医院コラム
- なしき歯科医院TOP
- » 医院コラム一覧
- » 変色&曲がった前歯が、自分の歯と見分けがつかない位自然な仕上がりに
変色&曲がった前歯が、自分の歯と見分けがつかない位自然な仕上がりに
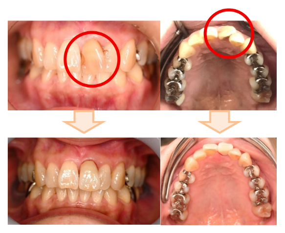
「色が変わった上の前歯をきれいにしたい」50代の女性Yさんが、そんなお悩みを持って来院されました。
お口の中を拝見すると、左上の前歯に大きな詰め物があり、それが黄色く変色していました。また、ご自身の歯の部分も暗い茶色に変化しており、さらに歯が真っ直ぐではなく捻転(ねじれ)している状態でした。レントゲンで詳しく診察したところ、過去に神経を取り除いた歯であり、根の治療(根管治療)からやり直す必要があることがわかりました。
Yさんに現状をご説明し、以下の治療計画をご提案しました。
①根管治療:まずは歯の根をしっかり治すこと
②土台の強化:歯の弾性に近い「ファイバーコア(合成樹脂)」の土台を入れること
③かぶせ物の選択:金属を一切使わず、変色も汚れもつかない「オールセラミック冠」のご提案
これが最も美しく、長持ちする方法です。
Yさんは「オールセラミックの治療法でお願いします。」と決断されました。
こだわりの仕上がり
慎重に根の治療を行った後、仕上げの前の段階で、技工士の南部さんにも立ち会っていただきました。Yさん、院長、南部さん三者で「色、形、周りとのバランス」を細かく確認し、Yさんのご希望に沿うよう作り上げました。

治療後、鏡を見たYさんは、「自分の歯と見分けがつかないくらい自然です。曲がっていた歯を真っ直ぐ、きれいにしていただき、本当にありがとうございました!」と、大変喜んでくださいました。
オールセラミックのメリット
- ・美しさが続く:
保険のプラスチック製と違い、時間が経っても変色やすり減りがほとんどありません。 - ・虫歯、歯周病予防:
表面が滑らかで歯垢(プラーク)が付きにくいため、二次的な虫歯や歯周病の予防に優れています。 - ・安心の素材:
金属アレルギーの心配がありません。
人生100年時代、いつまでもおいしく食べ、口元を気にせず大きなお口を開けて笑うことができ、楽しく明るく前向きに生活することは、健康に長生きするための大切な要素です。以前に神経を取り詰め物をしたが、詰め物と自分の歯の部分の色が変化し周りの自分の歯とバランスが悪くなってきた、被せ物の色が黄色く変化し、またすり減って形が変わり金属が見えてきたのできれいにしたい、その他、お口のお悩みがあれば、どうぞお気軽にご相談ください。
(なしき歯科医院新聞 2026年1月号より)























