。今後もし歯を失うことがあったら、インプラントをしようと思いました。」という感想をいただきました。今回もX-Guideを使った埋入で、安心安全に行うことできました。
骨造成:¥55,000(税込)
インプラント1本:¥363,000(税込)
合計:¥418,000(税込)
Before
【抜歯後】
After
女性 Kさん 50代 (インプラント)
主訴
左下の抜けているところに歯を入れたい。
治療内容
インプラントを2本埋入しました。
所感
以前、1本歯がないところを、欠損の両側に被せ物をしてつないだブリッジでした。その2本のうちの前方の歯が歯根の破折を起こし、抜歯になり2本の欠損になりました。この2本の欠損を補う方法には、部分入れ歯、再度ブリッジ、インプラントの3つの方法があります。部分入れ歯もブリッジも欠損部分の負担をほかの歯に負わせるため、支台になった歯は負担が大きくなり、虫歯、歯周病、歯根破折の危険性が高まり、さらに歯を失うことになります。インプラントは、それ自身が単体で植立しているため他の歯に負担を負わすことがありませんので、咬合を回復させるだけではなく、他の歯を守る役割もあります。今回もX-Guideを使った埋入で、安心安全に行うことできました。
インプラント2本:¥363,000×2本=¥726,000(税込)
Before
After
男性 Mさん 60代 (インプラント)
主訴
左上の歯がぬけてきた。
治療内容
歯根が、長い間で徐々に吸収し、自然脱落していました。抜け落ちたところは、インプラントを1本埋入しました。
所感
2022年12月に左前歯が歯根破折を起こして抜歯しました。歯がなくなったところは、インプラント治療をして、インプラントの良さを実感しておられましたので、今回も左上の抜けたところを補う方法に、ブリッジではなくインプラントを選択されました。今回もX-Guideを使った埋入で、安心安全に行うことできました。
インプラント1本:¥363,000(税込)
Before
After
女性 Kさん 50代 (インプラント)
主訴
左下の被せ物がとれてしまい、歯茎が腫れている。
治療内容
歯根が破折していましたので、抜歯しました。抜歯後インプラント治療を希望されました。歯根が破折していた状態で1年以上経過していましたので、大きく骨が欠損していました。骨造成をして、6か月待ってからCT撮影をし、骨ができていることを確認してからインプラントを埋入しました。
所感
2022年2月に右下奥歯の歯がないところに1本インプラント治療をしていましたので、今回も左下の抜歯したところを補う方法に、ブリッジではなくインプラントを選択されました。今回もX-Guideを使った埋入で、安心安全に行うことできました。
骨造成:¥55,000(税込)
インプラント1本:¥363,000(税込)
合計:¥418,000(税込)
Before
抜歯をし骨造成後5か月経過
After

2022年2月のインプラント治療
女性 Nさん 60代 (インプラント)
主訴
左下、歯がないところに歯を入れたい。
治療内容
3本歯がないところに、インプラントを2本埋入しました。
所感
2022年5月に上前歯に2本、2023年12月に右下に2本、インプラント治療をしていましたので、今回も左下3本欠損のところに義歯ではなくインプラントを選択されました。今回も X-Guideを使った埋入で、安心安全に行うことできました。
インプラント2本:¥363,000×2本=¥726,000(税込)
ポンティック1本:¥115,500(税込)
合計:¥841,500(税込)
Before
After
男性 Tさん 70代 (インプラント)
主訴
上下、歯がないところに入れ歯を作ったが、使っていない。インプラント治療をしてほしい。
治療内容
上顎4本残っている歯を抜歯し、インプラントを6本埋入。下顎、右下2本、左下1本埋入。
所感
上顎3本は、もし義歯で対応する場合であれば、保存してマグネット義歯の支台として活用します。しかし、患者さんが義歯ではなくインプラント治療を希望され、かつ、見た目が自然でよく嚙めるようになることが最優先事項でしたので、相談したうえで3本の歯は積極的に抜歯しました。
治療後、「インプラント治療に満足しています。食事が楽しくなりました。スタッフの方の説明がわかりやすかったです。1年間ありがとうございました。」と、とてもうれしくなる感想を書いていただきました。
上顎:全額治療 ¥3,280,000(税込)
下顎:インプラント3本 ¥363,000×3本=¥1,089,000(税込)
合計:¥4,369,000(税込)
Before
After
男性 Yさん 60代 (インプラント)
主訴
上前歯2本の歯根が割れているので、インプラント治療をしてほしい。
治療内容
前歯2本を抜歯し、同時に骨造成をしました。骨ができる期間を約5か月待ち、インプラントを2本埋入しました。
所感
インプラント治療を希望し、函館から車で1時間10分ほどかかる江差町の歯科医院から、紹介されて来院されました。前歯2本は、歯根が破折していました。歯根の割れ方が、小さければ抜歯せず保存できる場合がありますが、この症例は真っ二つに割れていましたので抜歯せざるを得ませんでした。
抜歯前に、抜歯後の治療法について詳しく説明したところ、インプラント治療を希望されました。歯根が破折した状態で、1年以上経過していましたので、歯根の周りの骨が大きく欠損していることがわかりましたので、抜歯と同時に骨造成をすることを計画しました。抜歯と骨造成後、5か月を待ち、X-Guideを使用し、正確にインプラントを埋入しました。
骨造成:¥55,000(税込)
インプラント2本:¥363,000×2本=¥726,000(税込)
合計:¥781,000(税込)
Before
After
女性 Kさん 70代 (インプラント)
主訴
左下、ブリッジの支台になっていた奥のほうを抜歯したままになっている。ここのところを何とかしたい。
治療内容
ブリッジの奥に伸びていた部分を削り取り、インプラントを2本入れました。
所感
左下ブリッジのところを切り離し、奥を抜歯したままになっていました。このままでは、ブリッジの前方の支台になっていた歯に負担がかかり、将来抜歯になる可能性があることをお話ししました。歯がないところを補う方法には、部分入れ歯かインプラントがあることを説明すると、自分の歯と同じ感覚で食事ができるインプラントを選択されました。X-Guideを使用し埋入しました。口を大きく開けることができない方でしたので、X-Guideの長所のうちの一つを活かすことができました。
インプラント2本:¥363,000×2本=¥726,000(税込)
Before

青丸の部分を削り取りました
After

女性 Mさん 40代 (インプラント)
主訴
下、左右歯がないところに歯を入れたい。
治療内容
右下に2本、左下に1本インプラントを入れました。
所感
下顎左右奥の歯がないところに、インプラント治療を希望されて来院されました。X-Guideを使用し埋入しました。治療後「左右の奥歯でしっかり噛めてうれしいです。」と、とても喜んでくださいました。
インプラント3本:¥363,000×3本=¥1,089,000(税込)
Before

After


男性 Mさん 70代 (インプラント)
主訴
右上の歯茎が腫れている。
治療内容
右上の犬歯と小臼歯の2本が、歯根の破折を起こしていましたので、抜歯しました。抜歯後インプラントを1本埋入し、以前(2013年1月)5本埋入していたインプラントを活用して被せ物を新しくしました。
所感
2013年1月にインプラント治療をした5本を活用し、今回新たに1本埋入したインプラントと合計6本を連結し、新しい被せ物にしました。
インプラント1本埋入:¥250,000×1本=¥250,000(税込)
被せ物6本:¥113,000×6本=¥678,000(税込)
ポンティック:¥115,500×3本=¥346,500(税込)
合計:¥1,274,500(税込)
Before
歯根破折を起こしていたため2本抜歯しました。
【抜歯後】
After
インプラントを新たに1本埋入しました。
女性 Nさん 80代 (インプラント)
主訴
左下、歯がないところに歯をいれたい。
治療内容
左下骨造成をし、5ヵ月後、インプラントを1本埋入しました。
所感
CT撮影をしてインプラント埋入予定部位を詳しく診てみると、大きく骨がないことがわかりましたので、骨造成をして骨ができたことを確認してからインプラントを埋入しました。
この症例も、3Dダイナミックナビゲーションシステム「Xガイド」を使って埋入しております。
Xガイドは、CTスキャンの画像をもとに顎骨の形態や質、神経の位置などを把握しながら事前に立てた治療計画を正確に手術に再現できるようにサポートするナビゲーションシステムです。インプラントの埋入位置と角度は、「Xガイド」の3Dナビゲーションによって正確に把握されます。骨の中の神経や血管の位置をリアルタイムに確認しながら手術を実行できるため、より安全で精度の高いインプラント手術をすることができます。
骨造成:¥55,000(税込)
インプラント1本:¥363,000(税込)
合計:¥418,000(税込)
Before
After
【X-ガイド】
女性 Tさん 60代 (インプラント)
主訴
上の前歯の部分入れ歯が合わないので、インプラントにしたい。
治療内容
インプラントを4本埋入しました。
所感
骨の厚みが薄かったのですが、X-Guideを用い、正確に埋入することが来ました。
治療後「とてもきれいに出来てうれしかったです。話をしても、空気がもれず良くなりました。もう少し早く治すと良かったと思いました。」と、とても喜んでくださいました。
インプラント4本:¥363,000×4本=¥1,452,000(税込)
Before

インプラント埋入前

義歯を装着したところ

使用していた部分入れ歯
After

インプラント埋入後
男性 Kさん 50代 (インプラント)
主訴
歯がグラグラするところ、むし歯のところ、しみるところ、被せ物がとれたところ、歯茎が腫れて血が出るところ、歯が抜けているところがある。すべて治したい。
治療内容
残っている歯を抜歯し、上下インプラント治療をしました。
所感
歯周病が進行している歯、むし歯が進行している歯がほとんどで、レントゲンを撮り、詳しく診てみると、ほとんどの歯を保存することができないことがわかりました。抜歯後は、入れ歯かインプラントの方法があります。治療開始前に患者さんに詳しく現状を説明し、治療法についてじっくり相談しました。自分の歯と同じような感覚で食事できるインプラント治療を選択されました。治療後、表情がとても明るくなり、口元がとても自然で10歳以上若返ったように感じました。「時間はかかりましたが、インプラントにして本当に良かったです!」と素晴らしい笑顔でお話ししてくださいました。
上顎:¥3,280,000(税込)
下顎:¥3,280,000(税込)

男性 Hさん 60代 (インプラント)
主訴
右上の犬歯の歯茎が腫れている。
治療内容
歯根が数か所破折していましたので、抜歯せざるを得ませんでした。抜歯後、インプラントを埋入しました。
所感
2020年4月に右上前歯から左上奥歯までのインプラント治療(5本インプラント埋入)をされていましたので、今回も抜歯後、インプラント治療を希望されました。
この症例は、X-Guideを使って埋入しました。理想的なポジションに埋入できています。
インプラント1本:¥363,000(税込)

女性 Uさん 60代 (インプラント)
主訴
右下の歯がないところにインプラント治療をしてほしい。
治療内容
右下奥歯欠損のところに、インプラントを埋入しました。
所感
2013年3月 右上奥歯に、2019年10月 上の前歯にインプラント治療をし、インプラントの良さを実感しておられましたので、今回も歯のないところの治療にインプラントを選択されました。
この症例は、X-Guideを使っています。理想的なポジションに埋入できています。
インプラント1本:¥363,000(税込)

女性 Sさん 60代 (インプラント)
主訴
左下が腫れていて、噛むと痛い。
治療内容
左下ブリッジの支台になっている大臼歯が、歯根の破折を起こしていましたので、抜歯しました。奥歯3本欠損のところに、2本インプラントを埋入しました。
所感
奥歯3本歯のないところを補う方法は、インプラント、あるいは取り外しの部分入れ歯、という2つの方法があります。部分入れ歯は支台になっている歯に負担がかかるため、問題が起きた時には、支台になっている歯がダメになり、更に抜歯になる可能性が大きいです。最初は3本の欠損から、4本、5本と歯がないところが拡大してしまいます。また、義歯は異物感が大きく慣れるのが大変で、上下自分の歯どうしで噛む感覚と同じようには噛むことができません。
インプラントは、単独で植立し他の歯に負担がかからなく、自分の歯と同じような感覚で食事が出来ます。患者さんは、インプラント治療を選択されました。治療後、「約半年と時間がかかり、緊張の連続でしたが、丁寧に治療してもらいありがとうございました。今日から両側の歯で噛めるので、安心しました。」と、とても喜んでくださいました。
この症例は、3DナビゲーションシステムのX-ガイドを使って埋入しました。X-ガイドは骨の中の神経や血管の位置をリアルタイムに確認しながら手術が実行できるため、より安全で精度の高いインプラント埋入ができます。
インプラント2本:¥363,000×2本=¥726,000(税込)
ポンティック1本(インプラント間をつなぐ部分):¥115,500(税込)
合計:¥841,500(税込)

男性 Uさん 60代 (インプラント)
主訴
左下、歯がないところに歯をいれたい。
治療内容
残根のところは、根管治療をし、オールセラミック冠を被せました。歯がないところに1本インプラントを埋入しました。
所感
インプラントは、上の歯との噛み合わせの関係から、2本歯がないところに1本だけ埋入しました。
この症例は、3Dダイナミックナビゲーションシステム「Xガイド」を使った初めての症例です。当たり前のことですが、コンピューター上で立てた治療計画がそのまま再現され、とても気持ちが良かったです。
Xガイドは、CTスキャンの画像をもとに顎骨の形態や質、神経の位置などを把握しながら事前に立てた治療計画を正確に手術に再現できるようにサポートするナビゲーションシステムです。インプラントの埋入位置と角度は、「Xガイド」の3Dナビゲーションによって正確に把握されます。骨の中の神経や血管の位置をリアルタイムに確認しながら手術を実行できるため、より安全で精度の高いインプラント手術をすることができます。
オールセラミック冠1本:¥104,500×1本=¥104,500(税込)
インプラント1本:¥363,000×1本=¥363,000(税込)

女性 Sさん 60代 (インプラント)
主訴
左下の歯がないところに、歯をいれたい。
治療内容
インプラントを2本埋入しました。
所感
患者さんは、インプラント治療を希望されて来院されました。治療後「インプラント治療は、想像していたより大変ではありませんでした。左でも右と同じように噛めるようになり、おいしく食事が出来、とても嬉しいです。」と、とても喜んでくださいました。
インプラント2本:¥363,000×2本=¥726,000(税込)

男性 Sさん 70代 (インプラント)
主訴
上の左右歯がないところに歯をいれたい。
治療内容
左右に骨造成(サイナスリフト)をおこない、骨が出来たことを確認し、左右1本づつインプラントを埋入しました。
所感
歯がないところを補う方法は、インプラントか部分入れ歯があります。患者さんは、自分の歯のように食事ができるインプラントを選択されました。CTを撮影し、詳しく診てみると、左右とも埋入するところの骨の厚みが足りないため、骨造成(サイナスリフト)をしないと埋入できないことがわかりました。患者さんに充分に説明をし同意していただきましたので、骨造成(サイナスリフト)をし、7か月間待ちインプラントを埋入しました。1年2カ月にわたる治療でした。患者さんは私を信頼し、ついてきてくださいました。本当に感謝です。
骨造成(サイナスリフト):¥110,000×2=¥220,000(税込)
インプラント2本:¥363,000×2本=¥726,000(税込)

男性 Nさん 50代 (インプラント)
主訴
上にインプラント治療をしてほしい。
治療内容
上前歯に4本を支台歯とするブリッジが入っていました。4本を抜歯し、インプラントを8本埋入しました。
所感
上顎前歯にブリッジが入っており、奥歯は左右欠損のまま、下顎は、右下1本欠損はありますが、あとはすべて残っています。上顎ブリッジのところの歯茎は腫れており、何度も取れては、つけなおすという事を繰り返しているという事でした。以前上顎左右の奥歯に部分入れ歯を入れたことがあったそうですが、「ゲーゲー」と吐き気を催し、入れておくことができなかったそうです。上顎4本残っている歯の1本は歯根が破折し、歯肉が大きく腫れていました。破折している1本を抜歯し、残り3本を利用しマグネット義歯という選択もありましたが、患者さんは、義歯ではなくインプラント治療を希望されましたので、4本の歯を抜歯し、インプラントを8本埋入しました。この患者さんは、咬合力が非常に強いので、インプラントと歯を護るために、就寝時および仕事中にマウスピースを使用してもらう事にしました。
インプラント全顎治療:¥3,280,000(税込)

男性 Mさん 60代 (インプラント)
主訴
リンゴを食べたら、上左前歯が音がして、グラグラ動く。
治療内容
歯が折れていました。また、歯根が短いので差し歯にすることができず、抜歯しました。抜歯後インプラントを埋入しました。
所感
抜歯後、前歯1本歯のないところを補う方法は、インプラント、歯がないところの両側を削って橋渡しするブリッジ、あるいは取り外しの部分入れ歯、という3つの方法があります。ブリッジも部分入れ歯も支台になっている歯に負担がかかるため、この次問題が起きた時には、支台になっている歯がダメになり、更に抜歯になる可能性が大きいです。最初1本の欠損が2本3本と歯がないところが拡大してしまいます。また、義歯は、異物感が大きく、慣れるのが大変です。1番いい方法は、単独で植立し他の歯に負担がかからなく、自分の歯と同じような感覚で食事が出来るインプラントです。他の歯を護るためには、インプラントが最良の方法だと考えます。
インプラント1本:¥363,000(税込)

女性 Yさん 60代 (インプラント)
主訴
下の歯がないところに歯をいれたい。
治療内容
右下3本、左下2本、インプラントを埋入しました。
所感
患者さんは、インプラント治療を希望されて来院されました。長い間、下顎の奥歯がない状態で放置したいたため、噛み合わせが低くなっていました。インプラントを入れることにより、噛み合わせを正しくしました。
治療後、「10年以上奥歯で噛むことができませんでしたが、両方の奥歯で噛めるようになり、幸せです。」と、とても喜んでくださいました。この患者さんは、上顎右に1本、左にも2本埋入しています。
インプラント5本:¥363,000×5本=¥1,815,000(税込)
ポンティック1本:¥115,000(税込)
合計:¥1,930,000(税込)

女性 Yさん 60代 (インプラント)
主訴
上の歯がないところに歯をいれたい。
治療内容
右上1本、左上2本、インプラントを埋入しました。
所感
患者さんは、インプラント治療を希望されて来院されました。治療後、「自分の歯の感覚で食事が出来るのでとても良いです。」と、とても喜んでくださいました。
インプラント3本:¥363,000×3本=¥1,089,000(税込)

女性 Tさん 40代 (インプラント)
主訴
左下が腫れていて、噛むと痛い。
治療内容
左下ブリッジの支台になっている小臼歯が、真二つに割れていましたので、抜歯しました。奥歯2本欠損のところに、2本インプラントを埋入しました。
所感
奥歯2本歯のないところを補う方法は、インプラント、歯がないところの両側を削って橋渡しするブリッジ、あるいは取り外しの部分入れ歯、という3つの方法があります。ブリッジも部分入れ歯も支台になっている歯に負担がかかるため、問題が起きた時には、支台になっている歯がダメになり、更に抜歯になる可能性が大きいです。最初2本の欠損が3本4本と歯がないところが拡大してしまいます。また、義歯は、異物感が大きく、慣れるのが大変です。1番いい方法は、単独で植立し他の歯に負担がかからなく、自分の歯と同じような感覚で食事が出来るインプラントです。この患者さんも、最初1本歯を失っていた時に、ブリッジにしないで、1本だけインプラントを入れていたとしたら、今回のように支台になっている歯の歯根が破折して抜歯にならなかったかもしれません。もしどうしても抜歯しかないとなった場合、1本だけインプラントを入れて他の歯を護ることが重要だと思います。
インプラント2本:¥363,000×2本=¥726,000(税込)

女性 Tさん 70代 (インプラント)
主訴
左下の歯がないところにインプラント治療をしてほしい。
治療内容
左下奥歯欠損のところに、インプラントを埋入しました。
所感
以前(2013年3月)、上の前歯にインプラント治療をし、インプラントの良さを実感しておられましたので、今回も歯のないところの治療にインプラントを選択されました。
インプラント1本:¥363,000(税込)

女性 Nさん 60代 (インプラント)
主訴
上前歯が隙間が空いて、動いている。きれいにしたい。
治療内容
上前歯3本が歯周病が進行し、隙間が空きグラグラ動く状態でした。保存することができず抜歯しました。抜歯後インプラント治療を希望されましたので、2本埋入しました。
所感
治療後、「前歯に隙間が空き、グラグラ動いて、いつ抜けるかと心配でした。思い切ってインプラントにして、本当に良かったです。」と、とても喜んでくださいました。
インプラント2本:¥363,000×2本=¥726,000(税込)
ポンティック1本:¥115,000(税込)
合計:¥841,000(税込)

女性 Tさん 60代 (インプラント)
主訴
上前歯をきれいにしたい。
治療内容
上前歯4本が歯周病が進行し、グラグラな状態でした。保存することができず抜歯しました。抜歯後インプラント治療を希望されましたので、2本埋入しました。
所感
治療後、「前歯がよみがえり、嬉しいのとホッとしました。長い間、ずっと悩んでおりましたが、なしき先生と色々相談し、少しずつ悩みが解消し、長い時間かかりましたが、きれいな歯を入れて頂きありがとうございました。マスクが取れる日も楽しみです。これからも宜しくお願いいたします。」と、とても喜んでくださいました。歯を抜く前に、抜歯後の治療法について、患者さんとじっくり相談しました。歯がなくなったところを補う方法として、ブリッジ、部分入れ歯、もう一つの方法にインプラントがあります。前者2つの方法は、歯がない部分の負担が支えになっている歯にかかるため、さらに歯を失う可能性が大きくなります。インプラントは、それ自身が単体で植立しているため、他の歯に負担がかからず他の歯を護ることが出来ます。また、噛み心地は、ほぼ自分の歯と同じです。これ以上歯を失わないためには、インプラントが最も適した方法だと思います。
インプラント2本:¥363,000×2本=¥726,000(税込)
ポンティック2本:¥115,000×2本=¥230,000(税込)
合計:¥956,000(税込)

女性 Kさん 50代 (インプラント・オールセラミック冠)
主訴
前歯差し歯の上に、できものができている。
治療内容
右歯茎が腫れている歯は、破折していることがわかり、抜歯しました。インプラント治療を希望されましたので、1本埋入しました。左の被せ物もノンメタル治療を希望されましたので、ファイバーコアを入れ、オールセラミック冠をかぶせました。
所感
治療後「長期にわたる治療でしたが、丁寧に進めていただき、ありがとうございました。検診、忘れずに来るようにします。」と、建設的なお言葉を頂きました。
インプラント:¥363,000(税込)
オールセラミック冠:¥104,500(税込)
合計:¥467,500(税込)

女性 Yさん 80代 (インプラント)
主訴
右下の歯がないところに歯をいれたい。
治療内容
部分入れ歯ではなく、インプラント治療を希望されました。2本インプラントを埋入しました。
所感
以前は部分入れ歯を入れていたそうですが、どうしても使えずはずしたままにしていたそうです。
インプラントは、ほぼ自分の歯と同じ感覚で食事が出来ますので、これからはいろいろなものをよく噛んで食べられるようになると思います。
インプラント2本:¥363,000×2本=¥726,000(税込)
ポンティック1本:¥115,000(税込)
合計:¥841,000(税込)

女性 Kさん 50代 (インプラント)
主訴
右下の一番奥が噛むと痛い。
治療内容
破折していることがわかり、抜歯しました。インプラント治療を希望されましたので、1本埋入しました。
所感
治療後「手術の痛みや腫れもなく、良かったです。これから良く噛めると思うと嬉しいです。ありがとうございました。」と、とても喜んでくださいました。
インプラント1本:¥363,000(税込)

女性 Tさん 60代 (インプラント)
主訴
左下の奥歯が動く。
治療内容
被せ物を取り除くと大きな虫歯になっており、保存できず、抜歯しました。抜歯後、インプラント治療を希望されましたので、インプラントを埋入しました。
所感
抜歯後、歯がなくなったところを補う方法として、ブリッジ、部分入れ歯、もう一つの方法にインプラントがあります。前者2つの方法は、歯がない部分の負担が支えになっている歯にかかるため、さらに歯を失う可能性が大きくなります。インプラントは、それ自身が単体で植立しているため、他の歯に負担がかからず他の歯を護ることが出来ます。また、噛み心地は、ほぼ自分の歯と同じです。これ以上歯を失わないためには、インプラントが最も適した方法だと思います。
インプラント1本:¥363,000(税込)

男性 Tさん 60代 (インプラント)
主訴
左下の内側の歯茎が腫れている。
治療内容
ブリッジの支台になっている歯が、歯根の破折を起こし、歯茎が腫れていました。保存することが出来ず、抜歯しました。抜歯後、インプラント治療を希望されましたので、3本歯がないところに2本インプラントを埋入しました。
所感
2本歯がないところに、3本を支台としたブリッジが入っていました。そのうちの1本が歯根破折を起こしていました。抜歯後、3本歯がなくなったところを補う方法として、また再びブリッジ、部分入れ歯、もう一つの方法にインプラントがあります。前者2つの方法は、支台になっている歯に負担がかかるため、さらに歯を失う可能性が大きくなります。インプラントは、それ自身が単体で植立しているため、他の歯に負担がかからず他の歯を護ることが出来ます。また、噛み心地は、ほぼ自分の歯と同じです。インプラントにして正解だと思います。
インプラント2本:¥363,000×2本=¥726,000(税込)
ポンティック1本:¥115,000(税込)
合計:¥841,000(税込)

女性 Aさん 50代 (インプラント)
主訴
左下に部分入れ歯を入れていたが、思い通り噛めないので、インプラントにしたい。
治療内容
左下4本歯がないところに、3本インプラントを埋入しました。
所感
この患者さんは、インプラント治療を希望されて、他の医院から紹介を頂き、来院されました。
左下に部分入れ歯を入れていたそうです。左の方で噛むと歯茎が痛いので、ほとんど右側で食事していたそうです。治療後「左でも右と同じように噛めるようになったので、おいしく食事ができてうれしいです。」と、とても嬉しそうにお話ししてくださいました。
インプラント3本:¥363,000×3本=¥1,089,000(税込)
ポンティック1本:¥115,000(税込)
合計:¥1,204,000(税込)

女性 Hさん 50代 (インプラント)
主訴
右下の犬歯の隣の歯が、噛むと痛い
治療内容
歯根が破折しておりましたので、抜歯しました。歯がなくなったところは、インプラントを埋入しました。
所感
以前もインプラント治療をし、その良さを実感されておりましたので、今回もインプラント治療を選択されました。
インプラント1本:¥363,000(税込)

女性 Sさん 50代 (インプラント)
主訴
左下の歯がないところにインプラントをいれたい。
治療内容
2本歯がないところに2本インプラントを埋入しました。
所感
治療後「部分入れ歯になるのがいやで、地元の歯医者さんから紹介してもらいました。長年、左でかむことが出来ず、右ばかりでかんでいました。きれいなインプラントを2本いれてもらったので、これから食事がより楽しみになります。お手入れがんばります。ありがとうございました。」と、ありがたいお言葉を頂きました。
インプラント2本:¥363,000×2本=¥726,000(税込)

男性 Uさん 70代 (インプラント)
主訴
左下ブリッジのところの奥の方の歯が痛い。
治療内容
根の先で問題を起こしていましたので、被せ物を取り除き根管治療をしました。根管治療後、再度ブリッジではなく、単独で被せ物をし、歯がないところは、インプラントを埋入しました。
所感
患者さんは、以前も私の医院でインプラント治療をして、その良さを実感していらっしゃったので、今回もインプラント治療を希望されました。
インプラント1本:¥308,000×1本=¥308,000(税込み)

女性 Nさん 50代 (インプラント・オールセラミックのブリッジ)
主訴
左上前歯が、腫れる。痛みはないが、嫌なにおいがする。
治療内容
歯根が割れていましたので、残すことが出来ず、抜歯しました。インプラント治療を希望されましたので、インプラントを埋入しました。隣のブリッジも一緒に綺麗にしたいという事でしたので、オールセラミックのブリッジにしました。
所感
「以前の前歯の長さが短いと感じていたのが、治療後思い描いているように治していただきありがとうございました。前歯がきれいになり、若返りました。」という、嬉しいお言葉を頂き、私まで嬉しくなりました。
歯を治すこと、歯が良くなることで、患者さんが生活しやすくなり、お口元に自信を持てるようになる、人生が楽しくなる。…そのお手伝いができることが、私たちにとってのこの上ない喜びです。
左上前歯:インプラント1本 ¥308,000×1本=¥308,000(税込み)
オールセラミックのブリッジ:オールセラミック冠2本 ¥88,000×2本=¥176,000(税込み)
オールセラミックのポンティック ¥82,500(税込み)
合計:¥566,500(税込み)

女性 Nさん 50代 (インプラント)
主訴
下の左右歯がないところに、インプラントを入れたい。
治療内容
下顎左右の歯がないところに2本づつインプラントを埋入しました。
所感
「長年通院していた歯科医院から、なしき先生を紹介してもらい インプラント治療をしていただきました。左右奥歯がないため、空気がもれて話しにくかったのが改善され、若返りました。どうもありがとうございました。」という、嬉しいお言葉を頂きました。
歯を治すこと、歯が良くなることで、患者さんが生活しやすくなり、お口元に自信を持てるようになる、人生が楽しくなる。…そのお手伝いができることが、私たちにとってのこの上ない喜びです。
インプラント4本 ¥308,000×4本=¥1,232,000(税込み)

女性 Hさん 50代 (インプラント・オールセラミックのブリッジ)
主訴
上の歯がないところに、歯を入れたい。
治療内容
右上はインプラントで、左上はオールセラミックのブリッジで対応しました。
所感
右上は、ブリッジはできませんでしたが、骨の量が十分にありましたのでインプラントに、左は骨の量が足りなかったため、無理をしてインプラントにはせず、ブリッジにしました。
右上:インプラント2本 ¥308,000×2本=¥616,000(税込み)
左上:オールセラミックブリッジ
オールセラミック冠2本:¥88,000×2本=¥176,000(税込み)
ポンティック2本:¥82,500×2本=¥165,000(税込み)

男性Y さん 40代 (インプラント・オールセラミック冠)
主訴
左上のブリッジがとれて、歯茎が腫れている。右上のブリッジも取れている。むし歯もあるので治療したい。
治療内容
左上の腫れているところは、歯根が破折していたため保存できず抜歯しました。 左上一番奥の大きくむし歯になっていた親知らずは、機能していないので抜歯しました。左右ブリッジがとれたところは、一本ずつそれぞれ治療しオールセラミック冠を被せ、歯がないところは、インプラントで対応することにしました。
所感
治療後「しばらく奥歯で思う存分噛むことが出来ませんでした。食事がおいしく食べられるようになり、とても嬉しいです。」と、とても喜んでくださいました。
インプラント4本:¥280,000×4=¥1,120,000(税別)
ポンティック1本:(インプラント間をつなぐもの):¥65,000(税別)
オールセラミック冠5本:¥80,000×5本=¥400,000(税別)
合計:¥1,585,000(税別)

男性M さん 60代 (インプラント)
主訴
下前歯2本がぐらついて、噛むと痛い。
治療内容
保存することが出来ず、抜歯しました。歯がなくなったところは、インプラント治療を希望されましたので、インプラントを2本埋入しました。
所感
この患者さんは、8年前に他の部位にインプラント治療をされていました。インプラントの良さを実感されていましたので、今回もインプラントを希望されました。
インプラント2本:¥280,000×2=¥560,000 (税別)

女性H さん 80代 (インプラント)
主訴
左下のブリッジのところが噛むと痛い。また左上の一番奥の歯が、下の歯茎に触って歯茎に傷がつき痛い。
治療内容
左下ブリッジの後方の歯が破折していることがわかり、抜歯しました。インプラント治療を希望されましたので、1本埋入しました。また、左上の一番奥の歯は、大きく下方に移動し、下の歯茎を傷つけて、歯茎に潰瘍を作っていましたので、不要と判断し抜歯しました。
所感
治療後「長年左の歯で噛むことが出来ず苦しんでいましたが、左上の余分な親知らずを抜いていただき、下の抜いたところにはインプラントを入れていただきました。治療後すぐに以前からの自分の歯のような気がして嬉しかったです。これから両方の歯で噛むことが出来ると思うと楽しみです。ありがとうございます。歯を大切にしたいと思いました。先生、スタッフの皆様ありがとうございました。」と、笑顔で言ってくださいました。
インプラント1本:¥280,000(税別)

男性Y さん 50代 (インプラント)
主訴
歯がないところにインプラントを入れたい。(義歯を作ったが使えなかった)
治療内容
右下3本左下1本歯がないところに、インプラントを右2本左1本埋入しました。
所感
治療後「以前義歯を作ったが、どうしても使うことが出来ませんでした。インプラントは、自分の歯と全く変わらず同じように食事をすることが出来るので、とても良いです。インプラントにして本当に良かったです。」と、とても喜んでくださいました。
インプラント3本:¥280,000×3=¥840,000(税別)
ポンティック(インプラント間をつなぐもの):¥65,000(税別)
合計:¥905,000(税別)

男性A さん 40代 (インプラント)
主訴
上の前歯の間が、どんどんすきっ歯になっているので、何とかしたい。
治療内容
歯周病で左側前歯が、どんどん回転して移動していました。レントゲンで確認してみますと、保存が出来ないことがわかりましたので、抜歯しました。歯がなくなったところは、インプラント治療を希望されました。
所感
もともと前歯の中心は、隙間が空いていたそうです。もし隙間を埋めようとすると不自然な大きな歯になってしまいますので、患者さん、私、技工士さんと相談し、あえて真ん中に隙間を開けて、自然に仕上げました。治療後、「丁寧に治療していただき、ありがとうございました。」と、喜んでくださいました。
インプラント1本:¥280,000(税別)

女性N さん 40代 (インプラント)
主訴
左下の穴が開いているところを治療したい。
治療内容
歯のずっと奥深いところまで、むし歯になっており、もう使えない状況で抜歯になることをお伝えしました。抜歯後は、インプラント治療を希望されました。
所感
治療後「違和感が全くないことにびっくり。」と、とても喜んでくださいました。
インプラント1本:¥280,000(税別)

男性H さん 50代 (インプラント)
主訴
左上の奥歯と前歯の歯茎が腫れて膿が出る。
治療内容
前歯から左の奥歯まで5歯支台の7本つながった大きなブリッジが入っていました。支台になっている歯が、歯根の破折を起こして、歯肉が腫れていました。保存することが出来ず、抜歯になりました。インプラント治療を希望されましたので、9本歯がないところに5本埋入しました。
所感
「自分の歯のように、しっかり咬むことが出来、おいしく食事が出来ます。思い切ってインプラントにして本当に良かったです。」と、とても喜んでくださいました。
インプラント5本:¥280,000×5本=¥1,400,000(税別)
ポンティック(インプラント間をつなぐもの)4本:¥65,000×4本=¥260,000(税別)
合計:¥1,660,000(税別)

男性T さん 40代 (インプラント)
主訴
上前歯が腫れている。
治療内容
上前歯のブリッジの支台になっている歯の歯肉が、腫れていました。ブリッジを外してみると歯根の破折を起こしていました。完全に真二つに割れていましたので、保存することが出来ず抜歯になりました。インプラント治療を希望されましたので、2本欠損のところに2本埋入しました。
所感
1本欠損のブリッジが入っていましたが、支台歯が歯根の破折を起こし抜歯になり、2本欠損になりました。2本欠損のブリッジという選択もありましたが、将来また支台歯を失う可能性が高くなります。インプラントは、他の歯に負担をかけず、それ自身単体で植立していますので、他の歯を護ることが出来ます。これ以上歯を失うのを防ぐ意味でも、インプラントは、効果的だと思います。
インプラント2本:¥280,000×2本=¥560,000(税別)

女性H さん 50代 (インプラント)
主訴
右下の一番奥の歯が、噛むと痛い。
治療内容
右下の小臼歯が、歯根の破折を起こし抜歯になりました。もともと奥の2本がありませんでしたので、合計3本歯がないことになりました。部分入れ歯ではなく、インプラント治療を希望されました。3本欠損のところに2本埋入しました。
所感
右下奥3本の欠損以外は、ほとんど歯が残っています。もし部分入れ歯を入れたとしても、使わない入れ歯になる可能性が高いです。また、もし入れ歯を使っていたとすると、バネがかかる歯をまた失う可能性が高くなり、だんだんと歯がないところが大きくなります。インプラントは、他の歯に負担をかけず、それ自身単体で植立していますので、他の歯を護ることが出来ます。インプラントにして正解だと思います。
インプラント2本:¥280,000×2本=¥560,000(税別)
ポンティック1本:¥65,000(税別)
合計:¥625,000(税別)

男性K さん 80代 (インプラント)
主訴
上顎に総義歯を入れているが、インプラント治療をし、固定制のものを入れて欲しい。
治療内容
患者さんは、上顎にインプラント治療を希望されましたので、6本のインプラントを入れました。
所感
患者さんは、通常の口蓋の部分も床で覆われた総義歯ではなく、無口蓋義歯(U字形の総義歯)を使われていました。安定が良くないため、いつも入れ歯安定剤を使用していたそうです。
治療後、硬いもの、粘り気のあるものを、自由に噛めるようになったそうです。
全顎インプラント治療(上顎のみ):¥2,400,000(税別)

男性K さん 60代 (インプラント)
主訴
右上の歯がないところに、歯を入れたい。
治療内容
患者さんは、インプラント治療を希望されましたので、右上2本歯がないところに、2本インプラントを埋入しました。
所感
治療後「しばらく右の奥歯で噛むことが出来なく不自由でしたが、しっかり咬めるようになって本当に良かったです。」と、とても喜んでくださいました。
インプラント2本:¥280,000×2本=¥560,000(税別)

女性U さん 50代 (インプラント)
主訴
左上のブリッジのところが痛い。
治療内容
ブリッジの支台になっている歯が、歯根破折を起こしていました。保存することが出来ず、3本抜歯しました。抜歯後、5本歯のないところにインプラントを3本埋入しました。
所感
治療後「インプラントが定着する間、半年以上部分入れ歯の使用を余儀なくされました。部分入れ歯使用中は、不自由さを経験し、インプラントにして本当に良かったと思います。今後は、インプラントのブラッシングに気をつけながら、長く付き合っていきたいです。」と、とても喜んでくださいました。
インプラント3本:¥280,000×3本=¥840,000(税別)
ポンティック1本:¥65,000×1本=¥65,000(税別)
合計:¥905,000(税別)

女性N さん 60代 (インプラント)
主訴
左上部分入れ歯をいれていたところを、インプラントにしたい。
治療内容
インプラントを2本埋入しました。
所感
「部分入れ歯のバネがかかっている歯が、負担がかかっているのか少し動きます。」というお話がありました。インプラント治療を説明したところ、「以前、骨の量が足りないのでできない。」という説明をうけ、部分入れ歯を入れていたそうです。CTを撮りきちんと調べてみると、現時点では、十分にインプラント治療ができることがわかりました。治療後、「部分入れ歯と違い、自分の歯の様に何でも食べられて、とても嬉しいです。」と、喜んでくださいました。部分入れ歯の場合、バネがかかっている歯に負担をかけるため、さらに歯を失う可能性が出てきます。インプラントは、それ自身が単体で植立しているため、他の歯に負担をかけません。インプラント治療をして、動きが出てきていた歯を護ることが出来たと思います。
インプラント2本:¥280,000×2本=¥560,000(税別)

女性N さん 60代 (インプラント)
主訴
上の前歯2本が、ぐらぐらする。
治療内容
レントゲンを撮って調べてみると、歯根のまわりの骨がなくなり、残せる状態ではありませんでした。抜歯後、インプラントを2本埋入しました。
所感
抜歯後、歯がなくなったところを補う方法として、インプラント、ブリッジ、部分入れ歯の方法を説明したところ、インプラント治療を希望されました。「ありがとうございます。満足です。」と、とても喜んでくださいました。ブリッジ、部分入れ歯の場合、歯がないところの両側の歯に負担をかけるため、さらに歯を失う可能性が出てきます。インプラントは、それ自身が単体で植立しているため、他の歯に負担をかけません。
この患者さんにとって、インプラントが最良の方法だと考えます。
インプラント2本:¥280,000×2本=¥560,000(税別)

女性M さん 50代 (インプラント)
主訴
左下、歯を抜いてなくなったところにインプラントを入れたい。
治療内容
左下は、2019年7月に歯根の破折を起こし、抜歯になりました。インプラントを埋入しました。
所感
一つ前方のところは、2016年にインプラント治療をしました。その時インプラントの良さを実感されて、
今回もインプラント治療を選択されました。
インプラント:¥280,000(税別)

女性M さん 50代 (インプラント)
主訴
左上前歯がとれて、歯茎が腫れている。
治療内容
レントゲンで調べてみると、歯根が破折していましたので、抜歯することになりました。抜歯後、歯がなくなったところに、インプラント治療を希望されました。
所感
治療後、患者さんは、「治療期間が長かったですが、仕上がりを見て、やって良かったです。又、私的にインプラントの埋入手術後、インプラントが定着するまでの間、仮の部分入れ歯を入れていましたが、仮入れ歯を入れる時に、毎回、違和感を感じていたので、その苦痛がなくなる嬉しさと食事の楽しさを思うと、本当にやって良かったです。ありがとございました。先生、スタッフの皆様、ありがとうございました。」と、とても喜んでくださいました。
インプラント:¥280,000(税別)

男性K さん 60代 (インプラント)
主訴
右下奥のブリッジのところが、腫れる
治療内容
3本つながっていたブリッジの支台の2本が、歯根の破折を起こしていました。保存することが出来ず、抜歯しました。抜歯後、インプラント治療をしました。
所感
右下、歯根破折を起こした2本を抜歯した後、4本歯がなくなりました。歯がなくなったところを補う方法として、部分入れ歯とインプラント治療を説明しました。患者さんは、固定性のものを希望されたため、インプラント治療をしました。4本欠損のところに、3本のインプラントで十分と判断しました。治療後、「ステーキ、食べられるな。スルメも食えるな!」と、喜んでくださいました。
インプラント3本:¥280,000(税別)×3本=¥840,000(税別)

女性K さん 70代 (インプラント)
主訴
下の義歯が入っているところの歯茎が痛い
治療内容
今まで部分入れ歯が入っていたところに、インプラント治療をしました。左右2本づつインプラントを埋入しました。
所感
患者さんは、噛む力がとても強い方でした。入れ歯が入っているところの歯茎が、頻繁に痛くなっていました。「部分入れ歯は、噛むたびに入歯が沈み込むために歯茎を押して痛くなる事」と、「インプラントは、噛む力をインプラント自身が支えるため、部分入れ歯の様に沈み込むことがなく、自分の歯の様に食事が出来る事」を説明したところ、「やってみたい。」という事になりました。治療後、「自分の歯と同じように食事が出来て、とてもいいです。」と、喜んでくださいました。
インプラント4本:¥280,000(税別)×4本=¥1,120,000(税別)
ポンティック2本:¥65,000(税別)×2本=¥130,000(税別)
合計 ¥1,250,000(税別)

男性K さん 80代 (インプラント)
主訴
下の義歯が動くので、インプラントにしたい。
治療内容
インプラントを埋入し、インプラント義歯にしました。
所感
患者さんは、インプラントを埋入し固定制のものを希望されましたが、CTを撮って詳しく調べてみますと、両側の奥歯は、骨の量が少なくインプラントを入れることが出来ないことがわかりました。しかし、幸い前歯の部分には、入れることが出来ましたので、固定制のものではなく、インプラントを利用した、インプラント義歯を提案しました。患者さんは、同意されました。治療後、「以前の義歯は、動いて入れ歯安定剤を使って何とか使っていたが、新しい入歯は、全く動かないので何でもおいしく食べられて、とても良い。」と、喜んでくださいました。総入れ歯が動いて思うように食事が出来ないという方、きっといい方法があります。あきらめずにご相談ください
インプラント3本:¥280,000×3=¥840,000(税別)
インプラント義歯:¥450,000(税別)
合計¥1,290,000(税別)

女性T さん 60代 (インプラント)
主訴
右の上の歯がないところに歯を入れたい
治療内容
右上の奥歯が、歯根破折で抜歯になり、奥3本が欠損になりました。歯がないところを補う方法について、インプラント、部分入れ歯を説明したところ、自分の歯の様に何でも噛めるようになることを希望されましたので、インプラント治療をすることになりました。3本歯がないところに2本で充分と判断し、2本埋入しました。
所感
上の奥歯3本歯がないところに、部分入れ歯を入れたとしても、自分の歯の様には噛むことが出来ず、かつ 上顎のところ(口蓋)を入れ歯が一部分覆うため異物感が強く、使わない部分入れ歯になってしまったかもしれません。歯がほとんど残っていて、奥歯が数本欠損の時は、インプラントが最適の方法だと思います。
インプラント2本:¥280,000×2=¥560,000(税別)
ポンティック(インプラント間をつなぐもの):¥65,000(税別)
合計¥625,000(税別)

女性M さん 50代 (インプラント)
主訴
上の前歯がぐらぐらする。
治療内容
上に6本の歯がありましたが、歯周病が進行し残すことが出来ませんでしたので、抜歯することになりました。抜歯後、総義歯かインプラントを説明したところ、自分の歯の様に思いっきり食事をしたいとおっしゃり、インプラント治療を進めることになりました。6本のインプラントを埋入しました。
所感
「長い間グラグラの歯で、思うように食事が出来ませんでしたが、インプラントにしてからは、何でもおいしく食べられます。また、人前で口元を気にせずお話が出来るので、幸せです。」と、とても喜んでくださいました。
インプラント治療無歯顎:¥2,400,000(税別)

女性S さん 50代 (インプラント)
主訴
左下の奥歯が、噛むと痛みがあり、腫れたりひけたりを繰り返している。
治療内容
レントゲンを撮って調べてみると、歯根が破折し残すことが出来ないことがわかりましたので、抜歯しました。抜歯後、自分の歯の様に噛むことが出来るインプラントを希望されましたので、インプラントを1本入れました。
所感
「おいしく食事が出来、とても自然で自分の歯のようだ。」と、とても喜んでくださいました。
インプラント1本:¥280,000(税別)

男性A さん 50代 (インプラント)
主訴
左上の歯のないところに歯を入れたい。
治療内容
患者さんは、インプラント治療を希望されました。
所感
インプラント治療を希望されて、他の医院からの紹介で来院された患者さんです。治療後、「満足しています。ていねいに治療してもらいありがとうございました。」というお話を頂き、ますますモチベーションが上がりました。
インプラント1本:¥280,000(税別)

女性O さん 60代 (インプラント)
主訴
口の中がボロボロなのできちんと治したい。
治療内容
歯周病とむし歯が、進行し深刻な状態でした。CTを撮り慎重に診断した結果、上下1本の歯も残すことが出来ないことがわかりました。患者さんと抜歯後のことを相談し、総義歯かインプラントの方法があることを説明しました。患者さんは、自分の歯のように「思いっきり食事が出来る様になりたい。」と、インプラント治療を選択されました。
所感
治療後、Oさんは、「患者の身になり、いつも丁寧で完璧な治療をしていただいたおかげで、口の中がひどい状態から完治しました。今では、自分の歯の様にかむことができ、口を大きくあけておしゃべりもでき、口をかくさずに自然に笑える様になりました。大感激です。インプラントにして良かったです。」と非常に喜んでいただきました。また、「梨木先生に治療していただき感謝の一言です。凄腕ドクター梨木先生ありがとうございました。スタッフの皆さんのやさしい対応で前向きになれ、通うことが出来ました。明るく笑顔のステキなスタッフの皆さん、ありがとうございました。」と、身に余る感謝のお言葉を頂き、スタッフ一同ますますモチベーションが向上しました。
上顎:¥2,400,000(税別)
下顎:¥2,400,000(税別)
合計:¥4,800,000(税別)

女性M さん 50代 (インプラント)
主訴
右上奥歯の、3本歯がないところを何とかしたい。
治療内容
歯のないところを補う方法として、「部分入れ歯」と「インプラント」の説明をしました。患者さんは、よく噛める固定性の治療を希望されましたので、インプラント治療をすることにしました。3本の歯がないので、通常はインプラントを3本埋入しますが、下顎との歯のかみ合わせを見ると、3本歯のないところに2本で充分と判断し、2本埋入いたしました。
所感
患者さんが、「初めはすごく迷ったのですが、インプラントにして良かったです。ありがとうございました!」と、とても喜んでくださいました。きっと、お食事も楽しめるようになると思います。患者さんに喜んでいただけて良かったです!
インプラント2本:¥280,000×2本=¥560,000(税別)

女性N さん 60代 (インプラント)
主訴
右前歯が、ぐらついて噛むと痛みがある。
治療内容
「右前歯で、硬いものをかみ切ろうとしたら、カチッとなって、それ以来少し歯がぐらつくようになってしまいました。また、物をかむと痛みがあります。」ということでした。歯根が真二つに割れていて保存することができなかったため、抜歯しました。歯がなくなったところには、インプラント治療をしました。
所感
歯がなくなったところを補う方法として、『ブリッジ』という選択肢もありました。しかしブリッジは、抜けた歯の両隣にある、健康な歯を削らなければなりません。しかも、ブリッジを入れた後は、支台になっている歯に負担をかけるため、その歯も抜けやすくなってしまいます。『インプラント』は単独で植立し、両側の歯に負担をかけません。噛む力も元の自分の歯とほぼ同等で、両側の歯を護ることもできます。この患者さんにはインプラントは最良の方法でした。治療後「たいへん調子が良い。」と、とても感謝していただきました。
インプラント1本:¥280,000(税別)

女性I さん 50代 (インプラント)
主訴
上の前歯が動いて、よく腫れることがある。
治療内容
上の前歯3本は、歯周病が進行し、残すことが出来ず抜歯しました。抜歯後、歯のないところにインプラント治療を希望されましたので、2本埋入しました。
所感
歯周病が進んでいたため、抜歯した3本のスペースが通常より大きかったため、難しかったのですが、
被せものを入れる段階で、技工士さんに来ていただき、患者さん、私、技工士さん3者の目で見て、患者さんが希望される形に仕上げました。患者さんには、感謝の言葉をいただきました。
インプラント2本:¥280,000×2本=¥560,000(税別)
ポンティック:¥65,000 ×1本=¥65,000 (税別)
合計:¥625,000(税別)

女性N さん 60代 (インプラント)
主訴
左下のところに入れ歯を入れていたことがあるが、違和感が強いので、他の方法はないでしょうか!?
治療内容
歯のないところの方法として、部分入れ歯とインプラントを説明したところ、「元使っていた部分入れ歯は、ちょっと歯ごたえのあるものを食べると、歯茎が痛くなり、また、違和感も強かったです。自分の歯のように食べられるインプラントにしてください。」と、インプラントを希望されました。
所感
3本歯がないところに、2本で充分と判断し、2本埋入しました。治療後、「ありがとうございました!手術は不安でしたが、痛みもなく、安全でした。インプラントが入り、自分の歯があった時のように食べられて、うれしです。」と、とても喜んでくださいました。
インプラント2本:¥280,000×2本=¥560,000(税別)
合計:¥560,000(税別)

男性N さん 60代 (インプラント)
主訴
左下ブリッジのところが、むし歯になったので、インプラントにしたい。
治療内容
左下には、ブリッジが入っていましたが、支台になっている歯が、むし歯になっていました。それぞれの支台になっている歯は、根管治療後オールセラミックを被せ、歯のないところはインプラント治療をしました。
所感
以前は、1本歯がないところの前後の歯を削ってブリッジにしていました。その支台にしていた歯が、大きな虫歯になっていました。ブリッジは、支台になっている歯に大きな負担をかけ、歯周病やむし歯になりやすいです。歯のないところを補う方法として、残っている歯を護るためには、インプラント治療が1番いい方法だと思います。
オールセラミック冠:¥80,000×2本=¥160,000(税別)
インプラント:¥280,000(税別)
合計:¥440,000(税別)

男性K さん 60代 (インプラント)
主訴
左上の歯のないところを噛めるようにしたい。
治療内容
左上抜歯されたままの状態で3本歯がありませんでした。取り外しの部分入れ歯ではなく、インプラント治療を希望されました。3本欠損の所に2本で十分と判断し、2本埋入しました。
所感
左上以外はほとんど歯が残っている状態でした。こういう場合は最も部分入れ歯を受け入れるのが難しいし、作っても使わない方がほとんどです。インプラントを選択して正解だと思います。
治療後「久し振りに歯の感触を味わいました。好調です。かたいものも食べられるので良かったと思います。」と、喜んでくださいました。
インプラント2本:¥280,000(税別)×2本=¥560,000(税別)
合計:¥560,000(税別)

女性T さん 50代 (インプラント)
主訴
上の前歯の2本をきれいにしたい
治療内容
左の方は歯周病が進行し、抜歯しました。そこのところにはインプラントを埋入し、右の方は、根管治療をし、ファイバーコアをいれ、2本ともオールセラミック冠を被せました。
所感
前歯2本が通常の歯冠の幅よりも広かったため、不自然にならないようにするため、完成前の被せものの試適の段階で、患者さんに見てもらい、患者さん、私、技工士さんを交(まじ)えて3者で納得のいく形にて、完成にしました。患者さんは、「とてもきれいに治り、大満足です。」と、喜んでくださいました。
インプラント1本:¥280,000(税別)×1本=¥280,000(税別)
オールセラミック冠1本:¥80,000(税別)×1本=¥80,000(税別)
合計:¥360,000(税別)

女性S さん 70代 (インプラント)
主訴
下の歯のないところに歯を入れたい
治療内容
左下の4本歯のないところに3本、右下の2本歯のないところに1本、インプラントをいれました。
所感
こちらの患者さんは、歯のないところに今まで部分入れ歯を入れていました。70歳代の後半でしたが、「しっかり咬んで食事がしたい。」と、積極的にインプラント治療を希望されました。
インプラントが入った後は、「部分入れ歯の時は、硬いものはほとんど食べられず、入れ歯だからしょうがないと思っていました。インプラントにしてからは、何でも良く噛むことが出来、おいしく食事ができます。」と、とても喜んでくださいました。
患者さんの活き活きした様子をみて嬉しくなり、インプラント治療をして本当に良かったと思いました。
インプラント4本:¥280,000(税別)×4本=¥1,120,000(税別)
ポンティック(インプラント間をつなぐもの):¥65,000(税別)×1本=¥65,000(税別)
合計:¥1,185,000(税別)

男性N さん 20代 (インプラント)
主訴
右上の前の歯がないところを何とかしたい。
治療内容
インプラントをいれました。
所感
こちらの患者さんは、歯並びをよくするために、以前矯正治療を受けたそうです。ところが、矯正治療が終了した2012年の夏に、右上の前歯が抜けてしまったそうです(原因不明とのこと)。
6年半ほど我慢したがどうしても気になり、「右上の歯がないところを何とかしたい!」と、当院に来院されました。治療法として、『両隣の歯にバネをかける入れ歯・両隣の歯を削るブリッジ・インプラント』があることをご説明したところ、他の歯に負担のないインプラント治療を希望されました。
インプラントを入れた後、「これまで、歯が抜けたところにプラスチックの歯を接着剤で付けてもらってしのいでいましたが、すぐに取れてしまい困っていました。本格的な治療を受けたので、これからは取れる心配もなく、噛めるようになって嬉しいです。」と、とても喜んでくださいました。
¥280,000(税別)

女性O さん 60代 (インプラント)
主訴
右下の歯がないところを何とかしたい
治療内容
右下の2本の歯がない状態でしたが、かみ合わせなどを考え、2本のインプラントは必要ないと判断し、1本のみインプラントを埋入しました。
所感
患者様に、『取り外し式の部分入れ歯』と『インプラント治療』の選択肢があることを説明したところ、自分の歯のように噛めるインプラントを希望されました。患者さんは、「想像していたほど大変ではなく、もっと早くやっていればよかったです。しばらく右の方に歯がなかったので、噛めるようになって嬉しいです!」と、とても喜んでくださいました。
¥280,000(税別)

女性S さん 50代 (インプラント)
主訴
左下の歯がないところにインプラント治療をしたい。
治療内容
左下1本歯が抜けているところにインプラントをいれました。
所感
歯がないところの両側の歯を削り橋渡しをするブリッジという選択もありましたが、両側の歯を護ることが出来るインプラント治療が将来のことを考えると一番いい治療法だと思います。
インプラント1本:¥302,400

女性O さん 60代 (インプラント)
主訴
右下の歯のないところを何とかしたい。
治療内容
右下1本歯のないところを、以前はブリッジにしていましたが、後ろの方の歯がダメになり抜歯になりました。
歯のないところを補う方法として、部分入れ歯とインプラントがあることを説明しました。
患者さんは、しっかり咬めるようになること希望されましたので、インプラント治療をしました。
2本歯がないところに2本埋入しました。
所感
患者さんは、右下2本歯がないところ以外は、すべて歯が残っていました。
仮に右下に2本だけの部分入れ歯を入れたとしても、おそらく煩わしかったり、自分の歯のようには噛めないという理由で使わなかったと思います。インプラントにして正解だと思います。
インプラント:¥302,400×2=¥604,800

男性I さん 40代 (インプラント)
主訴
下の歯がないところに義歯を作ったが、嘔吐反射が強くて使っていない。インプラントにしたい。
治療内容
患者さんは、インプラント治療を希望されました。インプラントを右下3本欠損のところに2本、左下2本欠損のところに2本埋入しました。
所感
患者さんは、他院で義歯を作ったことがありましたが、どうしても使うことが出来なかったそうです。インプラントにしてからは、「自分の歯のように何でも噛める。」と、とても気に入ってくださいました。
インプラント:¥302,400×4=¥1,209,600
ポンティック(インプラント間をつなぐもの):1本¥70,200
合計¥1,279,800

女性S さん 50代 (インプラント)
主訴
上下歯が抜けているところに、歯をいれたい。
治療内容
上下に部分入れ歯を入れていましたが、しっかり咬めるようになりたいとの事でしたので、インプラント治療を提案した。
上顎左に2本、右に2本 下顎左に1本、右に2本インプラントをいれました。
所感
部分入れ歯を使っていた頃に比べ、「硬いものも良くかめる」と、とても喜んでくださいました。
上顎 :インプラント4本:¥302,400×4本=¥1,209,600
ポンティック(インプラント間をつなぐもの):1本¥70,200
合計¥1,279,800
下顎 :インプラント3本:¥302,400×3本=¥907,200
上下あわせて¥2,187,000

女性Y さん 30代 (インプラント)
主訴
左下の歯がないところを何とかしたい。
治療内容
左下2本歯がないところを治す方法として、インプラントと部分入れ歯があることを説明しました。患者さんは、自分の歯のように食事できるものを希望されましたので、インプラント治療をしました。
所感
左下に歯がない状態でしばらく過ごされていたため、上の歯が下の方に移動していました。正しい噛み合わせにするため、移動していた上の歯も治療しました。歯がない状態を放置すると、噛み合わせ全体に影響しますので、歯を失ったら早い段階で何らかの方法で歯をいれるべきです。
(インプラント2本 ¥604,800)

女性H さん 70代 (インプラント)
主訴
右下の歯のないところにインプラントをいれたい。
治療内容
以前、右下奥2本歯のないところに部分入れ歯をいれたことがありましたが、どうしても慣れて使えるようになることが出来ず、10年以上何もいれないで、歯がないままにしていました。
1年位前より右下の奥の歯(歯のないところのすぐ横の歯)が、ういたようなかんじがするようになりました。右端の歯が長い間で負担がかかり、歯周病が高度に進み、歯のまわりの骨がなくなりグラグラになっていました。残念ですが、残すことが出来ず抜歯になりました。患者さんは、インプラント治療を希望されましたので、右下3本歯のないところに2本インプラントをいれました。
所感
患者さんは、「入れ歯の時は、どうしても入れておくことが出来ず、ずっと使わないままにしていました。インプラントにしてからは、自分の歯と同じように噛め、幸せです。」と、とても喜んでくださいました。入れ歯を入れていて、ごはんがおいしく食べられない、痛みがある、生活に不自由が出る等があれば、その時にインプラントに替えることも可能です。また、どの治療にするか迷って(あるいは抜歯がこわくて)時間が経ってしまった場合でもインプラントは可能です。ブリッジや入れ歯などの治療を選んだ数年後に、「インプラントにしてみたい」と、再度思い立った時がチャンスです。自分の歯と同じような感覚のインプラントにしておいしくご飯を食べましょう!
(インプラント2本 ¥302,400×2本=¥604,800ポンティック1本¥70,200)合計¥675,000

女性Tさん 30代 (インプラント)
主訴
右下の前歯がグラグラする。
治療内容
右下前歯がもともと交叉(こうさ)咬合で、1本だけ前後関係が反対になって下の歯が上の歯より前に出ていました。そのため長い間でその1本が咬合性の外傷を受け、1本だけ歯周病が進み歯根のまわりの骨がほとんどなく、抜歯せざるを得ませんでした。抜歯後、インプラント治療を希望されました。
所感
抜歯後、歯がなくなったところを補う方法としてブリッジも考えられます。ブリッジは、歯がないところの両側の健全な歯を大きく削って被せてつなぐ方法です。2本の歯で歯のないところも含めて3本分を負担しますので、両側の歯の負担が大きくなり、将来支えになっている歯を失う可能性が高くなります。長い目で見ると、この患者さんには、インプラント治療が最良の方法だと思います。
インプラント1本¥300,000

女性Mさん 50代 (オールセラミック冠・インプラント)
主訴
左下奥ブリッジになっている銀歯のところが、腫れて痛みがある。
治療内容
ブリッジの片方の支台になっている歯が、かなり大きなむし歯になっていました。手っ取り早くこの歯を抜いてしまう歯医者さんもいると思いますが、ブリッジを外して丁寧にむし歯治療したところ、痛みも腫れもおさまり、抜歯を回避することが出来ました。
むし歯のところは、オールセラミック冠を被せ、今まで歯がなかったところはインプラントをいれました。
所感
一般的な医院であれば、同じところにまたブリッジをいれるでしょう。しかしブリッジの支台になる歯の負担が大きいので、もしもまたむし歯になったら、今回残すことができた歯もおそらく抜歯になってしまいます。
天然歯をできる限り残すために、私がおすすめした方法はインプラントです。インプラントは支台を必要としない治療法なので、他の歯に負担をかけることがなく、残っている天然歯を護ることができます。患者さんもご自身の歯をできるだけ大事にしたい、残したいとおっしゃられたので、インプラントを行なうことになりました。
治療後「インプラントのところが、自分の歯でないことを忘れてしまうくらい快適です!」と、とても喜んでくださいました。
(インプラント1本¥300,000セラミック1本¥86,400)合計¥386,400

女性Tさん 60代 (オールセラミック冠・インプラント)
主訴
左下のブリッジのところが、むし歯になり動いている。
治療内容
ブリッジの支台になっている一方の歯がむし歯になっていました。むし歯のところは、オールセラミック冠を被せ、今まで歯がなかったところはインプラントを希望されました。
所感
ブリッジは全体としてはとれていませんでしたが、支台になっていた小臼歯は、既にとれて大きくむし歯になっていました。もう少し気づかずに放っておいたら抜歯になっていたかもしれません。
ブリッジは、むし歯や歯周病のリスクはどうしても高くなります。今回は、ブリッジではなくインプラントを選択されたのは、ブリッジの支台になっていた歯を守る意味で正解だと思います。
(インプラント1本¥300,000セラミック1本¥86,400)合計¥386,400

女性Sさん 60代 (インプラント)
主訴
上の前歯の抜いてなくなったところに歯を入れたい。
治療内容
去年の年末、広島に長期間滞在在しているときに、上の前歯が痛くなり歯医者さんにいったところ、歯根が割れていたので、抜歯になったそうです。患者さんは、インプラントを希望されました。
所感
患者さんは、「とてもきれいにはいりました。自分の歯のようなので安心して食事ができます。」と、喜んでくださいました。
インプラント1本¥300,000

女性Iさん 60代 (インプラント)
主訴
右上のブリッジのところが痛い。
治療内容
右上2本歯がないところを前歯と奥歯をつないだブリッジがはいっていました。そのブリッジの支台になっている歯が、大きくむし歯になり痛みがでていました。歯の根の方までむし歯になっていましたので、保存することができず、抜歯しました。患者さんは、インプラントを希望されましたので、3本歯のないところに2本インプラントをいれました。
所感
患者さんは、「自分の歯のようだ。」と、とても喜んでくださいました。上顎に歯がはいった後、下顎の左右歯のないところもインプラント治療を希望されました。これからインプラントをいれる予定です。
(インプラント2本¥300,000×2本=¥600,000ポンティック1本¥70,000)合計¥670,000

女性Iさん 40代 (インプラント)
主訴
左上の小臼歯2本が腫れて、噛むと痛みがある。
治療内容
左上小臼歯2本の歯根が割れていました。どうしても残すことができず、抜歯しました。インプラント治療を希望されたため、インプラントを2本埋入しました。
所感
歯抜けのところを補う方法として、部分入れ歯、ブリッジ、インプラントがあります。部分入れ歯とブリッジは、歯のないところの負担をほかの歯に負担させるため、将来さらに歯を抜歯しなければならない可能性がおおきくなります。インプラントはそれ自身が単体で植立していて、ほかの歯に負担をかけませんので、他の歯を抜歯から守ることができます。この症例では、インプラントは正しい選択だと思います。
インプラント2本¥300,000×2本=¥600,000

男性Tさん 60代 (インプラント)
主訴
右上の前歯が動いて、噛むと痛い。
治療内容
右上の真ん中から2番目の歯が、歯周病でグラグラになり抜歯せざるを得ませんでした。抜歯後、インプラントをいれました。
所感
周りの歯とバランスよくはいりました。抜いたところの両側の歯は、健全なご自分の歯です。ブリッジにするという方法もありますが、削って被せものをする必要があります。今回、インプラント治療を希望されたのは、良い選択だと思います。
奥様も、3年半前にインプラントをいれられ、順調に経過しています。
インプラント1本¥300,000

男性Tさん 60代 (インプラント)
主訴
上前歯のブリッジがとれた。
治療内容
以前 右上の側切歯(真ん中から数えて右に2本目の歯)がなく、中切歯2本をつなげて歯のないところにダミーの歯を伸ばした延長ブリッジがはいっていました。延長したブリッジでしたので、無理な力が加わり金属の土台が折れてブリッジがとれていました。幸い歯根は折れていなかったので、中切歯2本は、土台をファイバーコアに入れ替え、被せものをしました。歯のないところは、インプラントをいれました。
所感
インプラントをいれたことにより、真ん中の2本の負担が軽減され、長持ちさせることが期待できます。
インプラント1本¥300,000

男性Kさん 60代 (インプラント)
主訴
入れ歯のところをインプラントにしたい。
治療内容
歯のないところにインプラントを5本埋入しました。固定制の被せものにしました。
所感
取り外しの部分入れ歯をいれていましたが、どうしてもなじめなかったそうです。インプラントにしてからは、なんでもおいしく食事ができるようになったと、とても喜んでくださいました。
本当にインプラント治療をして良かったと思いました。
(インプラント5本¥300,000×5本=¥1,500,000 ポンティック6本¥70,000×6本=420,000)
合計¥1,920,000

女性Kさん 60代 (インプラント)
主訴
歯のないところを何とかしたい。
治療内容
以前、上は部分入れ歯をいれていましたが、バネがかかっていた歯がダメになり1本抜歯しました。下の歯のないところは、何もはいっていませんでした。患者さんは、インプラント治療を希望されました。インプラントを上に5本、下に4本埋入しました。
所感
ほぼ10ヶ月におよぶ治療期間でしたが、本当に良く頑張ってくれました。今まで、しっかり噛むことができませんでしたが、良く噛めるようになり、見た目もとてもきれいにバランスよくはいりました。
(上顎…インプラント5本¥300,000×5本=¥1,500,000 ポンティック4本¥70,000×4本¥280,000)合計¥1,780,000
(下顎…インプラント4本¥300,000×4本=¥1,200,000 ポンティック1本¥70,000)合計¥1,270,000

男性Sさん 60代 (インプラント)
主訴
上の前歯のブリッジがグラグラ動く。
治療内容
ブリッジの支台になっていた歯が、深いむし歯と歯周病で1本抜歯になりました。前歯4本ないところに、インプラントを3本いれました。
所感
4本ないところにブリッジをやると、近い将来にまたブリッジがダメになり、さらに歯を失う結果になったんではないでしょうか。インプラントは、それ自身単独で植立するので、他の歯には負担をさせません。ブリッジや部分入れ歯のように支台の歯をさらに失う危険性はありません。
患者さんは、「自分の歯のようです。」と、とても喜んで下さいました。本当にインプラントをやって良かったと思います。
(インプラント3本 ¥300,000×3本=¥900,000 ポンティック1本¥70,000)合計¥970,000

男性Sさん60代 (インプラント)
主訴
下の前歯4本がグラグラで抜けそうです。
治療内容
下の前歯4本の歯周病が進んで、抜歯せざるを得ませんでした。抜歯後、4本歯がないところに2本インプラントを入れました。
所感
長い間、前歯がグラグラしていたため、良く噛めない状況でしたが、インプラントが入った後は、おいしく食事ができるようになったと、とても喜んでいただきました。
(インプラント2本¥300,000×2本=¥600,000 ポンティック2本¥70,000×2本=¥140,000)合計¥740,000

女性Nさん70代 (インプラント)
主訴
入れ歯をどうしても使えないので、インプラントにしたい。
治療内容
下に2本歯がありましたが、歯周病が進んでいたため抜歯しました。上に6本、下に6本インプラントをいれました。
所感
11か月にわたる治療を頑張ってくれました。本当に感謝です。「好きなお寿司を思い通りに食べられるようになった。」と喜んでいただき、うれしかったです。
(上顎¥2,400,000 下顎¥2,400,000)合計¥4,800,000

女性Tさん60代 (インプラント)
主訴
上の前歯から左上につながっているブリッジが動く。
治療内容
上下5本の歯が歯周病とむし歯で保存不可能なため抜歯をし、2本あったインプラントはインプラント周囲炎でグラグラなため撤去しました。歯がなくなった所は、インプラントを上5本、下3本いれて治しました。
所感
長い間、グラグラのブリッジで良く噛めない状態でしたが、インプラントをいれることにより、食事が思いっきりできるようになって本当に良かったと思います。
(上顎…インプラント5本¥300,000×5本=¥1,500,000 ポンティック2本¥70,000×2本=¥140,000)合計¥1,640,000
(下顎…インプラント3本¥300,000×3本=¥900,000 ポンティック1本¥70,000)合計¥970,000

男性Kさん 50代 (インプラント)
主訴
前歯の右側がぐらつく
治療内容
全体的に歯周病治療をしました。しかし、左上1番の歯周病が進んでいたため抜歯し、インプラントにより補綴。
所感
インプラントの埋入位置が、とても良かったので、非常にきれいに仕上がりました。
インプラント1本¥300,000


男性Mさん 50代 (インプラント)
主訴
歯のないところを何とかしたい。
治療内容
歯周病がすすんで保存できないところは抜歯し、欠損部分をインプラントにより補綴
所感
1年にもわたる治療でした。本当によく頑張ってついてきてくれました。患者さんに感謝です。
(上顎 ¥2,400,000)
(下顎 インプラント4本 ¥1,200,000 ポンティック2本¥140,000)合計¥1,340,000


男性Oさん 70代 (インプラント)
主訴
右上の歯が、噛むと痛い。
治療内容
右上5番の歯根が割れていたため、抜歯しインプラントにより補綴
所感
とてもきれいにはいりました。患者さんにとても感激していただいて、うれしかったです。
インプラント1本¥300,000

























