患者様の声【オールセラミック】
- なしき歯科医院TOP
 - » 患者様の声【オールセラミック】
 
プラークや細菌が付きにくい『オールセラミック』
年をとったら歯が抜けていくのは仕方のないこと…と思っていませんか?
 歯を失う原因の74%が「虫歯」と「歯周病」で、これらは『細菌』による感染症です。…ということは、原因となる細菌をお口の中から減らせば、虫歯や歯周病になるリスク、歯を失うリスクを減らすことができます!
虫歯の治療をするときに、銀歯や白いかぶせ物をすることがありますが、細菌がつきやすい素材とつきにくい素材があることをご存知ですか?患者さんのお口の中を見ますと、銀歯や保険のプラスチック製の白いかぶせ物にはプラーク(歯垢:細菌のかたまり)がたくさんついていますが、陶器製の『オールセラミック』の被せものには、プラークがほとんどついていません。

銀歯やプラスチックは、お口の中で酸化、劣化したり細かい傷がついたりして、表面にプラークがつきやすくなります。プラークの中に棲みついている虫歯菌は虫歯の再発(2次カリエス)を引き起こし、歯周病菌は歯ぐきに炎症を起こして歯周病を引き起こします。
一方、オールセラミックはほとんど劣化しませんし、表面に傷もつきにくいので、プラークがつきにくい状態が保てます。虫歯の再発や歯周病になるリスクも、その分減ります。
オールセラミックは他にも、白くて見た目がきれい、金属アレルギーにならない、歯ぐきに黒いしみ(メタルタトゥー)ができない、口臭がしにくいというメリットもあります。歯を良い状態で長持ちさせるためには、オールセラミックは他の材料よりも優れていると思います。
今入れているかぶせ物が気になる方、これからどんな素材のものを選ぼうか考え中の方、その他、気になることがある方、お気軽にご相談ください!
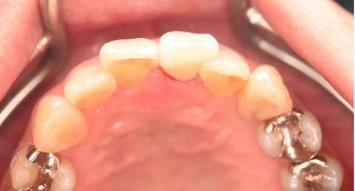
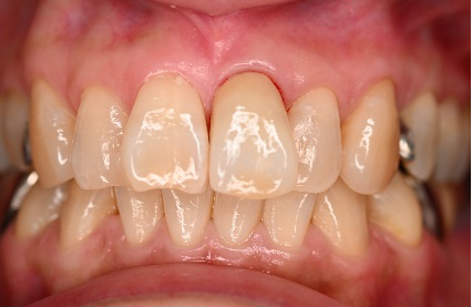
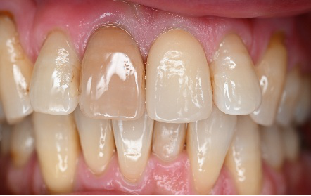
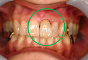
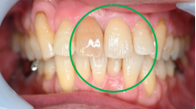
女性 Aさん 50代 (オールセラミック冠)
主訴
色が変わった上前歯をきれいにしたい。
治療内容
根管治療をし、オールセラミック冠を被せました。
所感
神経が取り除かれ、大きく詰め物がされていました。詰め物及び歯自体が変色し、虫歯になっていました。根管治療をし、ファイバーコアを入れ、オールセラミック冠を被せました。自分の歯は、捻転していましたが、被せ物により歯並びを改善することができました。
オールセラミック冠1本:¥104,500(税込)
Before
			
			
		
			
			
		
			
		
After
			
			
		
			
			
		
			
		
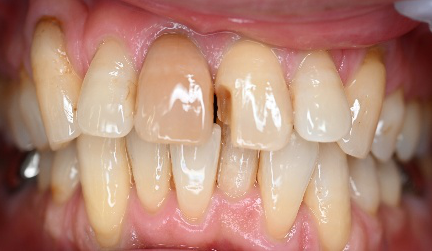
女性 Yさん 60代 (オールセラミック冠)
主訴
以前治療した右下の犬歯が、虫歯になり色が変わってきているので、治したい。
治療内容
根管治療をし、オールセラミック冠を被せました。
所感
神経が取り除かれ、歯自体が変色し、虫歯になっていました。根管治療をし、ファイバーコアを入れ、オールセラミック冠を被せました。
オールセラミック冠1本(失活歯):¥104,500(税込)
Before
			
			
		
			
		
After
			
			
		
			
		
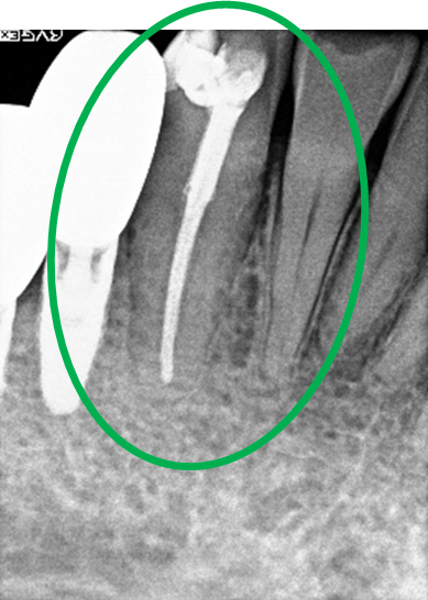
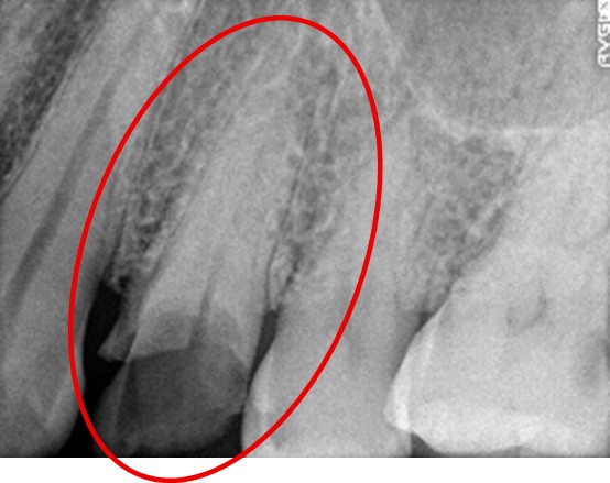
女性 Sさん 50代 (オールセラミック冠)
主訴
左上の差し歯がとれたままになっている。
治療内容
レントゲンを撮り詳しく診てみると、歯根が破折して保存することができず、抜歯する必要があることがわかりました。抜歯後、オールセラミックブリッジで補綴(欠損した部分を人工物で補う)しました。ブリッジの支台になっている後方の歯は、根尖性歯周炎(根の先端で問題を起こしている)でしたので、根管治療をしています。
所感
抜歯後、欠損部分を補う方法には、1本だけの部分入れ歯、ブリッジ、インプラントの3つの方法があります。この患者さんは、ブリッジを選択されました。メタルフリーの治療を希望されましたので、土台をファイバーコアにし、オールセラミックのブリッジをかぶせました。患者さんは、お口の中の金属を徐々に減らしていきたいということです。体全体の健康のことを考えると正しいことです。
オールセラミック冠(失活歯)1本:¥104,500(税込)
	オールセラミック冠(生活歯)1本:¥93,500(税込)
	ポンティック1本:¥93,500(税込)
	合計:¥291,500(税込)
Before
			
			
			
		
			
		
After
			
			
			
			
		
女性 Hさん 60代 (オールセラミック冠・インプラント)
主訴
右下のブリッジがゆらゆら動く。
治療内容
ブリッジの支台になっている奥の歯が、被せ物の中で虫歯になり、支台の役割を果たさず、前方の歯のみで支えられていました。前方の歯をそのままにして、後方の部分を切り離すと、そのまま取れてきました。中は、虫歯で歯根しか残っていない状況でした。この歯は、根管治療後、単独でオールセラミック冠を被せ、歯のないところにインプラントを埋入しました。
所感
今回の治療法には、次の3つの方法があります。
(1)虫歯になっていた歯の根管治療をし、土台を入れ、また再びブリッジにする。しかし、虫歯になっていたほうの歯は、ブリッジの支台として使うには、心もとなく長持ちしない可能性が高く、今度問題が生じたときには抜歯になる。
(2)虫歯になっていた歯に、単独で被せ物をし、歯のないところに1本だけの部分入れ歯を入れる。取り外しの入れ歯なので、自分の歯のような感覚で噛むことはできない。この方法も歯のない部分の負担を欠損の両側の歯に負担してもらうため、長持ちしない可能性が高い。
(3)虫歯になっていた歯に、単独で被せ物をし、歯のないところにインプラントを埋入する。欠損している部分の負担を前後の歯に負担させないので、歯を守ることができる。また、自分の歯と同じ感覚で食事をすることができる。
患者さんは、3つ目の方法を選択されました。一番長持ちし、これ以上歯を失わないためには、最良の方法だと考えます。
オールセラミック冠(失活歯):¥104,500(税込)
	インプラント:¥363,000(税込)
	合計:¥467,500(税込)
Before
			
			
		
			
			冠の中で大きな虫歯になり支台の役割を果たしていませんでした。
【インプラント埋入前】
			
			
		
			
			冠はブリッジを切断しただけで取れてきました。軟化象牙質を取り除いたところ、歯根しか残っていない状況で保存できるかどうかのぎりぎりのところでした。
After
			
		
			
		
男性 Mさん 50代 (オールセラミック冠)
主訴
右上奥歯が、冷たいものにしみる。
治療内容
歯髄(神経および血管)まで到達する大きな虫歯でしたので、抜髄(歯髄を取り除く)をし、ファイバーコアをいれ、オールセラミック冠を被せました。
所感
現在、保険治療において、限定的ではありますが、大臼歯にも白い被せ物(プラスチック冠)ができるようになりました。しかし、実感としてプラスチック冠は、
- すり減りやすい。割れることがある。
 - バイオフィルム(細菌およびそれから産生される副産物の塊)が付着しやすいので、歯周病および2次カリエス(被せ物と自分の歯の境目から再度虫歯になる)になるリスクが高い。
 - 変色する。
 
という点を感じます。白い被せ物が保険の治療でできるという理由で、安易にプラスチック冠を選択し、割れたりすり減ったり、変色したらもう一度被せなおせばいいと考えるのであれば、一度立ち止まって考えてみてください。歯の量は、治療するたびに薄く少なくなり、歯根破折のリスクが高まります。もし大きな虫歯になってしまったら、最高レベルの根管治療をし、最良の被せ物であるオールセラミック冠を被せ、定期的にお口の中のクリーニングをし、同じ歯を2度と治療しないことが、歯を長持ちさせる最良の方法だと考えます。
オールセラミック冠(失活歯):¥104,500(税込)
Before
		
劣化したプラスチック冠
After

		
	
女性 Mさん 70代 (オールセラミック冠)
主訴
右前歯が動く。
治療内容
水平に破折していました。破折していた部分を取り除き、根管治療をし、ファイバーコアをいれ、オールセラミック冠を被せました。
所感
今まで、他の歯を治療した時は、すべてメタルフリーの治療をされていて、オールセラミック冠の良さを実感されていましたので、今回もオールセラミックを選択されました。
オールセラミック冠(失活歯):¥104,500(税込)
Before
		
破折した部分を取り除いたところ
		
After

		根管治療後
	
女性 Mさん 40代 (オールセラミック冠)
主訴
上の前歯をきれいにしたい。
治療内容
前歯4本を根管治療をし、オールセラミック冠を被せました。
所感
右の1本は、被せ物をしていましたが、すり減り形が変わり、変色もしていました。他の3本はすでに神経がない状態で、詰め物をしていましたが、詰め物及び歯自体も変色し、詰め物と自分の歯の境目のところからむし歯になっていました。治療後「きれいになって嬉しいです。治療して本当に良かったです。」と、とても喜んでくださいました。
オールセラミック冠4本:¥104,500×4本=¥418,000(税込)
Before
		
After
	
女性 Mさん 50代 (オールセラミック冠)
主訴
上の前歯をきれいにしたい。
治療内容
前歯3本にオールセラミック冠を被せて、歯並び及びすり減った歯を審美的に回復しました。歯ぎしりが強くあることがわかりましたので、マウスピースを使ってもらう事にしました。
所感
一番オススメな方法は、矯正をし、歯並びを整えた後、すり減って形が変わってしまった歯に被せ物をすることをお話ししました。患者さんは、3本に被せ物をすることにより歯並びをきれいにすることを希望されました。
治療後、「曲った前歯が長年コンプレックスでした。セラミックの歯の色合いや形が自然な仕上がりで、相談して本当に良かったです!神経を抜くこともなく治療ができ、予定よりも低料金にしてもらえたのがありがたかった。先生も、歯科衛生士さんも事務の人も皆、優しく寄り添った対応をしてくれました。ありがとうございました!」と、とても嬉しいお話しをしてくださいました。
オールセラミック冠3本:¥93,500(生活歯)×3本=¥280,500(税込)
Before
		
		
After
		
	
女性 Sさん 60代 (オールセラミック冠)
主訴
上の前歯の被せ物が古くなり、色が変わったので、きれいにしたい。
治療内容
根管治療後、ファイバーコアを入れ、オールセラミック冠を被せました。
所感
レントゲンを撮り詳しく診てみると、根管治療をする必要があることがわかりました。保険の被せ物を取り除き、根管治療後、メタルフリーの治療を希望されましたので、ファイバーコアを入れ、オールセラミック冠を被せました。
オールセラミック冠2本:¥104,500×2本=¥209,000(税込)
Before
		
		
	

After
		
		
	

女性 Mさん 40代 (オールセラミック冠)
主訴
上の前歯が欠けた。
治療内容
神経をとる治療をし、根管治療後、ファイバーコアを入れ、オールセラミック冠を被せました。
所感
右前歯がむし歯で大きくかけていました。レントゲンを撮り詳しく診てみると、むし歯が深く、神経をとる治療が必要なことがわかりました。被せ物は、メタルフリーの治療を希望されましたので、ファイバーコアを入れオールセラミック冠を被せました。右上にむし歯があります。今後、そこの部分に取り組んでいきます。
オールセラミック冠1本:¥104,500(税込)
Before
		
		
	
		
		
	
むし歯が深く、神経に到達するむし歯でしたので、根管治療をしました。
After
		
		
	
		
		
	
根管治療終了後
女性 Sさん 60代 (オールセラミック冠)
主訴
上の前歯2本が動く。何度も取れてはつけ直している。
治療内容
前歯2本が動いていましたが、取れてきていない状態でした。被せ物を削って取り除き、根管治療をし直し、ファイバーコアを入れオールセラミック冠を被せました。
所感
メタルフリーの治療を希望されましたので、ファイバーコアを入れオールセラミック冠を被せました。歯ぎしりが強くあるというお話でしたので、今まで何度も取れている原因の一つに歯ぎしりもあると考え、オールセラミック冠セット時にマウスピースをお渡しし、使ってもらう事にしました。
オールセラミック冠2本:¥104,500×2本=¥209,000(税込)

女性 Uさん 70代 (オールセラミック冠・オールセラミックブリッジ)
主訴
右下のブリッジの奥の方の歯が、噛むと痛い。
治療内容
被せ物の中で大きな虫歯になっていました。被せ物を取り除き、神経をとる治療をしました。メタルフリーの治療を希望されましたので、オールセラミックのブリッジを装着しました。
所感
金属を使わない治療を希望されました。体全体の健康のことを考えると、徐々に口の中の金属を減らしていくことは、とても良い事だと考えます。
オールセラミック冠(失活歯)1本:¥104,500×1本=¥104,500(税込)
オールセラミック冠(生活歯)1本:¥93,500×1本=¥93,500(税込)
オールセラミックのポンティック:¥93,500(税込)
合計:¥291,500(税込)

女性 Fさん 60代 (オールセラミック冠・オールセラミックブリッジ)
主訴
右前歯の差し歯のところの歯茎が腫れて、噛むと痛みがある。
治療内容
歯根が破折していました(歯根が割れている)ので抜歯することになりました。抜歯後、傷が治るのを待ち、オールセラミックのブリッジを装着しました。
所感
抜歯後、歯がないところを補う方法として、1)インプラントを1本入れる、2)両側の歯を削りブリッジをいれる、3)1本の部分入れ歯を入れる という3つの方法があります。患者さんは、ブリッジを選択されました。
オールセラミック冠2本:¥93,500(生活歯)×2本=¥187,000(税込)
オールセラミックのポンティック:¥93,500(税込)
合計:¥280,500(税込)

男性 Uさん 60代 (オールセラミック冠)
主訴
左下、歯がないところに歯をいれたい。
治療内容
残根のところは、根管治療をし、オールセラミック冠を被せました。歯がないところに1本インプラントを埋入しました。
所感
インプラントは、上の歯との噛み合わせの関係から、2本歯がないところに1本だけ埋入しました。
この症例は、3Dダイナミックナビゲーションシステム「Xガイド」を使った初めての症例です。当たり前のことですが、コンピューター上で立てた治療計画がそのまま再現され、とても気持ちが良かったです。
Xガイドは、CTスキャンの画像をもとに顎骨の形態や質、神経の位置などを把握しながら事前に立てた治療計画を正確に手術に再現できるようにサポートするナビゲーションシステムです。インプラントの埋入位置と角度は、「Xガイド」の3Dナビゲーションによって正確に把握されます。骨の中の神経や血管の位置をリアルタイムに確認しながら手術を実行できるため、より安全で精度の高いインプラント手術をすることができます。
オールセラミック冠1本:¥104,500×1本=¥104,500(税込)
	インプラント1本:¥363,000×1本=¥363,000(税込)

女性 Aさん 50代 (オールセラミック冠)
主訴
前歯の被せ物をきれいにしたい。
治療内容
保険の被せ物を取り除き、根管治療をして、オールセラミック冠をいれました。
所感
患者さんは、前歯の保険の被せ物が変色し擦り減っていたので、きれいにしたいというご希望でした。メタルフリーの治療を希望されましたので、ファイバーコアを入れ、オールセラミック冠を被せました。お口の中の金属を徐々に取り除くことを希望され、今回は前歯3本をセラミックに替え、ノンメタルにしました。体全体の健康を考えると正しい選択だと思います。
オールセラミック冠3本:¥104,500×3本=¥313,500(税込)

女性 Kさん 30代 (オールセラミック冠・オールセラミックブリッジ)
主訴
上前歯をきちんときれいに治したい。(仮歯のままのところもあります)
治療内容
4本の歯、すべて根管治療をし、オールセラミックのブリッジとオールセラミック冠を被せました。
所感
患者さんは、前の医院に不満を抱き、転院されてきました。前の先生の意図を理解できませんが、いろいろな歯の治療が中途半端な状態でした。根管治療が不備な歯があり、根尖に病巣を作っていましたので、一つ一つ根管治療をしていきました。完成の前の試適の時に、技工士さんに来ていただきました。色および形を患者さんに見ていただき、希望を十分にお聞きし、患者さん・私・技工士さん3人の目で見てバランスよく仕上げて完成にしました。
オールセラミック冠4本:¥104,500×4本=¥418,000(税込)
オールセラミックポンティック:¥93,500×1本=¥93,500(税込)
合計:¥511,500(税込) 

女性 Tさん 60代 (オールセラミック冠)
主訴
左上の金属を一部分被せた歯が、むし歯になった。
治療内容
一部分被せ物をしていた歯が、被せ物と自分の歯の境目のところでむし歯になっていました。レントゲンを撮りましたところ、根管治療が必要であることがわかりましたので、根管治療をし、ファイバーコアを入れ、オールセラミック冠を被せました。
所感
今まで治療されたところは、すべてノンメタル治療を希望されましたので、今回もオールセラミック冠を被せました。
オールセラミック冠1本:¥104,500(税込)

女性 Aさん 50代 (セラミックインレー)
主訴
左上の銀歯2本を白くしたい。
治療内容
銀歯を取り除き、セラミックインレーをいれました。
所感
患者さんは、お口の中の金属を徐々に取り除くことを希望され、今回は左上の奥歯2本をセラミックに替え、ノンメタルにしました。体全体の健康を考えると正しい選択だと思います。
セラミックインレー2本:¥52,800×2本=¥105,600(税込)

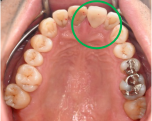
男性 Mさん 50代 (オールセラミック冠)
主訴
スルメを食べたら、歯が折れた。歯を入れて欲しい。
治療内容
レントゲンで調べてみると、根管治療が必要なことがわかりました。根管治療後、メタルフリーの治療を希望されましたので、ファイバーコアを入れ、オールセラミック冠を被せました。
所感
周りの歯と調和して入れることができました。患者さんは、「自分の歯のようだ。」と、喜んでくださいました。
オールセラミック冠1本:¥104,500(税込)

女性 Tさん 50代 (オールセラミック冠・ホワイトニング)
主訴
上前歯の被せ物が、欠けた。
治療内容
欠けた被せ物は、保険の被せ物で、プラスチックの部分が欠けていました。隣の歯は、神経が取り除かれた歯で、暗い色に変色していました。レントゲンを撮って調べてみますと、歯の中が汚れていることがわかりましたので、欠けた被せ物を取り除き、根管治療をしました。前歯を白くきれいにすることを希望されましたので、ホワイトニングをして、まわりの歯を白くし、その色に合わせて2本にオールセラミック冠を被せました。
所感
治療後「他の歯との色の差もなく、治療していただいて良かったです。これからは、大きく口を開けて笑えるようになれてうれしいです。」と、とても喜んでくださいました。
オールセラミック冠2本:¥104,500×2本=¥209,000(税込)
ホワイトニング:¥33,000(税込)
合計:¥242,000(税込)

女性 Aさん 50代 (オールセラミック冠)
主訴
左下奥歯、1ヶ月ほど前から夜寝られないくらい痛くなり、他院を受診。抜歯と言われているが、他の治療法で対応できるか診て欲しい。
治療内容
レントゲンで調べてみると、抜歯をする必要がないことがわかり、根管治療をしました。痛みは、全くなくなりました。メタルフリーの治療を希望されましたので、ファイバーコアを入れ、オールセラミック冠を被せました。
所感
他院で抜歯をし、インプラント治療を勧められたそうです。確かに抜歯をしたとしたら、その後歯がないところを補う方法としては、インプラント治療が最良だと思います。しかし、この症例は、そもそも抜歯をする必要がない歯でした。うちに来院されて本当に良かったと思います。
オールセラミック冠1本:¥104,500(税込)

女性 Sさん 70代 (オールセラミック冠)
主訴
左下奥歯が噛むと痛い。
治療内容
レントゲンで調べてみると、左下奥から2本目の歯であることがわかり、根管治療をしました。根管治療をすると症状がなくなりました。患者さんは、メタルフリーの治療を希望されたため、ファイバーコアを入れ、オールセラミック冠を被せました。
所感
以前、他の歯を治療したときに、かぶせ物にノンメタル(ファイバーコア&オールセラミック冠)を選ばれました。その良さを実感していらしたので、今回も同じように、オールセラミック冠を選択されました。
オールセラミック冠1本:¥104,500(税込)

女性 Nさん 50代 (オールセラミック冠・ホワイトニング)
主訴
上前歯の差し歯とその隣の色が変わっている歯をきれいにしたい。
治療内容
根管治療をし、ファイバーコアを入れ、オールセラミック冠を被せました。患者さんは、歯を白くすることも希望されましたので、ホワイトニング後、白くなった後の自分の歯の色にオールセラミック冠の色を合わせました。
所感
保険の被せ物は変色し、黄色っぽくなっていました。また、その隣の歯は、神経をとる治療後詰め物をしていましたが、歯及び詰め物の色が暗い色に変色していました。また、治療していない自分の歯を現状より白くすることを希望されましたので、ホワイトニングをしてから白くなった自分の歯の色にオールセラミック冠の色を合わせました。治療前、審美性のことをかなり気になっていた様子でしたが、治療後とても気に入ってくださいました。
オールセラミック冠2本:¥104,500×2本=¥209,000(税込)
ホワイトニング:¥33,000(税込)
合計:¥242,000(税込)

女性 Kさん 50代 (インプラント・オールセラミック冠)
主訴
前歯差し歯の上に、できものができている。
治療内容
右歯茎が腫れている歯は、破折していることがわかり、抜歯しました。インプラント治療を希望されましたので、1本埋入しました。左の被せ物もノンメタル治療を希望されましたので、ファイバーコアを入れ、オールセラミック冠をかぶせました。
所感
治療後「長期にわたる治療でしたが、丁寧に進めていただき、ありがとうございました。検診、忘れずに来るようにします。」と、建設的なお言葉を頂きました。
インプラント:¥363,000(税込)
オールセラミック冠:¥104,500(税込)
合計:¥467,500(税込)

女性 Mさん 50代 (オールセラミック冠)
主訴
他院で抜歯しかないと言われた歯の治療、可能ならしてほしい。
治療内容
他院で、歯根が割れているので、抜歯してインプラント治療を勧められたそうです。歯科用顕微鏡で見ると、確かに歯根にひびが入っていることが確認できました。しかし、まだ使えると判断し、保存することにしました。根管治療後、メタルフリーの治療を希望されましたので、土台にファイバーコアを入れオールセラミック冠を被せました。
所感
治療後、「抜かずに済んで、本当に良かったです。ありがとうございました。」と、とても喜んでくださいました。
オールセラミック冠1本:¥104,500(税込)

女性 Bさん 60代 (オールセラミック冠)
主訴
上の前歯をきれいにしたい。
治療内容
前歯4本に保険の被せものがしてありました。被せ物と金属の土台(メタルコア)を取り除き、ファイバーコアをいれ、オールセラミック冠を被せました。
所感
4本の被せ物は、私自身が25年前(平成9年)に治療(保険の治療。金属にプラスチックをくっつけた被せ物)したものです。長い時間を経過し、プラスチックの部分は黄色く変色し、すり減って角が取れた形になっていました。レントゲンで歯の中を確認したところ、25年前に行った根管治療は良好に経過していたため、根管治療の必要はありませんでした。
治療後、「とってもきれいに出来て満足しております。(前は、保険の歯で長年使っており色も形も悪くなっていた)ありがとうございました。」と、とても喜んでくださいました。スタッフ一同、嬉しくなりました。
オールセラミック冠4本:¥104,500×4本=¥418,000(税込)

男性 Iさん 70代 (オールセラミック冠)
主訴
左上の前歯が欠けた。
治療内容
既に神経のない歯でしたが、根管の中が汚れていましたので、根管治療をしました。メタルフリーの治療を希望されましたので、土台にファイバーコアを入れオールセラミック冠を被せました。
所感
周りの歯とバランスよく入りました。「きれいにはいって良かったです。ありがとうございました。」と、喜んでくださいました。
オールセラミック冠1本:¥104,500(税込)

女性 Fさん 70代 (オールセラミック冠)
主訴
下の前歯、硬いものが少し当たるだけで痛い。
治療内容
歯根が完全に割れていましたので抜歯しました。抜歯後、歯がないところはオールセラミックのブリッジにしました。
所感
ブリッジの支台になる歯のかみ合わせが、反対咬合になっていましたが、被せ物でかみ合わせを改善することが出来ました。
オールセラミック冠2本:¥104,500×2本=¥209,000(税込)
オールセラミックポンティック:¥93,500×2本=¥187,000(税込)
合計:¥396,000(税込)

女性 Tさん 50代 (オールセラミック冠)
主訴
下の前歯2本をきれいにしたい。
治療内容
保険の被せ物を取り除き、ファイバーコアを入れオールセラミック冠を被せました。
所感
保険のプラスチックの被せ物が、変色し暗い色になっており、形はすり減って丸みを帯びた形になっていました。患者さんは、まわりの歯と調和した歯にすることを希望されました。完成の前の試適の段階で、技工士さんに一緒に見てもらいました。患者さんのお口の中に実際に装着し、色、形を見てもらい希望されるように仕上げました。治療後、患者さんは「自分の歯のようです。」と、とても喜んでくださいました。
オールセラミック冠2本:¥104,500×2本=¥209,000(税込)

女性 Tさん 40代 (オールセラミック冠)
主訴
左上の犬歯のつめものがとれた。
治療内容
詰め物がとれただけではなく、大きくむし歯になっていました。隣の歯も大きくむし歯になっていましたので、2本とも神経をとり根管治療をしました。メタルフリーの治療を希望されましたので、土台にファイバーコアを入れオールセラミック冠を被せました。
所感
この患者さんは、2年前に前歯4本をメタルフリーの治療をされ、その良さ、美しさを実感されていましたので、今回もファイバーコア+オールセラミック冠を選択されました。
オールセラミック冠2本:¥104,500×2本=¥209,000(税込)

男性 Kさん 70代 (オールセラミック冠)
主訴
左上の犬歯の差し歯がとれた。
治療内容
根管治療後、メタルフリーの治療を希望されましたので、土台にファイバーコアを入れオールセラミック冠を被せました。
所感
この患者さんは、8年前にメタルフリーの治療を4本され、その良さを実感されていましたので、今回もファイバーコア+オールセラミック冠を選択されました。
オールセラミック冠:¥104,500(税込)

女性 Tさん 50代 (オールセラミック冠)
主訴
上の前歯をきれいにしたい。
治療内容
右上の側切歯は、内側に入っていて全く機能していなかったので、患者さんの希望があり抜歯。
3本にオールセラミック冠を被せました。
所感
治療後「昨年の11月から、なしき先生のところで、治療していただきました。小さなむし歯も治してもらい、奥歯もオールセラミックにしてもらい、きれいになり、奥歯で頬っぺたを噛むこともなくなりました。前歯も、むし歯で詰め物でつぎはぎしたようになっていたのを、オールセラミックにしてもらい、きれいになりました。前歯の治療をする前にホワイトニングもして、歯を白くしてまわりの歯に合う白い色にしてもらいました。ありがとうございました。」と、感謝の言葉を頂き、スタッフ一同、とても嬉しかったです。
オールセラミック冠3本:¥104,500×3本=¥313,500(税込)

女性 Sさん 40代 (オールセラミック冠・オールセラミックブリッジ)
主訴
右前歯が1本抜けている。歯のつけ根のところが黒っぽい。前歯をきれいにしたい。
治療内容
歯がないところは、オールセラミックのブリッジ。他のところは、オールセラミック冠を被せました。
所感
治療後「以前は、表面がザラザラのかぶせ物で、歯も曲って入ったのが気になっていたのが、時間をかけて、ていねいに治して頂き、ありがとうございました。セラミックなので見た目もキレイですごく感謝です。あとは、旦那もお世話になっておりますので、時間がかかると思いますがよろしくお願いいたします。」と、ありがたいお言葉を頂きました。
オールセラミック冠3本:¥104,500×3本=¥313,500 (税込) 
オールセラミックブリッジ
	オールセラミック冠2本:¥104,500×2本=¥209,000(税込)
	ポンティック1本:¥93,500(税込)
	合計:¥616,000(税込)

女性 Kさん 80代 (オールセラミック冠)
主訴
前歯に隙間が空いてきたので、きれいにしたい。
治療内容
前歯2本にオールセラミック冠を被せました。
所感
矯正という考え方もあると思いますが、総合的に考えて、被せ物をして整えることにしました。
治療後「隙間がなくなり、きれいになり、とても良かったです。」と、とても喜んでくださいました。
オールセラミック冠2本:¥104,500×2本=¥209,000 (税込)

男性 Mさん 20代 (オールセラミック冠)
主訴
転んで顔をうち、歯が折れた。
治療内容
歯が折れて、歯髄が露出していましたので、根管治療をしました。メタルフリーの治療を希望されましたので、オールセラミックを被せました。
所感
転んで強い力がかかり、今まで全く治療したことがなかった健康な歯が、折れていました。抜歯にならず、なんとか助けることが出来てよかったです。
オールセラミック冠1本:¥104,500(税込)

男性Y さん 40代 (インプラント・オールセラミック冠)
主訴
左上のブリッジがとれて、歯茎が腫れている。右上のブリッジも取れている。むし歯もあるので治療したい。
治療内容
左上の腫れているところは、歯根が破折していたため保存できず抜歯しました。 左上一番奥の大きくむし歯になっていた親知らずは、機能していないので抜歯しました。左右ブリッジがとれたところは、一本ずつそれぞれ治療しオールセラミック冠を被せ、歯がないところは、インプラントで対応することにしました。
所感
治療後「しばらく奥歯で思う存分噛むことが出来ませんでした。食事がおいしく食べられるようになり、とても嬉しいです。」と、とても喜んでくださいました。
インプラント4本:¥280,000×4=¥1,120,000(税別)
						ポンティック1本:(インプラント間をつなぐもの):¥65,000(税別)
						オールセラミック冠5本:¥80,000×5本=¥400,000(税別)
						合計:¥1,585,000(税別)

女性 Sさん 30代 (オールセラミック冠)
主訴
上の前歯をきれいにしたい。
治療内容
現在の被せ物(保険の被せ物)を取り除き、根管治療をし、オールセラミック冠を被せました。
所感
治療後「今まで、人と話す時、上の前歯がどうしても気になり、無意識のうちに口元に手が行って前歯をかくすようにしていました。きれいな歯が入り、人前で自信が持てます。とても嬉しいです。」と、本当に喜んでくださいました。
口元に自信を持ち、積極的、主体的な人生を歩んでほしいです!
オールセラミック冠(ファイバーコアの土台付き)2本: ¥80,000×2本=¥160,000(税別)

女性 Yさん 70代 (オールセラミック冠)
主訴
上前歯2本の被せものが古くなったので、きれいにしたい。
治療内容
被せものを取り除き、根管治療をしました。メタルフリーの治療を希望されましたので、オールセラミック冠を被せました。
所感
「とてもきれいな歯になり、嬉しいです。最初は不安でしたが、出来上がり良かったと思っています。先生スタッフの皆さん、ありがとうございました。」と、とても喜んでくださいました。
オールセラミック冠2本: ¥80,000×2本=¥160,000(税別)

女性 Aさん 60代 (オールセラミック冠)
主訴
上前歯2本をきれいにしたい
治療内容
現在の被せものを取り除き、根管治療をしました。メタルフリーの治療を希望されましたので、オールセラミック冠を被せました。
所感
「気にしていた前歯が、きれいになってとても嬉しいです。」と明るい表情でした。
オールセラミック冠: ¥80,000×2本=¥160,000(税別)

女性 Sさん 50代 (セラミック冠)
主訴
右上の銀歯をメタルフリーの歯にして欲しい
治療内容
患者さんは、メタルフリーの治療を希望されましたので、銀歯を取り除きセラミック治療をしました。
所感
初診時、銀歯が多数ありましたが、メタルフリーの治療を希望されました。徐々に取り除き、セラミック治療をしました。金属を使わない治療が、ながい目で見ると体全体の健康のことを考えると、とても良いことだと思います。
セラミック冠: ¥80,000(税別)

女性 Sさん 50代 (オールセラミック冠)
主訴
左上の銀歯のブリッジを、金属を使わない被せものにして欲しい
治療内容
患者さんは、ノンメタル治療を希望されましたので、金属を取り除きセラミックのブリッジにしました。
所感
患者さんは、お口の中の金属を徐々に取り除いていくことを希望されました。体全体のことを考えると、とても良い事です。
オールセラミック冠(ファイバーコアなし):¥75,000×2=¥150,000(税別)
   オールセラミックのポンティック:¥75,000(税別)
合計 ¥225,000(税別)

男性 Tさん 80代 (オールセラミック冠)
主訴
左上の歯茎が腫れて、噛むと痛い
治療内容
左上奥2本が、根の先端で問題を起こし、歯肉が腫れていましたので、根管治療をしました。患者さんは、メタルフリーの治療を希望されましたので、オールセラミック冠を被せました。
所感
根管治療をしたところ、歯肉の腫れは、きれいになくなりました。お口の中には、まだ金属冠がありました。体全体の健康のことを考えると、徐々に金属を取り除いた方が良いことをお話ししました。
オールセラミック冠2本:¥80,000×2本=¥160,000(税別)

女性 Aさん 30代 (オールセラミック冠)
主訴
上の前歯の隙間が、大きくなってきている
治療内容
上前歯の2本に被せものをして見た目を改善しました。患者さんは、メタルフリーの治療を希望されましたので、オールセラミックの治療をしました。
所感
上前歯が少しずつ移動し、隙間が以前より大きくなっていました。1番いい方法は、矯正により歯並びを整えることを、説明しました。患者さんは、被せものによる見た目の改善を希望されたため、2本にオールセラミックを被せ、歯の移動を予防するために、2本を連結し一体とした被せものにしました。治療後、患者さんは、「治療前は、どんな風に出来上がるのか、すごく不安でしたが、満足のいく歯にしてもらえて、良かったです。ありがとうございました。」と、とても喜んでくださいました。
オールセラミック冠2本:¥80,000×2本=¥160,000(税別)

女性 Kさん 30代 (セラミックインレー)
主訴
銀歯のところをセラミックにしたい
治療内容
金属インレーを取り除き、セラミックインレーを装着しました。
所感
患者さんは、最近金属のピアスをつけたら、耳たぶが赤く大きく腫れたそうです。「皮膚科に行って検査をしてもらったら、歯科の保険で使われている金属にアレルギー反応が陽性に出ました。心配なので口の中の金属を取り除きたい。」という事で、来院されました。金属のアクセサリーにアレルギー反応がある方は、積極的にお口の中の金属を取り除くことは大正解だと思います。
治療後、「今回入れた物は、見た目きれいで違和感なく大満足です。先生や衛生士さんも優しくて、安心して口を開けていられました。ありがとうございました。」というお話を頂き、自分も含めてスタッフ一同、とても嬉しくなりました。
セラミックインレー3本:¥45,000×3本=¥135,000(税別)

女性 Kさん 50代 (オールセラミック冠)
主訴
金属アレルギーかもしれないので、相談したい。
治療内容
掌蹠膿疱症で約10年程悩まされていたそうです。皮膚科に通院していたものの、改善されず、皮膚科の先生に「もしかすると口の中の金属が原因かもしれない。」とアドバイスされ、来院されました。口腔内には、多数の金属がありました。原因と考えられるものを取り除くことが第一と考え、ひとつずつ金属を使わない材料で治療しなおしました。
所感
口腔内の金属を徐々に取り除いて約半年が経過したころより、少しずつ皮膚の症状の改善が見られはじめたそうです。今年(2019年)に入り、更に改善が見られ、「歯科通院中も皮膚科にも通っていたが、歯科に通院する前は、皮膚科で出された薬では良くならなかったので、今あらためて考えると、やはり口腔内の金属が原因ではなかったのかなぁ…。」と、とても明るい表情でお話ししてくださいました。皮膚科に行ってもなかなか治らない皮膚症状のすべてが口の中の金属であるとは考えませんが、金属のアクセサリーをつけてかゆみ赤みなどが出る方、なかなか治らない皮膚症状がある方は、原因の一つと考えられるお口の中の金属を取り除いた方が良いことは、確かだと思います。
オールセラミック冠14本:¥80,000×14本=¥1,120,000(税別)

女性 Nさん 60代 (オールセラミック冠)
主訴
右上の被せものをしているところが、むし歯になり食べものがはさまるので、治したい。
治療内容
右上、ブリッジになっているところが、被せものの境目のところから大きくむし歯になっていました。大きなむし歯でしたので根管治療をしました。患者さんは、メタルフリーの治療を希望されましたので、オールセラミックのブリッジにしました。
所感
ブリッジの支台になっている後方の歯が大きなむし歯でしたが、根管治療をし、残すことが出来ました。よかったです。もう少し時間がたっていたら、使えない歯(抜歯)になっていたかもしれません。お口の中には、銀歯がまだありました。体全体の健康のことを考えると、徐々に取り除きメタルフリーにしていく方が良いことを、ご説明しました。
オールセラミック冠1本(根管治療をした歯):¥80,000×1本=¥80,000(税別)
オールセラミック冠1本(神経のある歯、ファイバーコアなし):¥75,000(税別)
オールセラミックポンティック1本:¥75,000(税別)
合計:¥230,000(税別)

女性 Tさん 30代 (オールセラミック冠)
主訴
前歯をきれいにしたいということで来院されました。
治療内容
前歯(2本)の保険の被せものが、まわりの歯と比べてバランスが悪い(大きすぎる上に、色も不自然な)ことと、隣の2本の歯の、詰めものの変色に悩んでおられました。
    虫歯にもなっていたので、被せものを取り除き、4本すべて根管治療をして、オールセラミック冠を被せました。
所感
完成前の試適の段階で、患者さんのお口の中に装着して見て頂き、技工士さんを交えて3者(患者さん、私、技工士さん)で検討し、患者さんの納得のいく形状と色で、完成形のかぶせ物を作成しました。患者さんは、「きれいになり、嬉しいです!」と、とても満足してくださいました。
保険での治療には制約と限界があり、形、大きさ、色にあまり細かい指定ができません。また、再治療のたびにご自身の歯(天然歯)が削られて小さくなっていきます。特に前歯は目立ちますので、最初の治療のときにセラミックを選択しておいた方が、高い満足度で長くご使用いただけるケースが多いと感じています。
オールセラミック冠4本:¥80,000×4本=¥320,000(税別)

女性 Tさん 40代 (オールセラミック冠)
主訴
右上の被せものをしているところが、むし歯になり食べものがはさまるのでので、治したい。
治療内容
右下の歯が、根の先で問題を起こし、かつ歯周病でもありました。根管治療と歯周病治療をしました。
患者さんは、メタルフリーの治療を希望されましたので、ファイバーコアをいれオールセラミック冠を被せました。
所感
他院で抜歯を宣告された歯でした。根管治療と歯周病治療をすると腫れはなくなり残せると判断しました。歯のまわりの清掃の仕方をしっかり指導しました。患者さんは、丁寧に実践してくれています。
オールセラミック冠:¥86,400×1本=¥86,400

男性 Tさん 40代 (オールセラミック冠)
主訴
掌蹠膿疱症(しょうせきのうほうしょう)なので、口の中の金属を取り除きたい。
治療内容
金属冠のところは、根管治療をし、オールセラミック冠を、金属の詰め物のところは、金属を取り除きオールセラミックインレーをいれました。
所感
患者さんは、掌蹠膿疱症でお困りで、「原因の一つかもしれない口の中の金属を取り除きたい。」という事で来院されました。患者さんは、初診時手と足に皮膚症状、また関節炎もあるとの事でした。治療終了後、「皮膚の状態は、初診時に比べると良くなっているが、金属を取り除きセラミックにしたために良くなったかどうかはわからない。また、関節炎はあまり変化はなく、良くはなっていない。」という事でした。口の中で溶け出している金属が体にとりこまれるのをなくし、体にすでに蓄積、残留している金属が徐々に体外へ排出され、掌蹠膿疱症の症状が、緩解されていくことを期待したいです。
オールセラミック冠:¥86,400×8本=¥691,200
オールセラミックインレー:¥48,000×1本=¥48,000
合計:¥739,200 

男性 Kさん 40代 (オールセラミック冠)
主訴
右上前歯、10年くらい前にセラミックを被せたものが、かけてしまった。
治療内容
現在被せているものを取り除き、新たにオールセラミック冠を被せました。
所感
この患者さんは、強い歯ぎしりがあり、セラミックの薄いところで壊れていました。セラミックに厚みがとれるように削り直し、新たにオールセラミック冠を被せなおしました。同時に歯ぎしりから歯を護ることを目的に、マウスピースを作り、就寝中使用してもらうことにしました。患者さんは、色も形も気に入ってくれて、とても満足していただきました。
オールセラミック冠:¥86,400

女性 Oさん 60代 (オールセラミック冠)
主訴
金属を使った被せもののところをセラミックにしたい。
治療内容
患者さんは、金属の被せものをすべてメタルフリーにすることを希望されました。すでに神経のない歯は、根管治療をしファイバーコアを入れオールセラミック冠を、神経がある歯は、神経を温存しオールセラミック冠あるいは一部分をかぶせるオールセラミックインレーにしました。
所感
お口の中の金属を減らしていくことは、体全体の健康のことを考えると、とても良いことです。 
現在お口の中に保険の銀歯がある方は、じょじょに取り除いた方がいいと思います。
オールセラミック冠(ファイバーコアあり):¥86,400×10本=¥864,000 
オールセラミック冠(ファイバーコアなし):¥81,000×3本=¥243,000 
オールセラミックインレー:¥48,000×2本=¥96,000 
合計:¥1,203,000

女性 Hさん 50代 (オールセラミック冠)
主訴
上の前歯の歯肉が、腫れている。
治療内容
根尖に病巣がありましたので,根管治療をしました。歯肉の腫れは、きれいになくなりました。患者さんは、メタルフリーの治療を希望されました。ファイバーコアをいれ、オールセラミック冠を被せました。
所感
根管治療後、歯肉の腫れはきれいになくなりました。
(治療費 ¥86,400)
女性 Sさん 20代 (オールセラミック冠)
主訴
左上の奥の歯が痛い。
治療内容
左上の第一大臼歯に痛みがありました。すでに神経のない歯でしたが、歯根のなかで問題が起きていましたので、銀歯を取り除き、根管治療をしました。患者さんは、メタルフリーの治療を希望されましたので、ファイバーコアを入れ、オールセラミック冠を被せました。
所感
この歯は、治療前、銀歯が被さっていました。患者さんは、「銀歯がずっと気になっていました。新しい被せものは、自然でまるで自分の歯のようです。金属を使わない治療にしてよかったです。」と、喜んでくださいました。体全体の健康を考えると、徐々に金属をなくしていくことは、正しいと思います。下顎の方にも銀歯がありましたので、徐々にメタルフリーにしていくことを、お勧めしました。
      (治療費 ¥86,400)


女性 Oさん 40代 (オールセラミック冠)
主訴
右上前歯が、冷たいものに凄くしみる。
治療内容
以前白い詰め物をしていました。詰め物と自分の歯との境目からむし歯になっていました(2次カリエス)。むし歯が深く神経まで到達していましたので、神経をとり、根管治療をしました。患者さんは、メタルフリーの治療を希望されましたので、ファイバーコアを入れ、オールセラミック冠を被せました。
所感
治療をした両隣の歯が、ご自分の天然歯でしたので、色調を合わせるのが難しかったのですが、まわりの歯とバランスよくはいり、患者さんは「自分の歯のようだ。」と、とても満足していただきました。
      (治療費 ¥86,400)

女性Iさん 30代 (オールセラミック冠)
主訴
右前歯2本の被せものが欠けたりすり減ったりして気になるので、新しく被せなおしたい。
治療内容
古い被せものを取り除き、根管治療をし直しました。患者さんは、メタルフリーの治療を希望されましたので、ファイバーコアをいれオールセラミックの被せものをしました。
所感
右の犬歯がないので、バランスをとるのがむずかしかったです。完成前、試適の段階で患者さんと技工士さんと私とでよく相談し、形や色を修正しました。患者さんは、とても満足してくださいました。
     (¥86,400×2本)合計¥172,800

女性Sさん 20代 (オールセラミック冠)
主訴
左前歯の被せものの色が変わり、すり減ったので、新しく被せなおしたい。
治療内容
古い被せものを取り除き、根管治療をし直しました。患者さんは、メタルフリーの治療を希望されましたので、ファイバーコアをいれオールセラミックの被せものをしました。
所感
以前は、色の変わってしまった被せものが気になり、歯を出して笑うのが嫌だったそうです。治療後は人前でも大きなお口を開けて笑えるようになったそうです。本当に治療してよかったと思いました。
     (治療費 ¥86,400)

女性Oさん 50代 (オールセラミック冠)
主訴
右の前歯がとれた。隣の左2本も色が変わっているので新しく被せなおしたい。
治療内容
前歯3本根管治療をし直しました。患者さんは、メタルフリーの治療を希望されましたので、オールセラミックの被せものをしました。
所感
オールセラミックの被せものを気に入って、とても喜んでくださいました。周りの歯ともバランスよく自然な感じで入れることが出来ました。
      (¥86,400×3本)合計¥259,200

女性Oさん 50代 (オールセラミック冠)
主訴
右上の前歯が、カニを食べたら欠けた。
治療内容
右上2本の前歯に詰め物をしてありましたが、詰め物と自分の歯との隙間からむし歯になり(2次カリエス)、裏側が大きくかけていました。むし歯を取り除いていくと、神経まで達するむし歯でしたので、神経をとる治療をしました。患者さんは、メタルフリーの治療を希望されましたので、オールセラミックの被せものをしました。
所感
オールセラミックの被せものが、「自分の歯のようだ。」と、とても喜んでくださいました。周りの歯ともバランスよく自然な感じで入れることが出来ました。
      (¥86,400×2本)合計¥172,800

女性Fさん 30代 (オールセラミックインレー)
主訴
左上の銀歯がとれた。
治療内容
むし歯になっていましたので、むし歯を取り除きました。患者さんは、メタルフリーの治療を希望されましたので、オールセラミックの被せものをしました。
所感
オールセラミックの被せものが、とても自然だと、喜んでくださいました。見た目が、きれいになっただけでなく、体全体の健康を考えると、とてもよかったと思います。他にも銀歯がありましたので、徐々に銀歯を取り除きメタルフリーにしていくことをお勧めしました。
     (治療費 ¥48,000)

女性Kさん 30代 (オールセラミックインレー)
主訴
銀歯のところを白いものにしたい。
治療内容
メタルフリーの治療を希望されましたので、銀歯を取り除き、オールセラミックの被せものをしました。
所感
患者さんは、お口を開けたときに銀歯が見えるのを気にしておられました。オールセラミックの被せもので、とても自然になっただけでなく、体全体の健康を考えると、とてもよかったと思います。徐々に銀歯を白いものに取り換えていくことを希望されております。
      (治療費 ¥48,000)

男性Kさん 30代 (オールセラミック冠)
主訴
上前歯の被せものと隣の歯との間に、隙間ができてきたので、きれいに治したい。
治療内容
上前歯の保険の被せものがだいぶすりへり、変色していました。被せものと金属の土台を取り除き、根管治療をしました。
        患者さんが、メタルフリーの治療を希望されました。ファイバーコアをいれ、オールセラミック冠を被せました。
所感
まわりの歯が天然歯でしたので、色をあわせるのが難しかったのですが、とてもバランスよく入りました。患者さんは、「どこが被せものかわからないくらい自然にはいりました。」と、とても満足してくださいました。
     (治療費 ¥86,400)

女性Oさん 40代 (オールセラミック冠)
主訴
右下の銀歯のところが、噛んだ時に違和感があった。
治療内容
レントゲンを撮ると、根の先に問題がありましたので、根管治療をしました。患者さんが、メタルフリーの治療を希望されました。ファイバーコアをいれ、オールセラミック冠を被せました。
所感
お口の中には、他にも銀歯がありました。体全体のことを考え、今後徐々に金属を減らしていくことをお勧めしました。
     (治療費 ¥86,400)

女性Mさん 50代 (オールセラミック冠・インプラント)
主訴
左下奥ブリッジになっている銀歯のところが、腫れて痛みがある。
治療内容
ブリッジの片方の支台になっている歯が、かなり大きなむし歯になっていました。手っ取り早くこの歯を抜いてしまう歯医者さんもいると思いますが、ブリッジを外して丁寧にむし歯治療したところ、痛みも腫れもおさまり、抜歯を回避することが出来ました。
        むし歯のところは、オールセラミック冠を被せ、今まで歯がなかったところはインプラントをいれました。
所感
一般的な医院であれば、同じところにまたブリッジをいれるでしょう。しかしブリッジの支台になる歯の負担が大きいので、もしもまたむし歯になったら、今回残すことができた歯もおそらく抜歯になってしまいます。
        天然歯をできる限り残すために、私がおすすめした方法はインプラントです。インプラントは支台を必要としない治療法なので、他の歯に負担をかけることがなく、残っている天然歯を護ることができます。患者さんもご自身の歯をできるだけ大事にしたい、残したいとおっしゃられたので、インプラントを行なうことになりました。
        治療後「インプラントのところが、自分の歯でないことを忘れてしまうくらい快適です!」と、とても喜んでくださいました。
        (オールセラミック冠…¥86,400 インプラント…¥302,400)

女性Tさん 60代 (オールセラミック冠・インプラント)
主訴
左下のブリッジのところが、むし歯になり動いている。
治療内容
ブリッジの支台になっている一方の歯がむし歯になっていました。むし歯のところは、オールセラミック冠を被せ、今まで歯がなかったところはインプラントを希望されました。
所感
ブリッジは全体としてはとれていませんでしたが、支台になっていた小臼歯は、既にとれて大きくむし歯になっていました。もう少し気づかずに放っておいたら抜歯になっていたかもしれません。
ブリッジは、むし歯や歯周病のリスクはどうしても高くなります。今回は、ブリッジではなくインプラントを選択されたのは、ブリッジの支台になっていた歯を守る意味で正解だと思います。
(オールセラミック冠…¥86,4000 インプラント…¥302,400)

女性Tさん 40代 (オールセラミック冠)
主訴
上の前歯の被せものをきれいにしたい。
治療内容
保険の被せものを取り除きました。中がむし歯になっていましたので、神経をとる治療をしました。患者さんが、メタルフリーの治療を希望されたため、オールセラミック冠を被せました。
所感
まわりが自分の歯で一本だけ被せる場合は、色を合わせるのがとてもむずかしいです。技工士さん(南部さん)との二人三脚でとてもきれいに仕上がりました。患者さんは、とても満足してくださいました。
      (治療費 ¥86,400) 

女性Iさん 30代 (オールセラミック冠)
主訴
左上の銀歯のところを白い歯にしたい。
治療内容
左上の第二小臼歯と第一大臼歯の銀歯のところが、歯肉が退縮し、歯根が大きく摩耗していました。患者さんは、メタルフリー(金属を使わない)の治療を希望されたため、被せものと金属の土台を取り除き、ファイバーコアをいれ、オールセラミック冠を被せました。
所感
患者さんは、ニュースレターでガルバニック電流の記事を読まれて、相談されました。肩こりがひどいという事でした。肩こりの原因が、すべて銀歯のせいだとはいえませんが、体全体の健康を考えて、メタルフリー治療を提案しました。お口の中には他にも銀歯がありましたので、徐々に減らしていくことをお勧めしました。
      (¥86,400×2本)合計¥172,800

女性Oさん 60代 (オールセラミックのブリッジ)
主訴
右上のブリッジのところが、年末(2015年)に痛みがあった。
治療内容
ブリッジの支台になっている歯が、神経まで達する大きな虫歯になっていました。ブリッジを取り除き、神経をとる治療をしました。また、もう一方の支台になっている歯も、歯の中が汚れていましたので根管治療をしました。メタルフリーの治療を希望されたため、ファイバーコアをいれ、オールセラミックのブリッジにしました。
所感
患者さんは、メタルフリーの治療を希望されました。体全体の健康を考えると、正しい選択だと思います。他にもお口の中に金属がありましたので、徐々に減らしていくことをお勧めしました。
(オールセラミック冠2本¥86,400×2本)=¥172,800
(オールセラミックポンティック2本¥81,000×2本)=¥162,000
合計¥334,800

男性Yさん 40代 (オールセラミック冠)
主訴
怪我で前歯が2本割れています。応急処置で接着していますが、「外れては接着して」を3〜4回くりかえしているので、恒久的に治したい。
治療内容
前歯2本が、折れて神経が露出していました。神経をとる治療をし、オールセラミック冠を被せました。
所感
患者さんは、長持ちするものを希望されました。オールセラミック冠は、長期間使っても色の変化とすり減りはありません。また、金属を使いませんので、体全体の健康にとってもすぐれています。
      (¥86,400×2本)合計¥172,800

女性Mさん 50代 (オールセラミック冠)
主訴
右上前歯の被せものが変色しているので、被せなおしたい。
治療内容
現在かぶせているものを取り除きました。レントゲンを撮ると、根管治療が必要であることがわかりました。患者さんは、メタルフリーの治療を希望されたため、根管治療後、ファイバーコアをいれ、オールセラミック冠を被せました。
所感
まわりの歯ととてもバランスよくはいりました。他の歯にも金属の詰め物や被せものがはいっていました。体全体の健康を考えると、徐々に取り除いてメタルフリーにすることをおすすめしました。
      (治療費 ¥86,400)

女性Tさん 60代 (オールセラミック冠)
主訴
左上の犬歯の被せものの歯茎に近いところから、嫌なにおいがする。
治療内容
自分の歯と被せものの境目に隙間があり、その隙間が汚れて臭いを発していたと考えられます。現在の被せものを取り除き、新しく被せ直しました。患者さんは、メタルフリーの治療を希望されたため、オールセラミック冠を被せました。
所感
以前は、保険の被せもの(金属にプラスチックを張り付けたもの)がはいっていました。被せものと歯との間に隙間があると、汚れが溜まりやすいのはもちろんです。さらに、保険の金属とプラスチックには、歯垢がとても付きやすく、それも臭いの原因の一つだったと考えられます。セラミックは、歯垢が付着しづらい材質です。オールセラミック冠を選択されて、正解です。
            (治療費 ¥86,400)

女性Tさん 50代 (オールセラミック冠)
主訴
左下の奥から2つ目の歯が、噛むと痛いし、何もしなくても痛い。腫れもあります。
治療内容
左下奥から2つ目の銀歯が、歯根の先端で病巣をつくり、炎症を起こしていました。根管治療をすると、腫れも痛みもなくなりました。メタルフリーの治療を希望されましたので、オールセラミック冠を被せました。
所感
銀歯の多い方でしたが、徐々に減らしていきたいという事でした。体全体の健康のことを考えると、正しい選択だと思います。
            (治療費 ¥86,400)

男性Tさん 50代 (オールセラミック冠)
主訴
左上奥歯のむし歯を治療したい。
治療内容
銀歯がはいっていましたが、銀歯と歯との隙間からむし歯になっていました。金属を取り除き、すでに神経のない歯でしたが、根の中が汚れていましたので、根の治療をし、オールセラミック冠を被せました。
所感
この患者さんには、まだ数か所銀歯がありますが、体全体の健康のことを考え、徐々に銀歯を取り除いていくことをお勧めしました。
                  (治療費 ¥86,400)

女性Sさん 10代 (オールセラミック冠)
主訴
左上と右下の銀歯を白くしたい。
治療内容
右下の銀歯は、根の治療後、オールセラミック冠を被せました。左上は、銀歯を外し オールセラミックのインレーを装着しました。
所感
この患者さんは、審美的なことで銀歯を取り除きたかったのですが、体全体の健康のことを考えると、金属を使わない治療にして正解だったと思います。患者さんは、とても満足してくださいました。
      (オールセラミックインレー¥48,000 オールセラミック冠¥86,400)合計¥134,400

女性Sさん 20代 (オールセラミック冠)
主訴
上の前歯が暗い色なので、きれいにしたい。
治療内容
左上前歯は、すでに神経をとり根の治療がされていました。ファイバーコアをいれ、オールセラミック冠を被せました。
所感
神経がない歯は、時間とともにだんだんと暗い色に変化してきます。また、この歯は、以前 根の治療をした後、裏側が大きく詰め物がしてあり、詰め物と歯の隙間からむし歯になっていました。むし歯のところと詰め物を取り除いていくと、自分の歯がほとんどなくなりましたので、オールセラミック冠で治すことにしました。歯並びがわるかったのですが、まわりの歯と調和をとることができました。患者さんは、とても満足してくださいました。
      (治療費 ¥86,400)

女性Nさん 50代 (オールセラミック冠)
主訴
上の前歯に隙間があるので、きれいにしたい。
治療内容
根の中が汚れていましたので、根の治療をきちんとし直し、2本つながったオールセラミック冠をいれました。
所感
前歯2本が、だんだん移動して隙間が開いていました。移動を防ぐために2本繋(つな)いだものを被せました。周りの歯とうまくバランスがとれたと思います。患者さんは、とても喜んでくださいました。
      (¥86,400×2本)合計¥172,800

女性Iさん 40代 (オールセラミック冠)
主訴
右上の歯ぐきが腫れて、動きがある。
治療内容
根の治療が、きちんとされておらず、根の先に病巣がありました。また前の歯医者さんでの治療の際だと思いますが、歯の中に2か所穴が開いていました。 根の治療をきちんと行い、穴が開いているところを、スーパーボンドというセメントで封鎖すると腫れはなくなり動きもなくなりました。メタルフリーな治療を希望されましたのでオールセラミック冠をいれました。
所感
他の歯医者さんだと、抜歯を宣告されたかもしれません。しかし、根気強く治療した結果、生かすことができ、しっかり機能しています。本当に良かったです。
      (治療費 ¥86,400)

女性Uさん 30代 (オールセラミック冠)
主訴
右下の銀歯がとれた。むし歯になっているので、治したい。
治療内容
保険の銀歯(金属のインレー)がはいっていましたが、歯と詰め物の隙間からむし歯(2次カリエス)になっていました。むし歯のところが大きく、一部分を詰め物にする治療では、間に合わないので、被せものをすることになりました。すでに神経はありませんでしたが、根が汚れていましたので根の治療をし、オールセラミック冠をいれました。
所感
お口の中には、数か所銀歯がはいっていました。患者さんは、徐々に金属を減らしていくことを希望されています。長い目で見ると、お口の中をメタルフリーにしていくことは、体全体の健康にとって大切なことだと思います。
            (治療費 ¥86,400)

女性Nさん 40代 (オールセラミックのブリッジ)
主訴
上の前歯をきれいにしたい。
治療内容
ブリッジのところを取り除き、仮の歯をいれました。ブリッジの支台になっている歯をそれぞれ根の治療をし、オールセラミックのブリッジにしました。
所感
保険のブリッジがはいっていましたが、変色して黄色っぽくなり、プラスチックの表面が摩耗していました。歯並びも気にしておられましたが、周りの歯とバランスよく入れることができました。とても気に入ってくださいました。
      (オールセラミック2本¥86,400×2本=¥172,800
      オールセラミックポンティック1本¥81,000)合計¥253,800

男性Tさん 70代 (オールセラミック冠)
主訴
右上の前歯が折れた。
治療内容
すでに神経がない歯で、歯の裏側に詰め物がしてありました。神経のない歯は、脆くなっているため、ちょっと固いものを噛んだ時に、折れてしまったそうです。根の治療をし、オールセラミック冠を被せました。
所感
周りの歯ととてもバランス良く自然な感じで、いれることができました。患者さんは、とても気に入ってくださいました。
(治療費 ¥86,400)      

女性Sさん 50代 (オールセラミック冠)
主訴
右上の銀歯を治したい
治療内容
すでに神経がない歯で、銀歯に白いプラスチックをくっつけた被せものがしてありました。プラスチックの部分が壊れてとれて、金属がむきだしになっていました。根の治療をし、オールセラミック冠を被せました。
所感
周りの歯ととてもバランス良くいれることができました。患者さんは、とても気に入ってくださいました。小臼歯は犬歯の後ろの歯で笑ったときによく見えます。オールセラミックにして、とても自然な感じになりました。
      (治療費 ¥86,400)      

男性Iさん 50代 (オールセラミック冠)
主訴
右上前歯が折れた。
治療内容
すでに神経がない歯で、詰め物がしてありました。神経がない歯は、脆(もろ)くなります。ちょっと固いものを噛んだら、折れたそうです。根の治療をし、オールセラミック冠を被せました。
所感
周りの歯とバランス良くいれることができました。患者さんは、とても気に入ってくださいました。
      
            (治療費 ¥86,400)      

女性Oさん 50代 (オールセラミック冠)
主訴
右上前歯のむし歯が痛い
治療内容
むし歯が深く神経まで到達していましたので、神経をとり歯の根の治療をし、オールセラミック冠を被せました。
所感
歯並びがわるく、むずかしかったのですが、周りの歯とバランス良くいれることができました。患者さんは、とても気に入ってくださいました。
                  (治療費 ¥86,400)      

女性Tさん 20代 (オールセラミック冠)
主訴
左上の銀歯をセラミックにしたい。
治療内容
銀歯とメタルコア(金属の土台)を取り除き、ファイバーコアをいれ、オールセラミック冠を被せました。
所感
銀歯が溶け出し、歯肉に滲(し)みこみメタルタトゥー(歯ぐきの黒いしみ)ができていました。身体のことを考えると、メタルフリーの治療を選択したほうがよさそうです。
                        (治療費 ¥86,400)      

女性Fさん 50代 (オールセラミック冠)
主訴
右下の奥歯の銀歯の歯茎が、腫れている。
治療内容
歯根の先端に病巣がありましたので、根管治療をしました。メタルフリーの治療を希望されましたので、ファイバーコアをいれ、オールッセラミック冠を被せました。
所感
根管治療をすると、腫れはきれいに治りました。また、歯根には、亀裂がはいっていましたので、接着剤(スーパーボンド)により、封鎖しました。歯根の破折の程度にもよりますが、この歯は、抜歯から救えたと思います。
                              (治療費 ¥86,400)      

女性Sさん 20代 (オールセラミック冠)
主訴
右上の奥歯が夜寝る前に痛い。冷たいもの、熱いものにもしみる。
治療内容
神経に達する大きな虫歯でした。神経をとる治療をし、メタルフリーの治療を希望されましたので、オールセラミック冠を被せました。
所感
右上の1番奥の歯でしたので、お口を開いているのが大変だったと思いますが、よく頑張ってくれました。オールセラミック冠をとても気に入ってくれて、本当に良かったです。 
   
                               (治療費 ¥86,400)      
 
女性Kさん 70代 (オールセラミック冠)
主訴
上の前歯が変色しているので、きれいに治したい。
治療内容
前歯3本の間にすき間があり、以前の治療では、そのすき間を詰め物で埋めていました。しかし、詰め物が変色し、かつ、むし歯になっていましたので、オールセラミック冠をかぶせて見た目をバランスよく回復しました。
所感
歯と歯の間のすき間が大きく、詰め物の治療では無理があり、被せ物の治療で正解だったと思います。患者さんは、とても満足し、喜んで下さいました。 
      (¥86,400×3本)合計¥259,200

女性Sさん 50代 (オールセラミック冠)
主訴
下の前歯の被せ物のところの歯肉が、腫れている。
治療内容
歯の中が汚れていて、根の先端に病巣がありましたので、根管治療をしました。メタルフリーの治療を希望されましたので、オールセラミック冠を被せました。
所感
丁寧に根管治療をすることにより、腫れはきれいになくなりました。 
        下の前歯は歯並びがデコボコでしたが、バランスよくはいりました。 
       (治療費 ¥86,400)

女性Tさん 40代 (オールセラミック冠)
主訴
右上の被せ物が、壊れた。
治療内容
レントゲンを診ると、特に歯根に問題がありませんでした。金属の土台がはいっていましたので、それを取り除き、ファイバーコア(グラスファイバーと合成樹脂性の土台)をいれ、オールセラミック冠を被せました。
所感
以前は、保険のプラスチック性の被せ物がはいっていましたが、壊れて取れてしまいました。保険の白い被せ物は、使っている間にすり減りますし、だんだん暗い色に変化しますし、機械的強度が弱いのでこなごなに壊れることがあります。患者さんは、メタルフリーの治療を希望されました。現時点被せ物の治療では、ファイバーコアをいれ、オールセラミック冠を被せるのが、1番体にとって自然だと思います。
 
       (治療費 ¥86,400)

女性Sさん 50代 (オールセラミック冠)
主訴
左下の詰め物が、欠けてむし歯になったので、治療したい。
治療内容
詰め物のアマルガムが、欠けてむし歯になっていました。すでに神経のない歯でしたが、歯の中が汚れていましたので根管治療をし、オールセラミック冠を被せました。
所感
今では使われることのないアマルガムが、詰められていました。アマルガムは、体にはよくない重金属の水銀が含まれている材料ですので、取り除くいい機会でした。
       (治療費 ¥86,400)

女性Yさん 30代 (オールセラミック冠)
主訴
右上の1番奥が痛い。
治療内容
むし歯が深かったため、神経をとる治療をし、オールセラミック冠を被せました。
所感
患者さんは、メタルフリーの治療を希望されたため、オールセラミック冠を被せました。徐々にお口の中の金属を減らしていきたいそうです。とても良いことだと思います。
 
       (治療費 ¥86,400)

女性Hさん 30代 (オールセラミック冠)
主訴
右下の奥歯の銀歯がとれた。
治療内容
レントゲンを撮ると根の先端に病巣がありましたので、根管治療しました。患者さんはメタルフリーの治療を希望されましたので、オールセラミック冠を被せました。
所感
新たに1つ見つかった根の治療期間が短かったことを心配しておられますが、比較的容易な根管治療でしたので、すぐに終わりました。
        
患者さんは、金属の味を感じられる方ですので、徐々に銀歯を取り除きメタルフリーにした方が、体には良さそうです
。 
       (治療費 ¥86,400)

男性Tさん 50代 (オールセラミック冠)
主訴
被せているものと自分の歯との間に隙間があいているので、被せ直したい被せているものと自分の歯との間に隙間があいているので、被せ直したい。
治療内容
不適合な被せ物がはいっていました。レントゲンを撮りますと、根尖病巣がありましたので、被せ物をはずし根管治療後、オールセラミック冠を被せました。
所感
根尖病巣により歯肉が腫れていましたが、根管治療後きれいに腫れはなくなりました。
       (治療費 ¥86,400)

女性Kさん 20代 (オールセラミック冠)
主訴
左上の歯が噛んだり、舌で触ったりすると痛みがある。
治療内容
むし歯が深く神経まで達していましたので、神経をとる治療をし、オールセラミック冠を被せました。
所感
とてもバランスよくきれいに入りました。 
        治療中は、お口が小さいので大変だったようです。
       (治療費 ¥86,400)

女性Mさん 60代 (オールセラミック冠)
主訴
左下の歯がガムを食べたら欠けた。
治療内容
むし歯が深く神経まで達していましたので、神経をとる治療をし、オールセラミック冠を被せました。
所感
とてもバランスよくきれいに入りました。
       (治療費 ¥86,400)

男性Kさん 30代 (オールセラミック冠)
主訴
右上の前歯が食事の時やさわると痛い。(10年前に神経をとっている)。
治療内容
歯の中が汚れていましたので、根管治療をし、オールセラミック冠を被せました。
所感
とてもバランスよく入り、患者さんには、とても満足していただきました。ほんとうに良かったです。
       (治療費 ¥86,400)

女性Yさん 60代 (オールセラミックのブリッジ)
主訴
左前歯のさし歯のブリッジがとれた。
治療内容
歯の中が汚れていましたので、根管治療をし、オールセラミックのブリッジを被せて治しました。
所感
とてもバランスよく入り、患者さんには、とても満足していただき、歯を大切にしたいいう気持ちが」芽生えたようです。
(オールセラミック冠3本¥86,400×3本=¥259,200 オールセラミックポンティック1本¥81,000)合計¥340,200

女性Hさん 60代 (オールセラミック冠)
主訴
左前歯のさし歯がとれた。
治療内容
歯の中が汚れていましたので、根管治療をし、オールセラミック冠を被せました。
所感
とてもバランスよく入ったと思います。
      (治療費 ¥86,400)

女性Nさん 30代 (オールセラミック冠)
主訴
右上の奥歯が欠けた。時々、痛くなる。
治療内容
既に神経のない歯でしたので、歯質が脆くなりかけていました。歯の中が汚れていましたので、根管治療をし、オールセラミック冠を被せました。
所感
金属を使わない治療の利点をご説明したところ、オールセラミック冠を選択されました。とても良い選択だったと思います。
      (治療費 ¥86,400)

女性Uさん 50代 (オールセラミック冠)
主訴
右上の前歯がしみる時がある。
治療内容
右上前歯は、すでに神経がなく冠を被せていました。しかし、歯根の先端で膿をもっていましたので冠をはずし根の治療をし、オールセラミック冠を被せました。
所感
痛みに非常に弱い患者さんでしたので、少しでも痛みの可能性がある処置は、麻酔を使い治療しました。痛みを1度も感じさせずに、治療を終えることができました。
      (治療費 ¥86,400)

女性Sさん 30代 (オールセラミック冠)
主訴
右下の一番奥の歯が痛い。
治療内容
被せていた銀歯と歯の隙間からむし歯になっていました。深いむし歯でしたので神経をとる治療をし、オールセラミック冠を被せました。
所感
とてもきれいに仕上がりました。今後もお口の中から金属をなるべく減らす事を提案しました。
      (治療費 ¥86,400)

男性Uさん 70代 (オールセラミック冠)
主訴
左下の奥歯が、今日お風呂に入って体が温まってから、ズキンズキンと痛い。
治療内容
以前は、銀歯のブリッジがはいっていました。奥の方の歯が、銀歯と歯の境い目のところからむし歯になりました。ブリッジの奥の方の歯を神経をとる治療をし、オールセラミックのブリッジを被せました。
所感
お口の中から金属をなるべく減らす事を提案しましたところ、今回は、オールセラミックのブリッジを被せることになりました。とても良い選択だと思います。
(オールセラミック冠3本¥86,400×2本=¥172,800
オールセラミックポンティック1本¥81,000)合計¥253,800

女性Gさん 50代 (オールセラミック冠)
主訴
上の前歯2本が白すぎるので、替えたい。右前歯1本が、変色しているので、きれいにしたい。
治療内容
上の前歯3本を根の治療が必要でしたので根管治療をし、オールセラミック冠を被せました。
所感
周りの歯ととてもバランスがとれて、きれいにはいりました。
(¥86,400×3本)合計¥259,200     

女性Sさん50代 (オールセラミック冠)
主訴
右上のむし歯を治したい。
治療内容
既に神経のない歯でしたが、根の治療が必要でしたので、根管治療をし、オールセラミック冠を被せました。
所感
神経をとった歯で脆くなっていたものが欠けて、長い間不便を感じていたそうです。きれいに仕上がったと思います。
(治療費 ¥86,400)     

女性Mさん20代 (オールセラミック冠)
主訴
上の前歯をきれいにしたい。
治療内容
上の前歯2本の保険の被せ物がすり減り、変色していましたので、保険の被せ物と金属の土台をを取り除き、ファイバーコア(合成樹脂性の土台)をいれ、オールセラミック冠を被せました。
所感
オールセラミック冠は、まわりの歯と調和がとれ、とても綺麗に仕上がりました。
(¥86,400×2本)合計¥172,800  

男性Yさん40代 (オールセラミック冠)
主訴
右上の腫れているところを治したい。
治療内容
根の先に病巣がありましたので、根管治療をし、オールセラミック冠にて補綴しました。
所感
根管治療後、腫れはなくなりました。オールセラミック冠は、とても綺麗に仕上がりました。
(治療費 ¥86,400 )   

女性Sさん60代 (オールセラミック)
主訴
上の左前歯の欠けているところを治してほしい。
治療内容
虫歯が進行して神経にまで達していましたので、神経をとる治療をし、オールセラミック冠にて補綴しました。
所感
周りの歯とうまく調和がとれ、きれいに仕上がりました。
(治療費 ¥86,400 )    

女性Mさん40代 (オールセラミック冠)
主訴
右上の銀歯を白くしたい。
治療内容
右上奥から2つ目の銀歯をはずし根の治療をし、オールセラミック冠にて補綴
所感
周りの歯とバランスがとても良くとれ、きれいに治りました。
(治療費 ¥86,400 ) 

女性Sさん60代 (オールセラミック冠)
主訴
右上の銀歯が虫歯になっているので治したい。
治療内容
右上奥から2つ目の銀歯が、自分の歯との境い目から虫歯になっていたので、銀歯をはずし根の治療をし、オールセラミック冠にて補綴
所感
周りの歯とバランスがとても良くとれ、きれいに治りました。
(治療費 ¥86,400 )    

女性Iさん70代 (オールセラミック冠)
主訴
左下一番奥歯の虫歯を治療して欲しい
治療内容
虫歯が進行し神経まで達していたので、神経をとる治療をし、オールセラミック冠にて補綴
所感
周りの歯とバランスがとても良くとれ、きれいに治りました。
(治療費 ¥86,400 )    

女性Mさん60代 (オールセラミック冠)
主訴
上の左の前歯が黒いのできれいにして欲しい。
治療内容
上左前歯、虫歯が進行していたので神経をとる治療をし、オールセラミック冠にて補綴
所感
周りの歯と バランスがとても良くとれ、きれいに治りました。
(治療費 ¥86,400 )   

女性Iさん 60代 (オールセラミック冠)
主訴
被せているものの下の隙間から、虫歯になった。
治療内容
金属冠をはずし、根の治療をし、オールセラミック冠にて補綴。
所感
オールセラミック冠は、きれいに仕上がりました。
(治療費 ¥86,400 )   

女性Kさん 50代 (オールセラミック冠)
主訴
左下奥から2つ目が咬むと痛い。
治療内容
虫歯が進行していたため、神経をとり根の治療をし、オールセラミック冠にて補綴。
所感
なるべく神経をとらない方が良いのですが、虫歯がかなり深かったため仕方がありませんでした。オールセラミック冠は、きれいに仕上がりました。
(治療費 ¥86,400 )   

女性Kさん 10代 (オールセラミック冠)
主訴
上の前歯の虫歯を治してほしい
治療内容
抜髄、根治後 オールセラミック冠により補綴
所感
まわりの歯とバランスがうまくとれたと思います。
(¥86,400×2本)合計¥172,800  


女性Sさん 40代 (オールセラミックのブリッジ)
主訴
前歯をきれいにすることと左上のとれた所を何とかしたい。
治療内容
左上1番2番をオールセラミック冠 左上の奥歯をオールセラミックのブリッジにて補綴
所感
まわりの歯ととても良くバランスがとれました。
口元を気にせず、人前でお話ができるようになったと思います。
表情が以前に比べ、確実に明るくなったように感じます。
(前歯:¥86,400×2本=¥172,800 ブリッジ:セラミック冠¥86,400×2本=¥172,800
ポンティック1本:¥81,000)合計¥253,800


女性Sさん 40代 (オールセラミック冠)
主訴
左上の詰め物がとれた。その歯の隣の歯が痛い。
治療内容
左上5番をセラミックインレーで修復。
左上6番を根管治療後オールセラミック冠にて補綴
所感
とてもきれいに治りました。
(合計 ¥86,400)


男性Yさん 30代 (オールセラミック冠)
主訴
左下の詰め物がとれた。
治療内容
左下小臼歯の虫歯が大きかったため神経をとり、根の治療をし、オールセラミック冠にて補綴
所感
思ったより虫歯が深く、神経をとる治療になりました。
被せ物は、まわりの歯ととても良くバランスがとれました。
(合計 ¥86,400)

























