医院コラム
- なしき歯科医院TOP
- » 医院コラム一覧
- » 歯が少ない方、重度歯周病の方に!マグネット式総入れ歯
歯が少ない方、重度歯周病の方に!マグネット式総入れ歯
「グラグラしている歯があります。歯並びをきれいにし、しっかり噛めるようになりたい。」と、50代の男性Yさんが来院されした。お口の中を拝見すると、歯周病が重度に進行し、大きく動揺している歯が4本あり、満足に食事ができない深刻な状態でした。レントゲンで詳しく診断したところ、残すことが難しい歯が上4本、下3本あることが判明しました。
Yさんには現状をご説明し、次のような治療計画をご提案しました。
- ・上は4本、下は7本の歯を残せるが、それらの歯も決して健康とは言えない状態であること
- ・このような場合、マグネットを活用した上下の総入れ歯が非常に適していること
- ・残っている歯には、根管治療と歯周病治療を徹底的に行う必要があるため、治療は長期にわたること
- ・治療後も、マグネット式総入れ歯の支台となる歯を守るため、ご自身でのケア(歯ブラシ・歯間ブラシ・タフトブラシ・洗口液)と、衛生士のPMTC(プロによる専門的な歯の清掃)が必須であること
これらをお伝えしたところ、Yさんは「治療が終わった後もきちんとメインテナンスに通いますので、この方法でお願いします」とおっしゃいました。

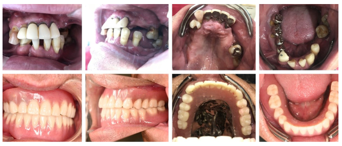
上段:治療前、下段:治療後、の写真です。
見た目も機能もきれいで健康的になり、大変喜んでいただけました!
治療後、Yさんは「なんでも思い通りに噛めるだけでなく、歯並びもきれいに仕上げてもらい大変満足しています。治療期間は長かったですが、マグネットにして本当に良かったです。これからは残っている歯を大切にしたいと思います。長い間ありがとうございました。」という感想を寄せてくださいました。マグネット式総入れ歯は、歯が少なくなり歯周病が進行している場合でも、残っている歯を有効に活用できる非常に優れた方法です。
人生100年時代、いつまでもおいしく食べ、楽しく前向きに生活することは、健康に長生きするための大切な要素です。歯周病が進行してグラグラする歯がある、よく噛めない、残っている歯が少なく入れ歯が安定しないなど、お口のお悩みがあれば、どうぞお気軽にご相談ください。
(なしき歯科医院新聞 2025年12月号より)























