医院コラム
- なしき歯科医院TOP
- » 医院コラム一覧
- » 歯並びを、ブリッジできれいに整えました
歯並びを、ブリッジできれいに整えました
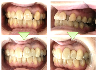
「昔から気になっている、前歯の歯並びのでこぼこをきれいにしたいです」と、Oさん(50代・女性)が来院されました。お口を診察しますと、左前歯の真ん中から2つ目の歯が内側に引っ込んでいました。食べ物を食べる時にも(かみ合わせとして)機能していない状態の上、磨きづらいためむし歯になり、以前、他の歯医者さんで神経をとる治療をしていました。
Oさんは、「この歯を抜歯してインプラントを入れればきれいになるのでは?」とお考えだったご様子。しかし、通常の1歯分の幅より狭いため、インプラントでは不自然になり、Oさんの「口もとをきれいにしたい」というご希望を叶えにくいことをお話ししました。今回のケースでは、インプラントよりもオールセラミックのブリッジにした方が、まわりの歯とのバランスも合わせやすく、長持ちし、費用も安くなることをご説明しました。

Oさんはオールセラミックのブリッジをお選びになり、治療後、「キレイで自然で、とても満足しました。ありがとうございました(^^)」と、本当に喜んでくださいました。歯並びを整えるには、矯正治療もありますが、「長期間・高額・治療中が大変」ということを考えますと、Oさんにとっては、オールセラミックのブリッジで歯並びを整える方法が最善だったと思います。
歯を治すことで患者さんがお口元に自信を持ってくださり、積極的に行動し、人生を楽しむ手助けをすることができたら、私たちにとってこの上ない喜びです。前歯に限らず、お口の中で気になるところがある方、どうぞお気軽にご相談ください!
(なしき歯科医院新聞 2021年3月号より)























